Polyclonal Antibody to Mannose Binding Lectin (MBL)
MBL2; COLEC1; HSMBPC; MBP1; MBP; Collectin-1; Mannose-binding protein C; Mannan Binding Protein; Mannose-Binding Lectin(Protein C)2,Soluble(Opsonic Defect)
- Product No.PAB480Mu01
- Organism SpeciesMus musculus (Mouse) Same name, Different species.
- SourcePolyclonal antibody preparation
- HostRabbit
- Potencyn/a
- Ig Type IgG
- PurificationAntigen-specific affinity chromatography followed by Protein A affinity chromatography
- LabelNone
- Immunogen RPB480Mu01-Recombinant Mannose Binding Lectin (MBL)
- Buffer Formulation0.01M PBS, pH7.4, containing 0.05% Proclin-300, 50% glycerol.
- TraitsLiquid
- Concentration0.4mg/mL
- Organism Species MoreRattus norvegicus (Rat)
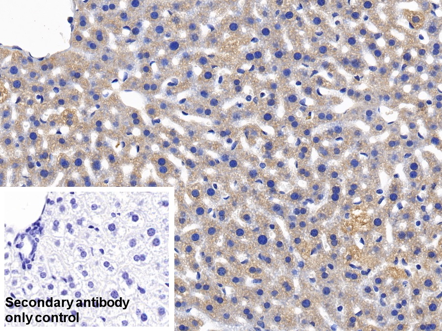
- ApplicationsWB; IHC
If the antibody is used in flow cytometry, please check FCM antibodies. - DownloadInstruction Manual
- UOM 20µl100µl 200µl 1ml 10ml
- FOB
US$ 103
US$ 239
US$ 342
US$ 855
US$ 3420
For more details, please contact local distributors!
SPECIFITY
The antibody is a rabbit polyclonal antibody raised against MBL. It has been selected for its ability to recognize MBL in immunohistochemical staining and western blotting.
USAGE
Western blotting: 0.01-2µg/mL;
Immunohistochemistry: 5-20µg/mL;
Optimal working dilutions must be determined by end user.
STORAGE
Store at 4°C for frequent use. Stored at -20°C in a manual defrost freezer for two year without detectable loss of activity. Avoid repeated freeze-thaw cycles.
STABILITY
The thermal stability is described by the loss rate. The loss rate was determined by accelerated thermal degradation test, that is, incubate the protein at 37°C for 48h, and no obvious degradation and precipitation were observed. The loss rate is less than 5% within the expiration date under appropriate storage condition.
GIVEAWAYS
INCREMENT SERVICES
-
Antibody Labeling Customized Service
-
Protein A/G Purification Column
-
Staining Solution for Cells and Tissue
-
Positive Control for Antibody
-
Tissue/Sections Customized Service
-
Phosphorylated Antibody Customized Service
-
Western Blot (WB) Experiment Service
-
Immunohistochemistry (IHC) Experiment Service
-
Immunocytochemistry (ICC) Experiment Service
-
Flow Cytometry (FCM) Experiment Service
-
Immunoprecipitation (IP) Experiment Service
-
Immunofluorescence (IF) Experiment Service
-
Buffer
-
DAB Chromogen Kit
-
SABC Kit
-
Long-arm Biotin Labeling Kit
-
Real Time PCR Experimental Service
| Magazine | Citations |
| American Journal of Nephrology | Analysis of the Urine Proteome of Human Contrast-Induced Kidney Injury Using Two-Dimensional Fluorescence Differential Gel Electrophoresis/Matrix-Assisted Laser Desorption Time-of-Flight Mass Spectrometry/Liquid Chromatography Mass Spectrometry. Karger: 000255439 |
| Current Eye Research | Serum Levels and H/L Gene Polymorphism of Mannose-Binding Lectin in Primary Open Angle Glaucoma Ingenta: art00007 |
| Journal of Clinical Immunology | Complement activation contributes to the injury and outcome of kidney in human anti-glomerular basement membrane disease. PubMed: 22941511 |
| Clinical and Experimental Immunology | Urinary mannose-binding lectin is a biomarker for predicting the progression of immunoglobulin (Ig)A nephropathy PubMed: PMC3406374 |
| Clin J Am Soc Nephrol. | Alternative Complement Pathway Activation Products in Urine and Kidneys of Patients with ANCA-Associated GN Pubmed: 24115193 |
| ACTA TROPICA | Novel findings on the role of ficolins and colectins in the innate response against Leishmania braziliensis Pubmed: 32827456 |
| PLoS One | Complement activation profile of patients with primary focal segmental glomerulosclerosis Pubmed: 32569286 |
| LIFE SCIENCES | The lectin pathway of complement and the initial recognition of Leishmania infantum promastigotes 34242658 |
| Catalog No. | Related products for research use of Mus musculus (Mouse) Organism species | Applications (RESEARCH USE ONLY!) |
| RPB480Mu02 | Recombinant Mannose Binding Lectin (MBL) | Positive Control; Immunogen; SDS-PAGE; WB. |
| RPB480Mu01 | Recombinant Mannose Binding Lectin (MBL) | Positive Control; Immunogen; SDS-PAGE; WB. |
| PAB480Mu01 | Polyclonal Antibody to Mannose Binding Lectin (MBL) | WB; IHC |
| PAB480Mu02 | Polyclonal Antibody to Mannose Binding Lectin (MBL) | WB; IHC |
| SEB480Mu | ELISA Kit for Mannose Binding Lectin (MBL) | Enzyme-linked immunosorbent assay for Antigen Detection. |
| LMB480Mu | Multiplex Assay Kit for Mannose Binding Lectin (MBL) ,etc. by FLIA (Flow Luminescence Immunoassay) | FLIA Kit for Antigen Detection. |
| KSB480Mu01 | ELISA Kit DIY Materials for Mannose Binding Lectin (MBL) | Main materials for "Do It (ELISA Kit) Yourself". |

