Polyclonal Antibody to Complement C4-B (C4B)
CO4; CPAMD3; Basic complement C4; C3 and PZP-like alpha-2-macroglobulin domain-containing protein 3; Complement component 4B, Chido blood group
- Product No.PAB305Mu01
- Organism SpeciesMus musculus (Mouse) Same name, Different species.
- SourcePolyclonal antibody preparation
- HostRabbit
- Potencyn/a
- Ig Type IgG
- PurificationAntigen-specific affinity chromatography followed by Protein A affinity chromatography
- LabelNone
- Immunogen RPB305Mu01-Recombinant Complement C4-B (C4B)
- Buffer Formulation0.01M PBS, pH7.4, containing 0.05% Proclin-300, 50% glycerol.
- TraitsLiquid
- Concentration0.5mg/mL
- Organism Species MoreHomo sapiens (Human)
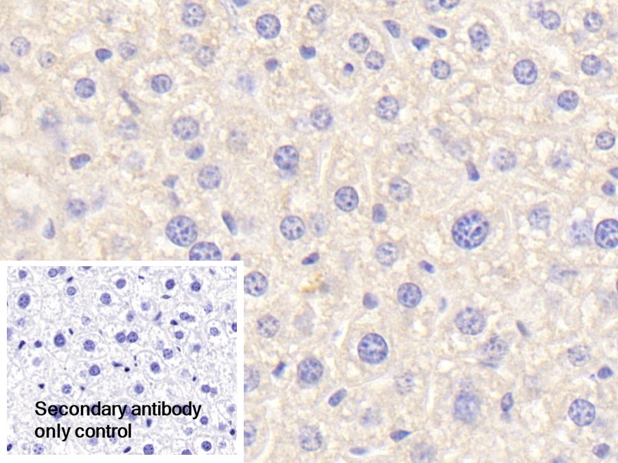
- ApplicationsWB; IHC
If the antibody is used in flow cytometry, please check FCM antibodies. - DownloadInstruction Manual
- UOM 20µl100µl 200µl 1ml 10ml
- FOB
US$ 103
US$ 239
US$ 342
US$ 855
US$ 3420
For more details, please contact local distributors!
SPECIFITY
The antibody is a rabbit polyclonal antibody raised against C4B. It has been selected for its ability to recognize C4B in immunohistochemical staining and western blotting.
USAGE
Western blotting: 0.01-2µg/mL;
Immunohistochemistry: 5-20µg/mL;
Optimal working dilutions must be determined by end user.
STORAGE
Store at 4°C for frequent use. Stored at -20°C in a manual defrost freezer for two year without detectable loss of activity. Avoid repeated freeze-thaw cycles.
STABILITY
The thermal stability is described by the loss rate. The loss rate was determined by accelerated thermal degradation test, that is, incubate the protein at 37°C for 48h, and no obvious degradation and precipitation were observed. The loss rate is less than 5% within the expiration date under appropriate storage condition.
GIVEAWAYS
INCREMENT SERVICES
-
Antibody Labeling Customized Service
-
Protein A/G Purification Column
-
Staining Solution for Cells and Tissue
-
Positive Control for Antibody
-
Tissue/Sections Customized Service
-
Phosphorylated Antibody Customized Service
-
Western Blot (WB) Experiment Service
-
Immunohistochemistry (IHC) Experiment Service
-
Immunocytochemistry (ICC) Experiment Service
-
Flow Cytometry (FCM) Experiment Service
-
Immunoprecipitation (IP) Experiment Service
-
Immunofluorescence (IF) Experiment Service
-
Buffer
-
DAB Chromogen Kit
-
SABC Kit
-
Long-arm Biotin Labeling Kit
-
Real Time PCR Experimental Service
| Magazine | Citations |
| Experimental Eye Research | Quantitative analysis of hydroxyapatite-binding plasma proteins in genotyped individuals with late-stage age-related macular degeneration Pubmed:29580721 |
| Catalog No. | Related products for research use of Mus musculus (Mouse) Organism species | Applications (RESEARCH USE ONLY!) |
| RPB305Mu01 | Recombinant Complement C4-B (C4B) | Positive Control; Immunogen; SDS-PAGE; WB. |
| RPB305Mu02 | Recombinant Complement C4-B (C4B) | Positive Control; Immunogen; SDS-PAGE; WB. |
| APB305Mu01 | Active Complement C4-B (C4B) | Cell culture; Activity Assays. |
| PAB305Mu02 | Polyclonal Antibody to Complement C4-B (C4B) | WB; IHC; ICC/IF |
| PAB305Mu01 | Polyclonal Antibody to Complement C4-B (C4B) | WB; IHC |
| LAB305Mu81 | FITC-Linked Polyclonal Antibody to Complement C4-B (C4B) | WB; IHC; ICC; IF. |
| LAB305Mu71 | Biotin-Linked Polyclonal Antibody to Complement C4-B (C4B) | WB; IHC; ICC. |
| SEB305Mu | ELISA Kit for Complement C4-B (C4B) | Enzyme-linked immunosorbent assay for Antigen Detection. |
| LMB305Mu | Multiplex Assay Kit for Complement C4-B (C4B) ,etc. by FLIA (Flow Luminescence Immunoassay) | FLIA Kit for Antigen Detection. |

