- KO-Validated
Polyclonal Antibody to Enolase 1 (ENO1)
NNE; ENO1L1; MPB1; PPH; Alpha Enolase; Enolase 1; Phosphopyruvate hydratase; Plasminogen-binding protein; 2-phospho-D-glycerate hydro-lyase; C-myc promoter-binding
- Product No.PAB449Mu01
- Organism SpeciesMus musculus (Mouse) Same name, Different species.
- SourcePolyclonal antibody preparation
- HostRabbit
- Potencyn/a
- Ig Type IgG
- PurificationAntigen-specific affinity chromatography followed by Protein A affinity chromatography
- LabelNone
- Immunogen RPB449Mu01-Recombinant Enolase 1 (ENO1)
- Buffer Formulation0.01M PBS, pH7.4, containing 0.05% Proclin-300, 50% glycerol.
- TraitsLiquid
- Concentration0.5mg/ml
- Organism Species MoreHomo sapiens (Human), Rattus norvegicus (Rat), Sus scrofa; Porcine (Pig)
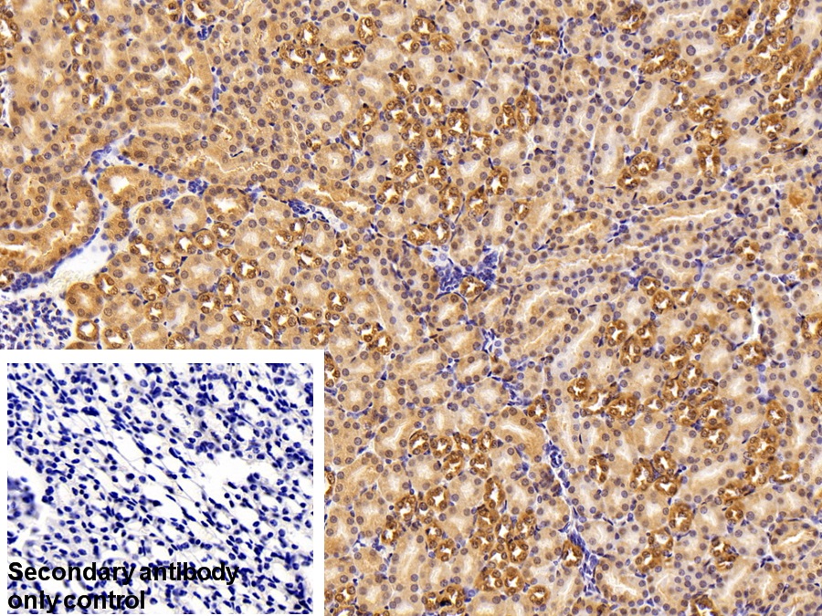
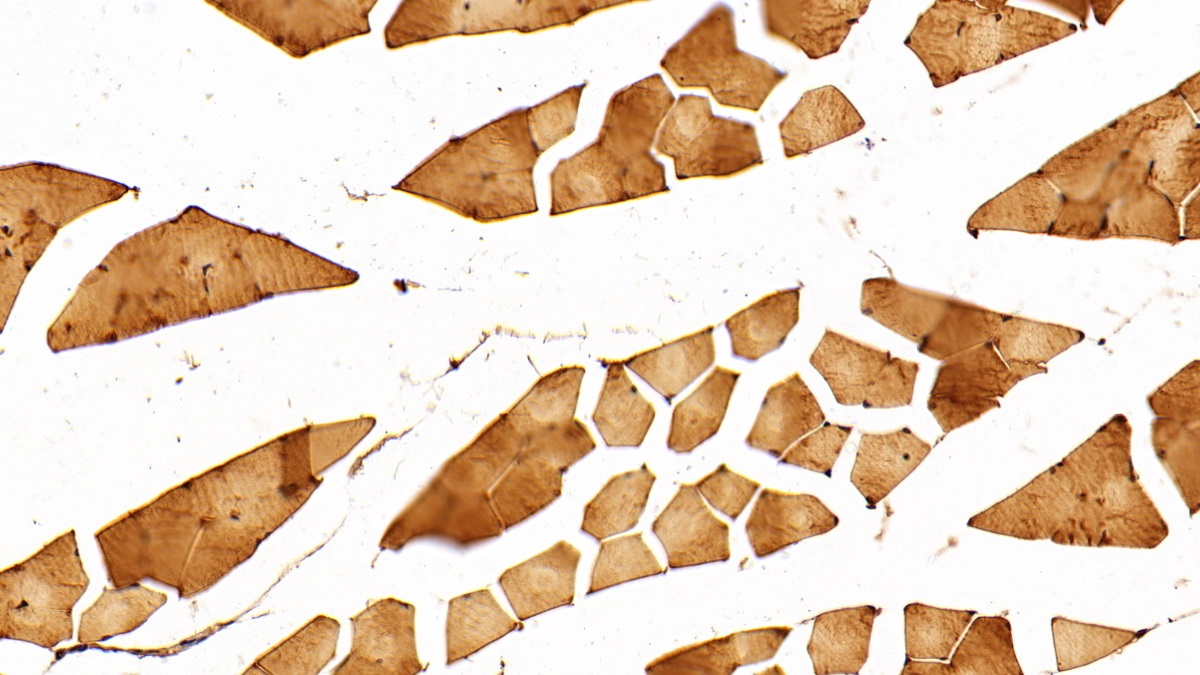
- ApplicationsWB; IHC; ICC/IF
If the antibody is used in flow cytometry, please check FCM antibodies. - DownloadInstruction Manual
- UOM 20µl100µl 200µl 1ml 10ml
- FOB
US$ 103
US$ 239
US$ 342
US$ 855
US$ 3420
For more details, please contact local distributors!
SPECIFITY
The antibody is a rabbit polyclonal antibody raised against ENO1. It has been selected for its ability to recognize ENO1 in immunohistochemical staining and western blotting.
USAGE
Western blotting: 0.01-2µg/mL;
Immunohistochemistry: 5-20µg/mL;
Immunocytochemistry: 5-20µg/mL;
Optimal working dilutions must be determined by end user.
STORAGE
Store at 4°C for frequent use. Stored at -20°C in a manual defrost freezer for two year without detectable loss of activity. Avoid repeated freeze-thaw cycles.
STABILITY
The thermal stability is described by the loss rate. The loss rate was determined by accelerated thermal degradation test, that is, incubate the protein at 37°C for 48h, and no obvious degradation and precipitation were observed. The loss rate is less than 5% within the expiration date under appropriate storage condition.
GIVEAWAYS
INCREMENT SERVICES
-
Antibody Labeling Customized Service
-
Protein A/G Purification Column
-
Staining Solution for Cells and Tissue
-
Positive Control for Antibody
-
Tissue/Sections Customized Service
-
Phosphorylated Antibody Customized Service
-
Western Blot (WB) Experiment Service
-
Immunohistochemistry (IHC) Experiment Service
-
Immunocytochemistry (ICC) Experiment Service
-
Flow Cytometry (FCM) Experiment Service
-
Immunoprecipitation (IP) Experiment Service
-
Immunofluorescence (IF) Experiment Service
-
Buffer
-
DAB Chromogen Kit
-
SABC Kit
-
Long-arm Biotin Labeling Kit
-
Real Time PCR Experimental Service
| Magazine | Citations |
| Analytical Chemistry | Diagnostic detection of human lung cancer-associated antigen using a gold nanoparticle-based electrochemical immunosensor PubMed: 20557064 |
| Translational Research | Proteomic analysis of fine-needle aspiration in differential diagnosis of thyroid nodules Pubmed:27172385 |
| Journal of Proteomics | Putative salivary biomarkers useful to differentiate patients with fibromyalgia Pubmed:29654921 |
| BioMed Research International | The Diagnostic Accuracy of Combined Enolase/Cr, CA125, and CA19-9 in the Detection of Endometriosis Pubmed: 33062681 |
| Cancer Cell International | Bufalin Induced Mitochondrial Dysfunction Promotes Apoptosis of Glioma Cells by Regulating Annexin A2 and DRP1 Proteins |
| Cancer Cell Int | Bufalin induces mitochondrial dysfunction and promotes apoptosis of glioma cells by regulating Annexin A2 and DRP1 protein expression 34376212 |
| Clin Proteomics | Serum proteomics unveil characteristic protein diagnostic biomarkers and signaling pathways in patients with esophageal squamous cell carcinoma Pubmed:35610567 |
| Catalog No. | Related products for research use of Mus musculus (Mouse) Organism species | Applications (RESEARCH USE ONLY!) |
| RPB449Mu01 | Recombinant Enolase 1 (ENO1) | Positive Control; Immunogen; SDS-PAGE; WB. |
| PAB449Mu01 | Polyclonal Antibody to Enolase 1 (ENO1) | WB; IHC; ICC/IF |
| LAB449Mu71 | Biotin-Linked Polyclonal Antibody to Enolase 1 (ENO1) | WB |
| LAB449Mu81 | FITC-Linked Polyclonal Antibody to Enolase 1 (ENO1) | WB; IHC; ICC; IF. |
| SEB449Mu | ELISA Kit for Enolase 1 (ENO1) | Enzyme-linked immunosorbent assay for Antigen Detection. |
| LMB449Mu | Multiplex Assay Kit for Enolase 1 (ENO1) ,etc. by FLIA (Flow Luminescence Immunoassay) | FLIA Kit for Antigen Detection. |
| KSB449Mu01 | ELISA Kit DIY Materials for Enolase 1 (ENO1) | Main materials for "Do It (ELISA Kit) Yourself". |

