Polyclonal Antibody to Cytosolic Phospholipase A2 (PLA2G4)
c-PLA2; cPLA2; PLA2G4A; Phospholipase A2, Cytosolic; Phospholipase A2,Group IV(Cytosolic,Calcium-Dependent); Phosphatidylcholine 2-acylhydrolase; Lysophospholipase
- Product No.PAB624Mu01
- Organism SpeciesMus musculus (Mouse) Same name, Different species.
- SourcePolyclonal antibody preparation
- HostRabbit
- Potencyn/a
- Ig Type IgG
- PurificationAntigen-specific affinity chromatography followed by Protein A affinity chromatography
- LabelNone
- Immunogen RPB624Mu01-Recombinant Cytosolic Phospholipase A2 (PLA2G4)
- Buffer FormulationPBS, pH7.4, containing 0.02% NaN3, 50% glycerol.
- TraitsLiquid
- Concentration0.5mg/ml
- Organism Species MoreHomo sapiens (Human)
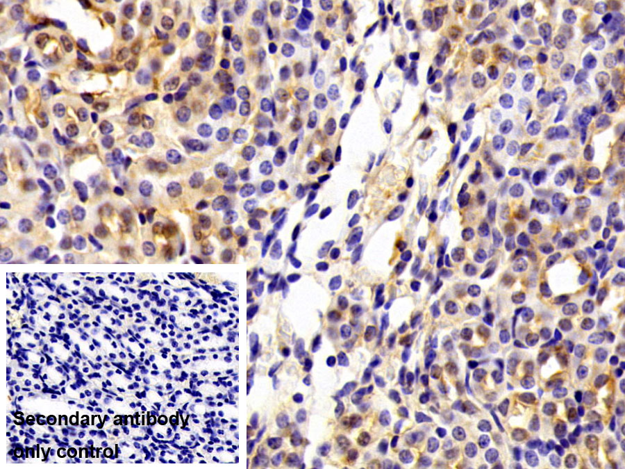
- ApplicationsWB; IHC
If the antibody is used in flow cytometry, please check FCM antibodies. - DownloadInstruction Manual
- UOM 20µl100µl 200µl 1ml 10ml
- FOB
US$ 103
US$ 239
US$ 342
US$ 855
US$ 3420
For more details, please contact local distributors!
SPECIFITY
The antibody is a rabbit polyclonal antibody raised against PLA2G4. It has been selected for its ability to recognize PLA2G4 in immunohistochemical staining and western blotting.
USAGE
Western blotting: 0.01-2µg/mL;
Immunohistochemistry: 5-20µg/mL;
Immunocytochemistry: 5-20µg/mL;
Optimal working dilutions must be determined by end user.
STORAGE
Store at 4°C for frequent use. Stored at -20°C in a manual defrost freezer for two year without detectable loss of activity. Avoid repeated freeze-thaw cycles.
STABILITY
The thermal stability is described by the loss rate. The loss rate was determined by accelerated thermal degradation test, that is, incubate the protein at 37°C for 48h, and no obvious degradation and precipitation were observed. The loss rate is less than 5% within the expiration date under appropriate storage condition.
GIVEAWAYS
INCREMENT SERVICES
-
Antibody Labeling Customized Service
-
Protein A/G Purification Column
-
Staining Solution for Cells and Tissue
-
Positive Control for Antibody
-
Tissue/Sections Customized Service
-
Phosphorylated Antibody Customized Service
-
Western Blot (WB) Experiment Service
-
Immunohistochemistry (IHC) Experiment Service
-
Immunocytochemistry (ICC) Experiment Service
-
Flow Cytometry (FCM) Experiment Service
-
Immunoprecipitation (IP) Experiment Service
-
Immunofluorescence (IF) Experiment Service
-
Buffer
-
DAB Chromogen Kit
-
SABC Kit
-
Long-arm Biotin Labeling Kit
-
Real Time PCR Experimental Service
| Magazine | Citations |
| BIOMEDICINE & PHARMACOTHERAPY | The synergistic mechanism of total saponins and flavonoids in Notoginseng− Safflower pair against myocardial ischemia uncovered by an integrated … Pubmed: 32739736 |
| Catalog No. | Related products for research use of Mus musculus (Mouse) Organism species | Applications (RESEARCH USE ONLY!) |
| RPB624Mu01 | Recombinant Cytosolic Phospholipase A2 (PLA2G4) | Positive Control; Immunogen; SDS-PAGE; WB. |
| PAB624Mu01 | Polyclonal Antibody to Cytosolic Phospholipase A2 (PLA2G4) | WB; IHC |
| SEB624Mu | ELISA Kit for Cytosolic Phospholipase A2 (PLA2G4) | Enzyme-linked immunosorbent assay for Antigen Detection. |
| LMB624Mu | Multiplex Assay Kit for Cytosolic Phospholipase A2 (PLA2G4) ,etc. by FLIA (Flow Luminescence Immunoassay) | FLIA Kit for Antigen Detection. |

