Polyclonal Antibody to Myostatin (MSTN)
GDF8; Growth Differentiation Factor 8
- Product No.PAB653Ra01
- Organism SpeciesRattus norvegicus (Rat) Same name, Different species.
- SourcePolyclonal antibody preparation
- HostRabbit
- Potencyn/a
- Ig Type IgG
- PurificationAntigen-specific affinity chromatography followed by Protein A affinity chromatography
- LabelNone
- Immunogen RPB653Ra01-Recombinant Myostatin (MSTN)
- Buffer Formulation0.01M PBS, pH7.4, containing 0.05% Proclin-300, 50% glycerol.
- TraitsLiquid
- Concentration0.5mg/mL
- Organism Species MoreHomo sapiens (Human), Mus musculus (Mouse)
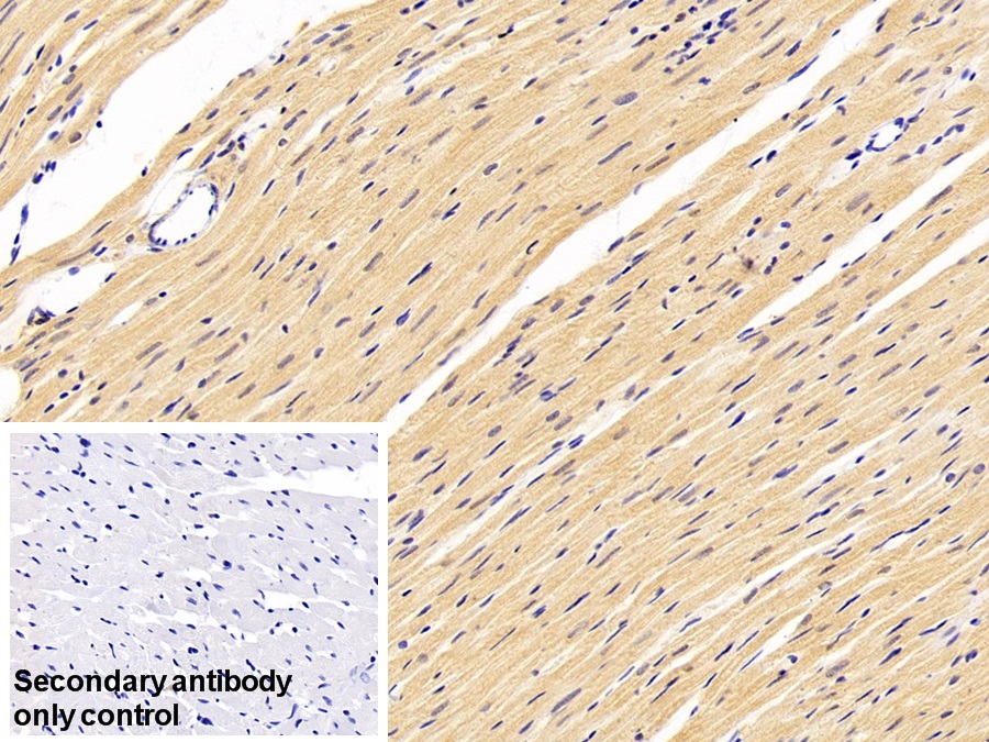
- ApplicationsWB; IHC
 If the antibody is used in flow cytometry, please check FCM antibodies.
- DownloadInstruction Manual
- UOM 20µl100µl 200µl 1ml 10ml
- FOB
    
                                    US$ 109 
            
                
                        US$ 253 
                                        US$ 362 
                                        US$ 905 
                                        US$ 3620 
                            
 For more details, please contact local distributors!
SPECIFITY
The antibody is a rabbit polyclonal antibody raised against MSTN. It has been selected for its ability to recognize MSTN in immunohistochemical staining and western blotting.
USAGE
        Western blotting: 0.01-2µg/mL;
Immunohistochemistry: 5-30µg/mL;
Optimal working dilutions must be determined by end user.    
STORAGE
Store at 4°C for frequent use. Stored at -20°C in a manual defrost freezer for two year without detectable loss of activity. Avoid repeated freeze-thaw cycles.
STABILITY
The thermal stability is described by the loss rate. The loss rate was determined by accelerated thermal degradation test, that is, incubate the protein at 37°C for 48h, and no obvious degradation and precipitation were observed. The loss rate is less than 5% within the expiration date under appropriate storage condition.
GIVEAWAYS
INCREMENT SERVICES
- 
                     Antibody Labeling Customized Service Antibody Labeling Customized Service
- 
                     Protein A/G Purification Column Protein A/G Purification Column
- 
                     Staining Solution for Cells and Tissue Staining Solution for Cells and Tissue
- 
                     Positive Control  for Antibody Positive Control  for Antibody
- 
                     Tissue/Sections Customized Service Tissue/Sections Customized Service
- 
                     Phosphorylated Antibody Customized Service Phosphorylated Antibody Customized Service
- 
                     Western Blot (WB) Experiment Service Western Blot (WB) Experiment Service
- 
                     Immunohistochemistry (IHC) Experiment Service Immunohistochemistry (IHC) Experiment Service
- 
                     Immunocytochemistry (ICC) Experiment Service Immunocytochemistry (ICC) Experiment Service
- 
                     Flow Cytometry (FCM) Experiment Service Flow Cytometry (FCM) Experiment Service
- 
                     Immunoprecipitation (IP) Experiment Service Immunoprecipitation (IP) Experiment Service
- 
                     Immunofluorescence (IF) Experiment Service Immunofluorescence (IF) Experiment Service
- 
                     Buffer Buffer
- 
                     DAB Chromogen Kit DAB Chromogen Kit
- 
                     SABC Kit SABC Kit
- 
                     Long-arm Biotin Labeling Kit Long-arm Biotin Labeling Kit
- 
                     Real Time PCR Experimental Service Real Time PCR Experimental Service
| Magazine | Citations | 
| Clinical Medicine and Diagnostics | Anti-Myostatin Reduces Bone Mineral Loss in Ovariectomized Rats Sapub:Source | 
| Nutr Metab (Lond) | Short-term, high-fat diet accelerates disuse atrophy and protein degradation in a muscle-specific manner in mice PubMed: 26539241 | 
| International Journal of Cancer | Tumor inoculation site affects the development of cancer cachexia and muscle wasting PubMed: 26016447 | 
| Connect Tissue Res | Induction of transient tenogenic phenotype of high density cultured human dermal fibroblasts PubMed: 25748814 | 
| PLoS One | Higher Plasma Myostatin Levels in Cor Pulmonale Secondary to Chronic Obstructive Pulmonary Disease Pubmed:26998756 | 
| Calcif Tissue Int. | The Effect of Vibration Treatments Combined with Teriparatide or Strontium Ranelate on Bone Healing and Muscle in Ovariectomized Rats Pubmed:27272029 | 
| Archives of medical research | Irisin and Myostatin Levels in Patients with Graves' Disease. pubmed:27986127 | 
| Calcified Tissue International | Effect of Strontium Ranelate on the Muscle and Vertebrae of Ovariectomized Rats pubmed:29242963 | 
| Scientific Reports | Compensatory anabolic signaling in the sarcopenia of experimental chronic arthritis. pubmed:28740214 | 
| Journal of Animal Science | Fermented corn-soybean meal elevated IGF1 levels in grower-finisher pigs Pubmed: 30203098 | 
| European Journal of Internal Medicine | Predictive value of serum myostatin for the severity and clinical outcome of heart failure Pubmed: 31056368 | 
| J Cell Physiol | Resistance training‐induced muscle hypertrophy is mediated by TGF‐β1‐Smad signaling pathway in male Wistar rats Pubmed: 31960436 | 
| NEPHROLOGY DIALYSIS TRANSPLANTATION | Myostatin and muscle atrophy during chronic kidney disease Pubmed: 32974666 | 
| Oxid Med Cell Longev | Gender-Specific Behaviour in Obesity Stages I-II: Imbalance of Aminothiol Status and Adipomyokine Profile in Subjects with Different Insulin Resistance … 34868459 | 
| Catalog No. | Related products for research use of Rattus norvegicus (Rat) Organism species | Applications (RESEARCH USE ONLY!) | 
| RPB653Ra01 | Recombinant Myostatin (MSTN) | Positive Control; Immunogen; SDS-PAGE; WB. | 
| APB653Ra01 | Active Myostatin (MSTN) | Cell culture; Activity Assays. | 
| CPB653Ra21 | OVA Conjugated Myostatin (MSTN) | Immunogen; SDS-PAGE; WB. | 
| PAB653Ra08 | Polyclonal Antibody to Myostatin (MSTN) | WB; IHC; ICC; IP. | 
| PAB653Ra01 | Polyclonal Antibody to Myostatin (MSTN) | WB; IHC | 
| LAB653Ra71 | Biotin-Linked Polyclonal Antibody to Myostatin (MSTN) | IHC | 
| MAB653Ra21 | Monoclonal Antibody to Myostatin (MSTN) | WB; IHC; ICC; IP. | 
| SEB653Ra | ELISA Kit for Myostatin (MSTN) | Enzyme-linked immunosorbent assay for Antigen Detection. | 
| MEB653Ra | Mini Samples ELISA Kit for Myostatin (MSTN) | Enzyme-linked immunosorbent assay for Antigen Detection. | 
| CEB653Ra | ELISA Kit for Myostatin (MSTN) | Enzyme-linked immunosorbent assay for Antigen Detection. | 
| SCB653Ra | CLIA Kit for Myostatin (MSTN) | Chemiluminescent immunoassay for Antigen Detection. | 
| LMB653Ra | Multiplex Assay Kit for Myostatin (MSTN) ,etc. by FLIA (Flow Luminescence Immunoassay) | FLIA Kit for Antigen Detection. | 
| KSB653Ra11 | ELISA Kit DIY Materials for Myostatin (MSTN) | Main materials for "Do It (ELISA Kit) Yourself". | 
 
         
 
                             
                             
                             
                             
                            

 
    