Polyclonal Antibody to Tenascin C (TNC)
TN-C; HXB; TN; GMEM; JI; Myotendinous antigen; Neuronectin; GP 150-225; Cytotactin; Hexabrachion; Glioma-associated-extracellular matrix antigen
- Product No.PAB975Ra01
- Organism SpeciesRattus norvegicus (Rat) Same name, Different species.
- SourcePolyclonal antibody preparation
- HostRabbit
- Potencyn/a
- Ig Type IgG
- PurificationAntigen-specific affinity chromatography followed by Protein A affinity chromatography
- LabelNone
- Immunogen RPB975Ra01-Recombinant Tenascin C (TNC)
- Buffer Formulation0.01M PBS, pH7.4, containing 0.05% Proclin-300, 50% glycerol.
- TraitsLiquid
- Concentration500µg/mL
- Organism Species Moren/a
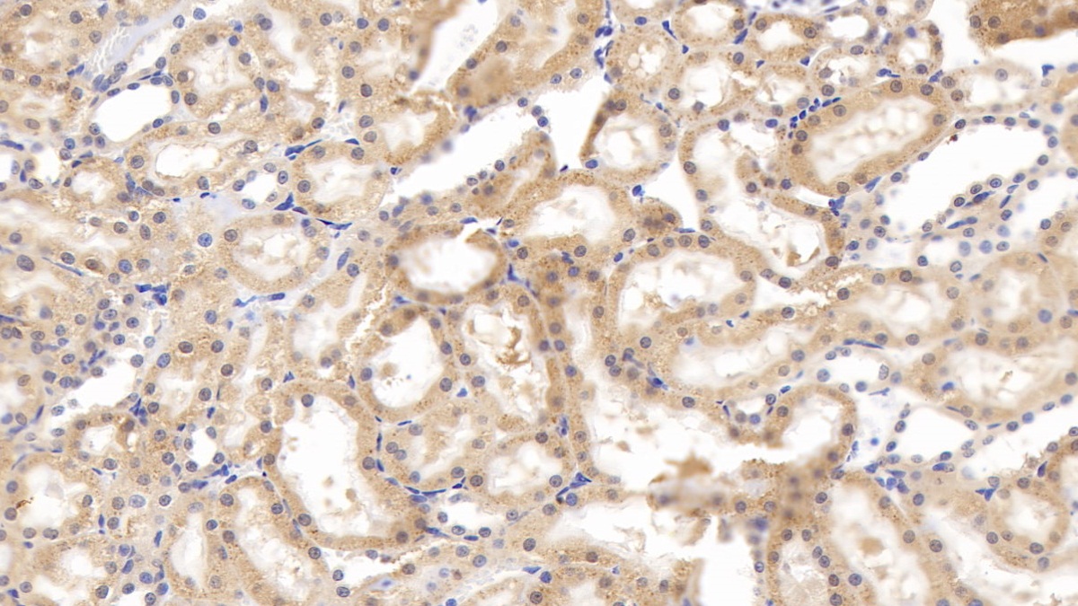
- ApplicationsWB; IHC
If the antibody is used in flow cytometry, please check FCM antibodies. - DownloadInstruction Manual
- UOM 20µl100µl 200µl 1ml 10ml
- FOB
US$ 109
US$ 253
US$ 362
US$ 905
US$ 3620
For more details, please contact local distributors!
SPECIFITY
The antibody is a rabbit polyclonal antibody raised against TNC. It has been selected for its ability to recognize TNC in immunohistochemical staining and western blotting.
USAGE
Western blotting: 0.5-2µg/mL;
Immunohistochemistry: 5-20µg/mL;
Immunocytochemistry: 5-20µg/mL;
Optimal working dilutions must be determined by end user.
STORAGE
Store at 4°C for frequent use. Stored at -20°C in a manual defrost freezer for two year without detectable loss of activity. Avoid repeated freeze-thaw cycles.
STABILITY
The thermal stability is described by the loss rate. The loss rate was determined by accelerated thermal degradation test, that is, incubate the protein at 37°C for 48h, and no obvious degradation and precipitation were observed. The loss rate is less than 5% within the expiration date under appropriate storage condition.
GIVEAWAYS
INCREMENT SERVICES
-
Antibody Labeling Customized Service
-
Protein A/G Purification Column
-
Staining Solution for Cells and Tissue
-
Positive Control for Antibody
-
Tissue/Sections Customized Service
-
Phosphorylated Antibody Customized Service
-
Western Blot (WB) Experiment Service
-
Immunohistochemistry (IHC) Experiment Service
-
Immunocytochemistry (ICC) Experiment Service
-
Flow Cytometry (FCM) Experiment Service
-
Immunoprecipitation (IP) Experiment Service
-
Immunofluorescence (IF) Experiment Service
-
Buffer
-
DAB Chromogen Kit
-
SABC Kit
-
Long-arm Biotin Labeling Kit
-
Real Time PCR Experimental Service
| Magazine | Citations |
| Medical Principles and Practice | An investigation of tenascin-C levels in rheumatic mitral stenosis and their response to percutaneous mitral balloon valvuloplasty Pubmed: 22889719 |
| Tumor Biology | Clinical significance of serum tenascin-c levels in epithelial ovarian cancer Springer: Source |
| Tumor Biology | Clinical significance of serum tenascin-C levels in breast cancer Springer: Source |
| BioFactors | Tenascin-C is increased in atherothrombotic stroke patients and has an anti-inflammatory effect in the human carotid artery. Pubmed:24823872 |
| Connective Tissue Research | Metabolic and cytoprotective effects of in vivo peri-patellar hyaluronic acid injections in cultured tenocytes Pubmed:25333747 |
| K | Role of Tenascin-C in the differential diagnosis of small round blue cell tumors Index.Php: Sdutfd |
| Life Sci | A new predictor of mortality in hemodialysis patients; Tenascin-C PubMed: 26390818 |
| Heart Research | Biomarkers Score for Patients with Mitral Stenosis: A useful conjunction with Wilkins’s Score for Early Intervention Heartresearchopenjournal: Hroj5 |
| Araştırmalar / Researches | Pankreas Adenokarsinomunda Serum Tenascin-C Düzeyi Potansiyel Bir Biyobelirteç Midir? Cpdf:5C21620161255 |
| Archives of Dermatological Research | Increased tenascin C and DKK1 in vitiligo: possible role of fibroblasts in acral and non-acral disease Pubmed:29605863 |
| Methods in Cell Biology | How to detect and purify tenascin-C Pubmed:29310788 |
| Scientific Reports | Altered transcriptional regulatory proteins in glioblastoma and YBX1 as a potential regulator of tumor invasion Pubmed: 31358880 |
| Catalog No. | Related products for research use of Rattus norvegicus (Rat) Organism species | Applications (RESEARCH USE ONLY!) |
| RPB975Ra06 | Recombinant Tenascin C (TNC) | Positive Control; Immunogen; SDS-PAGE; WB. |
| RPB975Ra01 | Recombinant Tenascin C (TNC) | Positive Control; Immunogen; SDS-PAGE; WB. |
| RPB975Ra03 | Recombinant Tenascin C (TNC) | Positive Control; Immunogen; SDS-PAGE; WB. |
| RPB975Ra02 | Recombinant Tenascin C (TNC) | Positive Control; Immunogen; SDS-PAGE; WB. |
| RPB975Ra05 | Recombinant Tenascin C (TNC) | Positive Control; Immunogen; SDS-PAGE; WB. |
| PAB975Ra02 | Polyclonal Antibody to Tenascin C (TNC) | WB; IHC |
| PAB975Ra01 | Polyclonal Antibody to Tenascin C (TNC) | WB; IHC |
| PAB975Ra03 | Polyclonal Antibody to Tenascin C (TNC) | WB; ICC/IF |
| LAB975Ra71 | Biotin-Linked Polyclonal Antibody to Tenascin C (TNC) | WB; IHC; ICC. |
| SEB975Ra | ELISA Kit for Tenascin C (TNC) | Enzyme-linked immunosorbent assay for Antigen Detection. |
| LMB975Ra | Multiplex Assay Kit for Tenascin C (TNC) ,etc. by FLIA (Flow Luminescence Immunoassay) | FLIA Kit for Antigen Detection. |

