Polyclonal Antibody to S100 Calcium Binding Protein A6 (S100A6)
S100-A6; 2A9; 5B10; CABP; CACY; PRA; MLN 4; Calcyclin; Growth factor-inducible protein 2A9; Prolactin receptor-associated protein
- Product No.PAB769Rb51
- Organism SpeciesOryctolagus cuniculus (Rabbit) Same name, Different species.
- SourcePolyclonal antibody preparation
- HostGuinea pig
- Potencyn/a
- Ig Type IgG
- PurificationAntigen-specific affinity chromatography followed by Protein A affinity chromatography
- LabelAPC
- Immunogen n/a
- Buffer FormulationPBS, pH7.4, containing 0.02% NaN3, 50% glycerol.
- TraitsLiquid
- Concentration500µg/mL
- Organism Species MoreHomo sapiens (Human), Mus musculus (Mouse), Rattus norvegicus (Rat)
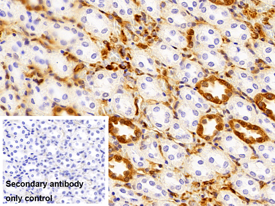
- ApplicationsWB; IHC; ICC; IP.
If the antibody is used in flow cytometry, please check FCM antibodies. - DownloadInstruction Manual
- UOM 20µl100µl 200µl 1ml 10ml
- FOB
US$ 109
US$ 253
US$ 362
US$ 905
US$ 3620
For more details, please contact local distributors!
SPECIFITY
The antibody is a cavia polyclonal antibody raised against S100A6. It has been selected for its ability to recognize S100A6 in immunohistochemical staining and western blotting.
USAGE
Western blotting: 0.2-2µg/mL;1:250-2500
Immunohistochemistry: 5-20µg/mL;1:25-100
Immunocytochemistry: 5-20µg/mL;1:25-100
Optimal working dilutions must be determined by end user.
STORAGE
Store at 4°C for frequent use. Stored at -20°C in a manual defrost freezer for two year without detectable loss of activity. Avoid repeated freeze-thaw cycles.
STABILITY
The thermal stability is described by the loss rate. The loss rate was determined by accelerated thermal degradation test, that is, incubate the protein at 37°C for 48h, and no obvious degradation and precipitation were observed. The loss rate is less than 5% within the expiration date under appropriate storage condition.
GIVEAWAYS
INCREMENT SERVICES
-
Antibody Labeling Customized Service
-
Protein A/G Purification Column
-
Staining Solution for Cells and Tissue
-
Positive Control for Antibody
-
Tissue/Sections Customized Service
-
Phosphorylated Antibody Customized Service
-
Western Blot (WB) Experiment Service
-
Immunohistochemistry (IHC) Experiment Service
-
Immunocytochemistry (ICC) Experiment Service
-
Flow Cytometry (FCM) Experiment Service
-
Immunoprecipitation (IP) Experiment Service
-
Immunofluorescence (IF) Experiment Service
-
Buffer
-
DAB Chromogen Kit
-
SABC Kit
-
Long-arm Biotin Labeling Kit
-
Real Time PCR Experimental Service
| Magazine | Citations |
| Journal of Proteomics | Tear proteome and protein network analyses reveal a novel pentamarker panel for tear film characterization in dry eye and meibomian gland dysfunction PubMed: 23201116 |
| Tumour Biol | Diagnostic significance of S100A2 and S100A6 levels in sera of patients with non-small cell lung cancer PubMed: 26361956 |
| Clinical and Translational Medicine | Serum levels of S100A6 are unaltered in patients with resectable cholangiocarcinoma pubmed:27709523 |
| Gastroenterology | Tu1938-Micronutrients Assessment in Patients with Cirrhosis 10.1016:S0016-5085(18)33544-3 |
| Gastroenterology | Tu1942-PI3K/AKT-Mediated Upregulation of C7 Inhibits Colorectal Cancer Proliferation and Metastasis 10.1016:S0016-5085(18)33544-5 |
| Tumor Biology | Proteomics detection of S100A6 in tumor tissue interstitial fluid and evaluation of its potential as a biomarker of cholangiocarcinoma Pubmed:29629840 |
| scandinavian journal of clinical & laboratory investigation | Serum S100A6, S100A8, S100A9 and S100A11 proteins in colorectal neoplasia: results of a single centre prospective study Pubmed: 31856598 |
| CELL BIOCHEMISTRY AND FUNCTION | S100A6 represses Calu©\6 lung cancer cells growth via inhibiting cell proliferation, migration, invasion and enhancing apoptosis 34008212 |
| MOLECULAR VISION | Quantification of a panel for dry-eye protein biomarkers in tears: A comparative pilot study using standard ELISA and customized microarrays 34012227 |
| Catalog No. | Related products for research use of Oryctolagus cuniculus (Rabbit) Organism species | Applications (RESEARCH USE ONLY!) |
| RPB769Rb01 | Recombinant S100 Calcium Binding Protein A6 (S100A6) | Positive Control; Immunogen; SDS-PAGE; WB. |
| PAB769Rb01 | Polyclonal Antibody to S100 Calcium Binding Protein A6 (S100A6) | WB; IHC; ICC; IP. |
| PAB769Rb51 | Polyclonal Antibody to S100 Calcium Binding Protein A6 (S100A6) | WB; IHC; ICC; IP. |
| LAB769Rb71 | Biotin-Linked Polyclonal Antibody to S100 Calcium Binding Protein A6 (S100A6) | WB; IHC; ICC. |

