Polyclonal Antibody to Caspase 1 (CASP1)
ICE; IL1BC; IL1-BC; P45; Interleukin 1 Beta Converting Enzyme; Apoptosis-Related Cysteine Peptidase; Interleukin-1 beta convertase
- Product No.PAB592Hu01
- Organism SpeciesHomo sapiens (Human) Same name, Different species.
- SourcePolyclonal antibody preparation
- HostRabbit
- Potencyn/a
- Ig Type IgG
- PurificationAntigen-specific affinity chromatography followed by Protein A affinity chromatography
- LabelNone
- Immunogen RPB592Hu01-Recombinant Caspase 1 (CASP1)
- Buffer Formulation0.01M PBS, pH7.4, containing 0.05% Proclin-300, 50% glycerol.
- TraitsLiquid
- Concentration0.5mg/mL
- Organism Species MoreMus musculus (Mouse), Rattus norvegicus (Rat), Sus scrofa; Porcine (Pig)
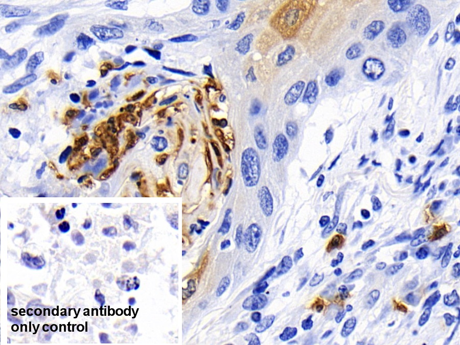
- ApplicationsWB; IHC
 If the antibody is used in flow cytometry, please check FCM antibodies.
- DownloadInstruction Manual
- UOM 20µl100µl 200µl 1ml 10ml
- FOB
    
                                    US$ 100 
            
                
                        US$ 232 
                                        US$ 332 
                                        US$ 830 
                                        US$ 3320 
                            
 For more details, please contact local distributors!
SPECIFITY
The antibody is a rabbit polyclonal antibody raised against CASP1. It has been selected for its ability to recognize CASP1 in immunohistochemical staining and western blotting.
USAGE
        Western blotting: 0.01-2µg/mL;
Immunohistochemistry: 5-20µg/mL;
Optimal working dilutions must be determined by end user.    
STORAGE
Store at 4°C for frequent use. Stored at -20°C in a manual defrost freezer for two year without detectable loss of activity. Avoid repeated freeze-thaw cycles.
STABILITY
The thermal stability is described by the loss rate. The loss rate was determined by accelerated thermal degradation test, that is, incubate the protein at 37°C for 48h, and no obvious degradation and precipitation were observed. The loss rate is less than 5% within the expiration date under appropriate storage condition.
GIVEAWAYS
INCREMENT SERVICES
- 
                     Antibody Labeling Customized Service Antibody Labeling Customized Service
- 
                     Protein A/G Purification Column Protein A/G Purification Column
- 
                     Staining Solution for Cells and Tissue Staining Solution for Cells and Tissue
- 
                     Positive Control  for Antibody Positive Control  for Antibody
- 
                     Tissue/Sections Customized Service Tissue/Sections Customized Service
- 
                     Phosphorylated Antibody Customized Service Phosphorylated Antibody Customized Service
- 
                     Western Blot (WB) Experiment Service Western Blot (WB) Experiment Service
- 
                     Immunohistochemistry (IHC) Experiment Service Immunohistochemistry (IHC) Experiment Service
- 
                     Immunocytochemistry (ICC) Experiment Service Immunocytochemistry (ICC) Experiment Service
- 
                     Flow Cytometry (FCM) Experiment Service Flow Cytometry (FCM) Experiment Service
- 
                     Immunoprecipitation (IP) Experiment Service Immunoprecipitation (IP) Experiment Service
- 
                     Immunofluorescence (IF) Experiment Service Immunofluorescence (IF) Experiment Service
- 
                     Buffer Buffer
- 
                     DAB Chromogen Kit DAB Chromogen Kit
- 
                     SABC Kit SABC Kit
- 
                     Long-arm Biotin Labeling Kit Long-arm Biotin Labeling Kit
- 
                     Real Time PCR Experimental Service Real Time PCR Experimental Service
| Magazine | Citations | 
| PLoS One. | Cilostazol Renoprotective Effect: Modulation of PPAR-γ, NGAL, KIM-1 and IL-18 Underlies Its Novel Effect in a Model of Ischemia-Reperfusion Pubmed:24816434 | 
| Fertil Steril | Inflammosome in the human endometrium: further step in the evaluation of the “maternal side” PubMed: 26474737 | 
| PLoS One | Synthetic PreImplantation Factor (PIF) prevents fetal loss by modulating LPS induced inflammatory response. pubmed:28704412 | 
| Journal of Virology | NS1 protein of 2009 pandemic influenza A virus inhibits porcine NLRP3 inflammasome-mediated interleukin-1 beta production by suppressing ASC ubiquitination Pubmed:29386291 | 
| Journal of Translational Medicine | Recurrent pregnancy loss is associated to leaky gut: a novel pathogenic model of endometrium inflammation? Pubmed:29665864 | 
| Reproductive Sciences | A role for the inflammasome in spontaneous labor at term Pubmed:27852921 | 
| Journal of Virology | CHARACTERIZATION OF PORCINE NLRP3 INFLAMMASOME-MEDIATED INTERLEUKIN-1 BETA PRODUCTION IN RESPONSE TO INFLUENZA A VIRUSES Pubmed: 29386291 | 
| ACTA Otorhinolaryngologica Italica | NLRP3 inflammasome expression in lipopolysaccharide-induced otitis media Pubmed: 30676848 | 
| American Journal of Reproductive Immunology | Effect of alpha lipoic acid and myoinositol on endometrial inflammasome from recurrent pregnancy loss women Pubmed: 31148259 | 
| Taiwanese Journal of Obstetrics & Gynecology | Serum Caspase-1 levels in women with polycystic ovary syndrome Pubmed: 32127139 | 
| Iranian Journal of Allergy, Asthma and Immunology | Increased Level of Caspase-1 in the Serum of Relapsing-remitting Multiple Sclerosis (RRMS) Patients | 
| ACTIVITY OF APOPTOSIS MARKERS IN HPV-ASSOCIATED CERVICAL PATHOLOGIES | |
| Norwegian Journal of development of the International Science | CLINICAL AND PATHOGENETIC SIGNIFICANCE OF CHANGES IN PURINE METABOLISM DURING LUNG CANCER | 
| LIFE SCIENCES | The NLRP3 inhibitor dapansutrile attenuates folic acid induced nephrotoxicity via inhibiting inflammasome/caspase-1/IL axis and regulating autophagy/proliferation 34560082 | 
| Biol Reprod | The alarmin S100A12 causes sterile inflammation of the human chorioamniotic membranes and preterm birth and neonatal mortality in mice 34632484 | 
| J Mol Neurosci | TRPV1 Suppressed NLRP3 Through Regulating Autophagy in Microglia After Ischemia-Reperfusion Injury Pubmed:35041191 | 
| Viruses | Influenza A Virus Infection Activates NLRP3 Inflammasome through Trans-Golgi Network Dispersion Pubmed:35062292 | 
| Catalog No. | Related products for research use of Homo sapiens (Human) Organism species | Applications (RESEARCH USE ONLY!) | 
| RPB592Hu02 | Recombinant Caspase 1 (CASP1) | Positive Control; Immunogen; SDS-PAGE; WB. | 
| RPB592Hu01 | Recombinant Caspase 1 (CASP1) | Positive Control; Immunogen; SDS-PAGE; WB. | 
| RPB592Hu03 | Recombinant Caspase 1 (CASP1) | Positive Control; Immunogen; SDS-PAGE; WB. | 
| RPB592Hu04 | Recombinant Caspase 1 (CASP1) | Positive Control; Immunogen; SDS-PAGE; WB. | 
| PAB592Hu01 | Polyclonal Antibody to Caspase 1 (CASP1) | WB; IHC | 
| PAB592Hu04 | Polyclonal Antibody to Caspase 1 (CASP1) | WB | 
| PAB592Hu02 | Polyclonal Antibody to Caspase 1 (CASP1) | WB; IHC; ICC/IF | 
| LAB592Hu71 | Biotin-Linked Polyclonal Antibody to Caspase 1 (CASP1) | IHC | 
| LAB592Hu81 | FITC-Linked Polyclonal Antibody to Caspase 1 (CASP1) | WB; IHC; ICC; IF. | 
| MAB592Hu22 | Monoclonal Antibody to Caspase 1 (CASP1) | WB; IHC; ICC; IP. | 
| SEB592Hu | ELISA Kit for Caspase 1 (CASP1) | Enzyme-linked immunosorbent assay for Antigen Detection. | 
| LMB592Hu | Multiplex Assay Kit for Caspase 1 (CASP1) ,etc. by FLIA (Flow Luminescence Immunoassay) | FLIA Kit for Antigen Detection. | 
| KSB592Hu01 | ELISA Kit DIY Materials for Caspase 1 (CASP1) | Main materials for "Do It (ELISA Kit) Yourself". | 
 
         
 
                             
                             
                             
                             
                             
                             
                             
                             
                             
                             
                            

 
    