Polyclonal Antibody to Annexin A2 (ANXA2)
ANX-A2; ANX2L4; CAL1H; LIP2; LPC2; LPC2D; P36; PAP-IV; Protein I; Chromobindin-8; Calpactin-1 heavy chain; Lipocortin II; Placental anticoagulant protein IV
- Product No.PAB944Hu01
- Organism SpeciesHomo sapiens (Human) Same name, Different species.
- SourcePolyclonal antibody preparation
- HostRabbit
- Potencyn/a
- Ig Type IgG
- PurificationAntigen-specific affinity chromatography followed by Protein A affinity chromatography
- LabelNone
- Immunogen RPB944Hu01-Recombinant Annexin A2 (ANXA2)
- Buffer FormulationPBS, pH7.4, containing 0.02% NaN3, 50% glycerol.
- TraitsLiquid
- Concentration0.48mg/mL
- Organism Species MoreRattus norvegicus (Rat), Sus scrofa; Porcine (Pig)
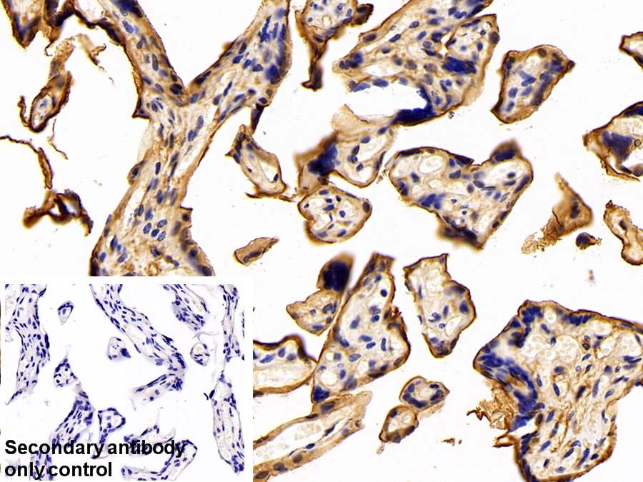
- ApplicationsWB; IHC
If the antibody is used in flow cytometry, please check FCM antibodies. - DownloadInstruction Manual
- UOM 20µl100µl 200µl 1ml 10ml
- FOB
US$ 100
US$ 232
US$ 332
US$ 830
US$ 3320
For more details, please contact local distributors!
SPECIFITY
The antibody is a rabbit polyclonal antibody raised against ANXA2. It has been selected for its ability to recognize ANXA2 in immunohistochemical staining and western blotting.
USAGE
Western blotting: 0.01-2µg/mL;
Immunohistochemistry: 5-20µg/mL;
Immunocytochemistry: 5-20µg/mL;
Optimal working dilutions must be determined by end user.
STORAGE
Store at 4°C for frequent use. Stored at -20°C in a manual defrost freezer for two year without detectable loss of activity. Avoid repeated freeze-thaw cycles.
STABILITY
The thermal stability is described by the loss rate. The loss rate was determined by accelerated thermal degradation test, that is, incubate the protein at 37°C for 48h, and no obvious degradation and precipitation were observed. The loss rate is less than 5% within the expiration date under appropriate storage condition.
GIVEAWAYS
INCREMENT SERVICES
-
Antibody Labeling Customized Service
-
Protein A/G Purification Column
-
Staining Solution for Cells and Tissue
-
Positive Control for Antibody
-
Tissue/Sections Customized Service
-
Phosphorylated Antibody Customized Service
-
Western Blot (WB) Experiment Service
-
Immunohistochemistry (IHC) Experiment Service
-
Immunocytochemistry (ICC) Experiment Service
-
Flow Cytometry (FCM) Experiment Service
-
Immunoprecipitation (IP) Experiment Service
-
Immunofluorescence (IF) Experiment Service
-
Buffer
-
DAB Chromogen Kit
-
SABC Kit
-
Long-arm Biotin Labeling Kit
-
Real Time PCR Experimental Service
| Magazine | Citations |
| Journal of Cellular Biochemistry | Subcellular proteome analysis unraveled annexin A2 related to immune liver fibrosis PubMed: 20225235 |
| World Journal of Gastroenterology | Expression characteristics and diagnostic value of annexin A2 in hepatocellular carcinoma PubMed: PMC3491596 |
| Oncology Letters | Annexin A2 is not a good biomarker for hepatocellular carcinoma in cirrhosis PubMed: PMC3742823 |
| Ibrahim | Annexin A2 Versus Afp as An Efficient Diagnostic Serum Marker for Hepatocellular Carcinoma Ghrnet: Source |
| European Journal of Clinical Microbiology & Infectious Diseases | Serum annexin A2 levels in acute brucellosis and brucellar spondylodiscitis Pubmed:24853056 |
| Biomedicine & Pharmacotherapy | Circulating annexin A2 as a biomarker in gastric cancer patients: Correlation with clinical variables Pubmed:25661364 |
| Hepat Mon | Serum Levels of Annexin A2 as a Candidate Biomarker for Hepatic Fibrosis in Patients With Chronic Hepatitis B PubMed: 26587036 |
| Tumour Biol | Up-regulation of annexin A2 expression predicates advanced clinicopathological features and poor prognosis in hepatocellular carcinoma PubMed: 26109000 |
| Biomed Pharmacother | Circulating PubMed: 25661364 |
| Tumour Biol | Evaluation of annexin A2 and as potential biomarkers for hepatocellular carcinoma PubMed: 26189841 |
| Eur J Clin Invest | Stairs instead of elevators at the workplace decreases PCSK9 levels in a healthy population PubMed: 26081791 |
| Journal of Oral and Maxillofacial Surgery | Serum Annexin A2 Level Is Associated With Diagnosis and Prognosis in Patients With OralSquamous Cell Carcinoma. pubmed:27889534 |
| Pregnancy Hypertens | Assessment of annexin A5 and annexin A2 levels as biomarkers for pre-eclampsia: A pilot study. pubmed:28501283 |
| Mol Nutr Food Res. | Epigallocatechin gallate induces an up-regulation of LDL receptor accompanied by a reduction of PCSK9 via the annexin A2-independent pathway in HepG2 cells. pubmed:28181408 |
| Archives of Gynecology and Obstetrics | Expression of annexin A2 in adenomyosis and dysmenorrhea Pubmed: 31183557 |
| Cancers | Extracellular Vesicles-Based Biomarkers Represent a Promising Liquid Biopsy in Endometrial Cancer Pubmed: 31842290 |
| PLASMA BIOMARKER FOR OVARIAN CANCER | |
| Diagnostics | Diagnostic Value of Plasma Annexin A2 in Early-Stage High-Grade Serous Ovarian Cancer. Diagnostics 2021, 11, 69 33406648 |
| ADVANCED RESEARCHES | Search for Effective Serum Tumor Markers for Early Diagnosis of Hepatocellular Carcinoma Associated with Hepatitis C |
| Cancer Cell International | Bufalin Induced Mitochondrial Dysfunction Promotes Apoptosis of Glioma Cells by Regulating Annexin A2 and DRP1 Proteins |
| Cancer Cell Int | Bufalin induces mitochondrial dysfunction and promotes apoptosis of glioma cells by regulating Annexin A2 and DRP1 protein expression 34376212 |
| Catalog No. | Related products for research use of Homo sapiens (Human) Organism species | Applications (RESEARCH USE ONLY!) |
| RPB944Hu03 | Recombinant Annexin A2 (ANXA2) | Positive Control; Immunogen; SDS-PAGE; WB. |
| RPB944Hu01 | Recombinant Annexin A2 (ANXA2) | Positive Control; Immunogen; SDS-PAGE; WB. |
| RPB944Hu04 | Recombinant Annexin A2 (ANXA2) | Positive Control; Immunogen; SDS-PAGE; WB. |
| APB944Hu01 | Active Annexin A2 (ANXA2) | Cell culture; Activity Assays. |
| RPB944Hu02 | Recombinant Annexin A2 (ANXA2) | Positive Control; Immunogen; SDS-PAGE; WB. |
| PAB944Hu01 | Polyclonal Antibody to Annexin A2 (ANXA2) | WB; IHC |
| PAB944Hu02 | Polyclonal Antibody to Annexin A2 (ANXA2) | WB; IHC; FCM |
| LAB944Hu71 | Biotin-Linked Polyclonal Antibody to Annexin A2 (ANXA2) | IHC |
| MAB944Hu22 | Monoclonal Antibody to Annexin A2 (ANXA2) | IHC |
| MAB944Hu21 | Monoclonal Antibody to Annexin A2 (ANXA2) | WB; FCM |
| FAB944Hu08 | Anti-Annexin A2 (ANXA2) Monoclonal Antibody | FCM |
| FAB944Hu06 | Anti-Annexin A2 (ANXA2) Monoclonal Antibody | FCM |
| FAB944Hu04 | Anti-Annexin A2 (ANXA2) Monoclonal Antibody | FCM |
| FAB944Hu02 | Anti-Annexin A2 (ANXA2) Monoclonal Antibody | FCM |
| SEB944Hu | ELISA Kit for Annexin A2 (ANXA2) | Enzyme-linked immunosorbent assay for Antigen Detection. |
| SCB944Hu | CLIA Kit for Annexin A2 (ANXA2) | Chemiluminescent immunoassay for Antigen Detection. |
| LMB944Hu | Multiplex Assay Kit for Annexin A2 (ANXA2) ,etc. by FLIA (Flow Luminescence Immunoassay) | FLIA Kit for Antigen Detection. |

