Polyclonal Antibody to Myostatin (MSTN)
GDF8; Growth Differentiation Factor 8
- Product No.PAB653Hu01
- Organism SpeciesHomo sapiens (Human) Same name, Different species.
- SourcePolyclonal antibody preparation
- HostRabbit
- Potencyn/a
- Ig Type IgG
- PurificationAntigen-specific affinity chromatography followed by Protein A affinity chromatography
- LabelNone
- Immunogen RPB653Hu01-Recombinant Myostatin (MSTN)
- Buffer Formulation0.01M PBS, pH7.4, containing 0.05% Proclin-300, 50% glycerol.
- TraitsLiquid
- Concentration0.5mg/mL
- Organism Species MoreMus musculus (Mouse)
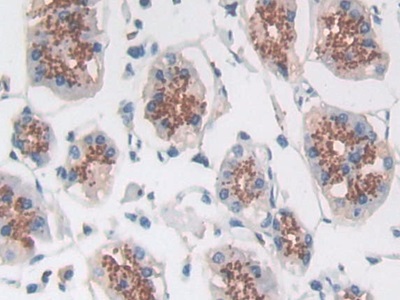
- ApplicationsWB; IHC; ICC/IF
If the antibody is used in flow cytometry, please check FCM antibodies. - DownloadInstruction Manual
- UOM 20µl100µl 200µl 1ml 10ml
- FOB
US$ 100
US$ 232
US$ 332
US$ 830
US$ 3320
For more details, please contact local distributors!
SPECIFITY
The antibody is a rabbit polyclonal antibody raised against MSTN. It has been selected for its ability to recognize MSTN in immunohistochemical staining and western blotting.
USAGE
Western blotting: 0.01-3µg/mL;
Immunohistochemistry: 5-30µg/mL;
Immunofluorescence: 5-20µg/mL;
Optimal working dilutions must be determined by end user.
STORAGE
Store at 4°C for frequent use. Stored at -20°C in a manual defrost freezer for two year without detectable loss of activity. Avoid repeated freeze-thaw cycles.
STABILITY
The thermal stability is described by the loss rate. The loss rate was determined by accelerated thermal degradation test, that is, incubate the protein at 37°C for 48h, and no obvious degradation and precipitation were observed. The loss rate is less than 5% within the expiration date under appropriate storage condition.
GIVEAWAYS
INCREMENT SERVICES
-
Antibody Labeling Customized Service
-
Protein A/G Purification Column
-
Staining Solution for Cells and Tissue
-
Positive Control for Antibody
-
Tissue/Sections Customized Service
-
Phosphorylated Antibody Customized Service
-
Western Blot (WB) Experiment Service
-
Immunohistochemistry (IHC) Experiment Service
-
Immunocytochemistry (ICC) Experiment Service
-
Flow Cytometry (FCM) Experiment Service
-
Immunoprecipitation (IP) Experiment Service
-
Immunofluorescence (IF) Experiment Service
-
Buffer
-
DAB Chromogen Kit
-
SABC Kit
-
Long-arm Biotin Labeling Kit
-
Real Time PCR Experimental Service
| Magazine | Citations |
| Clinical Medicine and Diagnostics | Anti-Myostatin Reduces Bone Mineral Loss in Ovariectomized Rats Sapub:Source |
| Nutr Metab (Lond) | Short-term, high-fat diet accelerates disuse atrophy and protein degradation in a muscle-specific manner in mice PubMed: 26539241 |
| International Journal of Cancer | Tumor inoculation site affects the development of cancer cachexia and muscle wasting PubMed: 26016447 |
| Connect Tissue Res | Induction of transient tenogenic phenotype of high density cultured human dermal fibroblasts PubMed: 25748814 |
| PLoS One | Higher Plasma Myostatin Levels in Cor Pulmonale Secondary to Chronic Obstructive Pulmonary Disease Pubmed:26998756 |
| Calcif Tissue Int. | The Effect of Vibration Treatments Combined with Teriparatide or Strontium Ranelate on Bone Healing and Muscle in Ovariectomized Rats Pubmed:27272029 |
| Archives of medical research | Irisin and Myostatin Levels in Patients with Graves' Disease. pubmed:27986127 |
| Calcified Tissue International | Effect of Strontium Ranelate on the Muscle and Vertebrae of Ovariectomized Rats pubmed:29242963 |
| Scientific Reports | Compensatory anabolic signaling in the sarcopenia of experimental chronic arthritis. pubmed:28740214 |
| Journal of Animal Science | Fermented corn-soybean meal elevated IGF1 levels in grower-finisher pigs Pubmed: 30203098 |
| European Journal of Internal Medicine | Predictive value of serum myostatin for the severity and clinical outcome of heart failure Pubmed: 31056368 |
| J Cell Physiol | Resistance training‐induced muscle hypertrophy is mediated by TGF‐β1‐Smad signaling pathway in male Wistar rats Pubmed: 31960436 |
| NEPHROLOGY DIALYSIS TRANSPLANTATION | Myostatin and muscle atrophy during chronic kidney disease Pubmed: 32974666 |
| Oxid Med Cell Longev | Gender-Specific Behaviour in Obesity Stages I-II: Imbalance of Aminothiol Status and Adipomyokine Profile in Subjects with Different Insulin Resistance … 34868459 |
| Catalog No. | Related products for research use of Homo sapiens (Human) Organism species | Applications (RESEARCH USE ONLY!) |
| APB653Hu01 | Active Myostatin (MSTN) | Cell culture; Activity Assays. |
| EPB653Hu61 | Eukaryotic Myostatin (MSTN) | Positive Control; Immunogen; SDS-PAGE; WB. |
| RPB653Hu01 | Recombinant Myostatin (MSTN) | Positive Control; Immunogen; SDS-PAGE; WB. |
| APB653Hu61 | Active Myostatin (MSTN) | Cell culture; Activity Assays. |
| CPB653Hu21 | OVA Conjugated Myostatin (MSTN) | Immunogen; SDS-PAGE; WB. |
| PAB653Hu08 | Polyclonal Antibody to Myostatin (MSTN) | Testing in progress. |
| PAB653Hu06 | Polyclonal Antibody to Myostatin (MSTN) | WB; IHC |
| PAB653Hu01 | Polyclonal Antibody to Myostatin (MSTN) | WB; IHC; ICC/IF |
| LAB653Hu71 | Biotin-Linked Polyclonal Antibody to Myostatin (MSTN) | WB; IHC; ICC. |
| MAB653Hu23 | Monoclonal Antibody to Myostatin (MSTN) | WB |
| MAB653Hu22 | Monoclonal Antibody to Myostatin (MSTN) | WB; IHC |
| MAB653Hu21 | Monoclonal Antibody to Myostatin (MSTN) | WB; IHC |
| FAB653Hu04 | Anti-Myostatin (MSTN) Monoclonal Antibody | FCM |
| SEB653Hu | ELISA Kit for Myostatin (MSTN) | Enzyme-linked immunosorbent assay for Antigen Detection. |
| CEB653Hu | ELISA Kit for Myostatin (MSTN) | Enzyme-linked immunosorbent assay for Antigen Detection. |
| SCB653Hu | CLIA Kit for Myostatin (MSTN) | Chemiluminescent immunoassay for Antigen Detection. |
| LMB653Hu | Multiplex Assay Kit for Myostatin (MSTN) ,etc. by FLIA (Flow Luminescence Immunoassay) | FLIA Kit for Antigen Detection. |
| KSB653Hu11 | ELISA Kit DIY Materials for Myostatin (MSTN) | Main materials for "Do It (ELISA Kit) Yourself". |

