Polyclonal Antibody to Trefoil Factor 3 (TFF3)
HITF; ITF3; TFI; HP1.B; Trefoil Factor 3, Intestinal
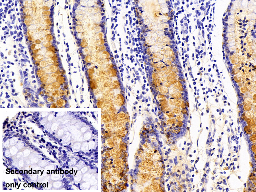
- Product No.PAB656Po03
- Organism SpeciesSus scrofa; Porcine (Pig) Same name, Different species.
- SourcePolyclonal antibody preparation
- HostRabbit
- Potencyn/a
- Ig Type IgG
- PurificationAntigen-specific affinity chromatography followed by Protein A affinity chromatography
- LabelNone
- Immunogen RPB656Po03-Recombinant Trefoil Factor 3 (TFF3)
- Buffer FormulationPBS, pH7.4, containing 0.02% NaN3, 50% glycerol.
- TraitsLiquid
- Concentration500µg/mL
- Organism Species Moren/a
- ApplicationsIHC
If the antibody is used in flow cytometry, please check FCM antibodies. - DownloadInstruction Manual
- UOM 20µl100µl 200µl 1ml 10ml
- FOB
US$ 105
US$ 245
US$ 350
US$ 875
US$ 3500
For more details, please contact local distributors!
SPECIFITY
The antibody is a rabbit polyclonal antibody raised against TFF3. It has been selected for its ability to recognize TFF3 in immunohistochemical staining and western blotting.
USAGE
Western blotting: 0.5-2µg/mL
Immunohistochemistry: 5-20µg/mL
Immunocytochemistry: 5-20µg/mL
Optimal working dilutions must be determined by end user.
STORAGE
Store at 4°C for frequent use. Stored at -20°C in a manual defrost freezer for two year without detectable loss of activity. Avoid repeated freeze-thaw cycles.
STABILITY
The thermal stability is described by the loss rate. The loss rate was determined by accelerated thermal degradation test, that is, incubate the protein at 37°C for 48h, and no obvious degradation and precipitation were observed. The loss rate is less than 5% within the expiration date under appropriate storage condition.
GIVEAWAYS
INCREMENT SERVICES
-
Antibody Labeling Customized Service
-
Protein A/G Purification Column
-
Staining Solution for Cells and Tissue
-
Positive Control for Antibody
-
Tissue/Sections Customized Service
-
Phosphorylated Antibody Customized Service
-
Western Blot (WB) Experiment Service
-
Immunohistochemistry (IHC) Experiment Service
-
Immunocytochemistry (ICC) Experiment Service
-
Flow Cytometry (FCM) Experiment Service
-
Immunoprecipitation (IP) Experiment Service
-
Immunofluorescence (IF) Experiment Service
-
Buffer
-
DAB Chromogen Kit
-
SABC Kit
-
Long-arm Biotin Labeling Kit
-
Real Time PCR Experimental Service
| Magazine | Citations |
| BMC Gastroenterology | Serum trefoil factor 3 is a promising non-invasive biomarker for gastric cancer screening: A monocentric cohort study in China Biomedcentral: Source |
| Technology in Cancer Research & Treatment | Serum Trefoil Factor 3 as a Protein Biomarker for the Diagnosis of Colorectal Cancer. pubmed:27760866 |
| PLoS One | Obstructive sleep apnea and rhonchopathy are associated with downregulation of trefoil factor family peptide 3 (TFF3)-Implications of changes in oral mucus composition. pubmed:29028798 |
| Microbial Pathogenesis | Protective effects of sinomenine against LPS-induced inflammation in piglets. pubmed:28757275 |
| Scientific Reports | Nucleotide-mediated SPDEF modulates TFF3-mediated wound healing and intestinal barrier function during the weaning process Pubmed:29555969 |
| Scientific Reports | Kidney-based in vivo model for drug-induced nephrotoxicity testing Pubmed: 32796873 |
| International Journal of Molecular Sciences | Human Synovia Contains Trefoil Factor Family (TFF) Peptides 1–3 Although Synovial Membrane Only Produces TFF3: Implications in Osteoarthritis and Rheumatoid … |
| Int. J. Mol. Sci. | Untersuchungen der Trefoil factor family Peptide 1-3 in humaner Synovialfl¨¹ssigkeit und Synovialmembran und deren Bedeutung bei Arthrose und?¡ |
| Catalog No. | Related products for research use of Sus scrofa; Porcine (Pig) Organism species | Applications (RESEARCH USE ONLY!) |
| RPB656Po01 | Recombinant Trefoil Factor 3 (TFF3) | Positive Control; Immunogen; SDS-PAGE; WB. |
| RPB656Po02 | Recombinant Trefoil Factor 3 (TFF3) | Positive Control; Immunogen; SDS-PAGE; WB. |
| RPB656Po03 | Recombinant Trefoil Factor 3 (TFF3) | Positive Control; Immunogen; SDS-PAGE; WB. |
| PAB656Po01 | Polyclonal Antibody to Trefoil Factor 3 (TFF3) | WB; IHC; ICC; IP. |
| PAB656Po03 | Polyclonal Antibody to Trefoil Factor 3 (TFF3) | IHC |
| PAB656Po02 | Polyclonal Antibody to Trefoil Factor 3 (TFF3) | WB; IHC; ICC; IP. |
| LAB656Po71 | Biotin-Linked Polyclonal Antibody to Trefoil Factor 3 (TFF3) | WB; IHC; ICC. |

