Polyclonal Antibody to Matrix Metalloproteinase 24 (MMP24)
MT5-MMP; MMP25; MT-MMP5; Membrane-type matrix metalloproteinase 5; Membrane-type-5 matrix metalloproteinase
- Product No.PAB894Hu01
- Organism SpeciesHomo sapiens (Human) Same name, Different species.
- SourcePolyclonal antibody preparation
- HostRabbit
- Potencyn/a
- Ig Type IgG
- PurificationAntigen-specific affinity chromatography followed by Protein A affinity chromatography
- LabelNone
- Immunogen RPB894Hu01-Recombinant Matrix Metalloproteinase 24 (MMP24)
- Buffer Formulation0.01M PBS, pH7.4, containing 0.05% Proclin-300, 50% glycerol.
- TraitsLiquid
- Concentration0.5mg/ml
- Organism Species MoreRattus norvegicus (Rat)
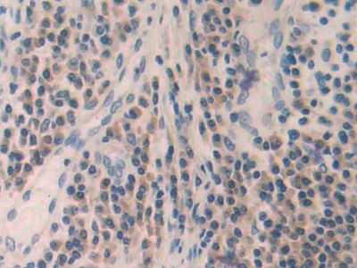
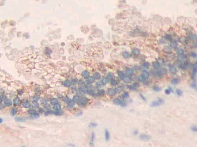
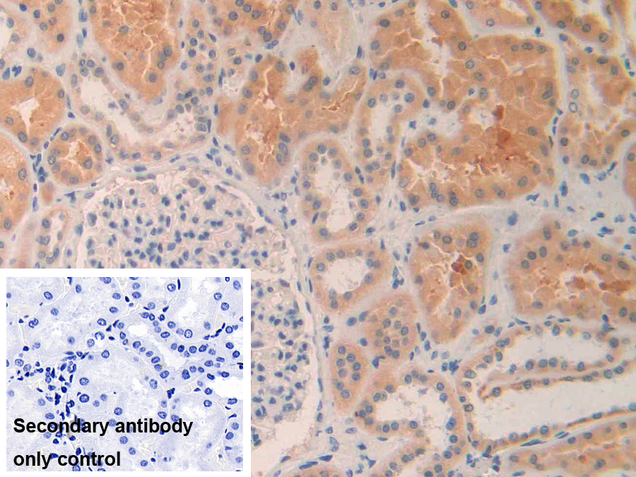
- ApplicationsWB; IHC
If the antibody is used in flow cytometry, please check FCM antibodies. - DownloadInstruction Manual
- UOM 20µl100µl 200µl 1ml 10ml
- FOB
US$ 100
US$ 232
US$ 332
US$ 830
US$ 3320
For more details, please contact local distributors!
SPECIFITY
The antibody is a rabbit polyclonal antibody raised against MMP24. It has been selected for its ability to recognize MMP24 in immunohistochemical staining and western blotting.
USAGE
Western blotting: 0.01-2µg/mL;
Immunohistochemistry: 5-20µg/mL;
Optimal working dilutions must be determined by end user.
STORAGE
Store at 4°C for frequent use. Stored at -20°C in a manual defrost freezer for two year without detectable loss of activity. Avoid repeated freeze-thaw cycles.
STABILITY
The thermal stability is described by the loss rate. The loss rate was determined by accelerated thermal degradation test, that is, incubate the protein at 37°C for 48h, and no obvious degradation and precipitation were observed. The loss rate is less than 5% within the expiration date under appropriate storage condition.
GIVEAWAYS
INCREMENT SERVICES
-
Antibody Labeling Customized Service
-
Protein A/G Purification Column
-
Staining Solution for Cells and Tissue
-
Positive Control for Antibody
-
Tissue/Sections Customized Service
-
Phosphorylated Antibody Customized Service
-
Western Blot (WB) Experiment Service
-
Immunohistochemistry (IHC) Experiment Service
-
Immunocytochemistry (ICC) Experiment Service
-
Flow Cytometry (FCM) Experiment Service
-
Immunoprecipitation (IP) Experiment Service
-
Immunofluorescence (IF) Experiment Service
-
Buffer
-
DAB Chromogen Kit
-
SABC Kit
-
Long-arm Biotin Labeling Kit
-
Real Time PCR Experimental Service
| Catalog No. | Related products for research use of Homo sapiens (Human) Organism species | Applications (RESEARCH USE ONLY!) |
| RPB894Hu03 | Recombinant Matrix Metalloproteinase 24 (MMP24) | Positive Control; Immunogen; SDS-PAGE; WB. |
| RPB894Hu04 | Recombinant Matrix Metalloproteinase 24 (MMP24) | Positive Control; Immunogen; SDS-PAGE; WB. |
| RPB894Hu05 | Recombinant Matrix Metalloproteinase 24 (MMP24) | Positive Control; Immunogen; SDS-PAGE; WB. |
| RPB894Hu02 | Recombinant Matrix Metalloproteinase 24 (MMP24) | Positive Control; Immunogen; SDS-PAGE; WB. |
| RPB894Hu01 | Recombinant Matrix Metalloproteinase 24 (MMP24) | Positive Control; Immunogen; SDS-PAGE; WB. |
| PAB894Hu01 | Polyclonal Antibody to Matrix Metalloproteinase 24 (MMP24) | WB; IHC |

