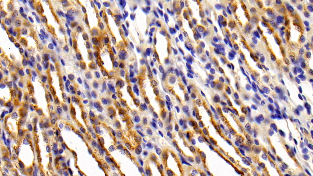
Polyclonal Antibody to Cathepsin D (CTSD)
CPSD; CLN10; Lysosomal Aspartyl Protease; Ceroid-Lipofuscinosis,Neuronal 10
- Product No.PAB280Ra03
- Organism SpeciesRattus norvegicus (Rat) Same name, Different species.
- SourcePolyclonal antibody preparation
- HostRabbit
- Potencyn/a
- Ig Type IgG
- PurificationAntigen-specific affinity chromatography followed by Protein A affinity chromatography
- LabelNone
- Immunogen RPB280Ra03-Recombinant Cathepsin D (CTSD)
- Buffer FormulationPBS, pH7.4, containing 0.01% SKL, 1mM DTT, 5% Trehalose and Proclin300.
- TraitsLiquid
- Concentration500µg/mL
- Organism Species MoreHomo sapiens (Human)
- ApplicationsWB; IHC
If the antibody is used in flow cytometry, please check FCM antibodies. - DownloadInstruction Manual
- UOM 20µl100µl 200µl 1ml 10ml
- FOB
US$ 108
US$ 252
US$ 360
US$ 900
US$ 3600
For more details, please contact local distributors!
SPECIFITY
The antibody is a rabbit polyclonal antibody raised against CTSD. It has been selected for its ability to recognize CTSD in immunohistochemical staining and western blotting.
USAGE
Western blotting: 0.2-2µg/mL;1:250-2500
Immunohistochemistry: 5-20µg/mL;1:25-100
Immunocytochemistry: 5-20µg/mL;1:25-100
Optimal working dilutions must be determined by end user.
STORAGE
Store at 4°C for frequent use. Stored at -20°C in a manual defrost freezer for two year without detectable loss of activity. Avoid repeated freeze-thaw cycles.
STABILITY
The thermal stability is described by the loss rate. The loss rate was determined by accelerated thermal degradation test, that is, incubate the protein at 37°C for 48h, and no obvious degradation and precipitation were observed. The loss rate is less than 5% within the expiration date under appropriate storage condition.
GIVEAWAYS
INCREMENT SERVICES
-
Antibody Labeling Customized Service
-
Protein A/G Purification Column
-
Staining Solution for Cells and Tissue
-
Positive Control for Antibody
-
Tissue/Sections Customized Service
-
Phosphorylated Antibody Customized Service
-
Western Blot (WB) Experiment Service
-
Immunohistochemistry (IHC) Experiment Service
-
Immunocytochemistry (ICC) Experiment Service
-
Flow Cytometry (FCM) Experiment Service
-
Immunoprecipitation (IP) Experiment Service
-
Immunofluorescence (IF) Experiment Service
-
Buffer
-
DAB Chromogen Kit
-
SABC Kit
-
Long-arm Biotin Labeling Kit
-
Real Time PCR Experimental Service
| Magazine | Citations |
| Molecular Immunology | Cathepsin D is released after severe tissue trauma in vivo and is capable of generating C5a in vitro ScienceDirect: S0161589011008297 |
| 21 | Plasma Cathepsin D Levels: A Novel Tool to Predict Pediatric Hepatic Inflammation PubMed: 25732418 |
| Scientific Reportes | Plasma cathepsin D correlates with histological classifications of fatty liver disease in adults and responds to intervention pubmed:27922112 |
| Biomedicine & pharmacotherapy | Berberine ameliorates intrahippocampal kainate-induced status epilepticus and consequent epileptogenic process in the rat: Underlying mechanisms pubmed:28061403 |
| JGH OPEN | Limited applicability of cathepsin D for the diagnosis and monitoring of non‐alcoholic steatohepatitis |
| Diabetologia | Plasma cathepsin D activity is negatively associated with hepatic insulin sensitivity in overweight and obese humans Pubmed: 31690989 |
| Antioxidants | Iron and Advanced Glycation End Products: Emerging Role of Iron in Androgen Deficiency in Obesity Pubmed: 32235809 |
| Peptides | LVV-hemorphin-7 (LVV-H7) plays a role in antinociception in a rat model of alcohol-induced pain disorders 33253777 |
| Cells | Identification of Cathepsin D as a Plasma Biomarker for Alzheimer's Disease 33445607 |
| J Chem Neuroanat | Analysis of silymarin-modulating effects against acrylamide-induced cerebellar damage in male rats: Biochemical and pathological markers 33965515 |
| Front Cell Infect Microbiol | PGRS Domain of Rv0297 of Mycobacterium tuberculosis Is Involved in Modulation of Macrophage Functions to Favor Bacterial Persistence 33042856 |
| Nutr Metab Cardiovasc Dis | Serum CathepsinD in pregnancy: relation with metabolic and inflammatory markers and effects of fish oils and probiotics Pubmed:35304048 |
| Biosensors | A Comparison of Various Chips Used for the Manufacture of Biosensors Applied in Non-Fluidic Array SPRi, Based on the Example of Determination of Cathepsin D Pubmed:35049649 |
| Catalog No. | Related products for research use of Rattus norvegicus (Rat) Organism species | Applications (RESEARCH USE ONLY!) |
| RPB280Ra01 | Recombinant Cathepsin D (CTSD) | Positive Control; Immunogen; SDS-PAGE; WB. |
| RPB280Ra03 | Recombinant Cathepsin D (CTSD) | Positive Control; Immunogen; SDS-PAGE; WB. |
| RPB280Ra02 | Recombinant Cathepsin D (CTSD) | Positive Control; Immunogen; SDS-PAGE; WB. |
| PAB280Ra03 | Polyclonal Antibody to Cathepsin D (CTSD) | WB; IHC |
| PAB280Ra02 | Polyclonal Antibody to Cathepsin D (CTSD) | IHC |
| PAB280Ra01 | Polyclonal Antibody to Cathepsin D (CTSD) | WB; IHC |
| FAB280Ra01 | Anti-Cathepsin D (CTSD) Polyclonal Antibody | FCM |
| SEB280Ra | ELISA Kit for Cathepsin D (CTSD) | Enzyme-linked immunosorbent assay for Antigen Detection. |
| LMB280Ra | Multiplex Assay Kit for Cathepsin D (CTSD) ,etc. by FLIA (Flow Luminescence Immunoassay) | FLIA Kit for Antigen Detection. |

