Polyclonal Antibody to Complement Factor B (CFB)
CF-B; BF; BFD; CFAB; GBG; H2-Bf; PBF2; B-Factor; Properdin; Properdin factor B; C3/C5 convertase; Glycine-rich beta glycoprotein
- Product No.PAC011Si01
- Organism SpeciesRhesus monkey (Simian) Same name, Different species.
- SourcePolyclonal antibody preparation
- HostRabbit
- Potencyn/a
- Ig Type IgG
- PurificationAntigen-specific affinity chromatography followed by Protein A affinity chromatography
- LabelNone
- Immunogen RPC011Si02-Recombinant Complement Factor B (CFB)
- Buffer FormulationPBS, pH7.4, containing 0.02% NaN3, 50% glycerol.
- TraitsLiquid
- Concentration0.5mg/mL
- Organism Species MoreHomo sapiens (Human), Sus scrofa; Porcine (Pig)
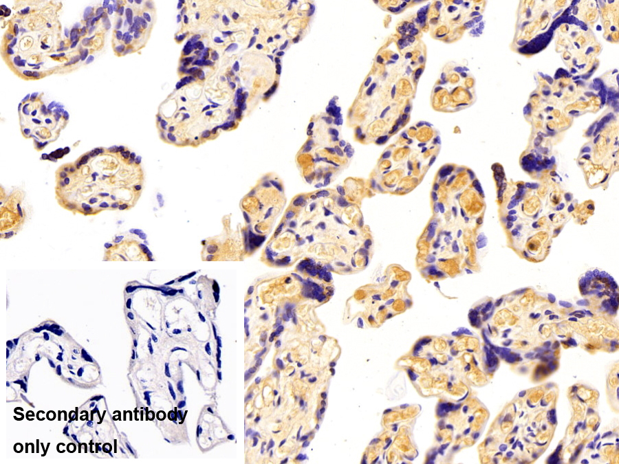
- ApplicationsWB,IHC
If the antibody is used in flow cytometry, please check FCM antibodies. - Downloadn/a
- UOM 20µl100µl 200µl 1ml 10ml
- FOB
US$ 135
US$ 315
US$ 450
US$ 1125
US$ 4500
For more details, please contact local distributors!
SPECIFITY
The antibody is a rabbit polyclonal antibody raised against CFB. It has been selected for its ability to recognize CFB in immunohistochemical staining and western blotting.
USAGE
Western blotting: 0.01-2µg/mL;
Immunohistochemistry: 5-20µg/mL;
Optimal working dilutions must be determined by end user.
STORAGE
Store at 4°C for frequent use. Stored at -20°C in a manual defrost freezer for two year without detectable loss of activity. Avoid repeated freeze-thaw cycles.
STABILITY
The thermal stability is described by the loss rate. The loss rate was determined by accelerated thermal degradation test, that is, incubate the protein at 37°C for 48h, and no obvious degradation and precipitation were observed. The loss rate is less than 5% within the expiration date under appropriate storage condition.
GIVEAWAYS
INCREMENT SERVICES
-
Antibody Labeling Customized Service
-
Protein A/G Purification Column
-
Staining Solution for Cells and Tissue
-
Positive Control for Antibody
-
Tissue/Sections Customized Service
-
Phosphorylated Antibody Customized Service
-
Western Blot (WB) Experiment Service
-
Immunohistochemistry (IHC) Experiment Service
-
Immunocytochemistry (ICC) Experiment Service
-
Flow Cytometry (FCM) Experiment Service
-
Immunoprecipitation (IP) Experiment Service
-
Immunofluorescence (IF) Experiment Service
-
Buffer
-
DAB Chromogen Kit
-
SABC Kit
-
Long-arm Biotin Labeling Kit
-
Real Time PCR Experimental Service
| Magazine | Citations |
| BMC Nephrology | Complement in patients receiving maintenance hemodialysis: functional screening and quantitative analysis BioMed: 14712369 |
| J. Proteome Res. | Identification and Confirmation of Differentially Expressed Fucosylated Glycoproteins in the Serum of Ovarian Cancer Patients Using a Lectin Array and LC–MS/MS ACS: pr300330z |
| Pediatr Int | Atypical hemolytic uremic syndrome: Korean pediatric series PubMed: 25443527 |
| Journal of Neuroimmunology | Acute and prolonged complement activation in the central nervous system during herpes simplex encephalitis Pubmed:27235358 |
| Biochemical and Biophysical Research Communications | Adipose tissue complement factor B promotes adipocyte maturation. pubmed:29137982 |
| Journal of proteome research | Serum exosomes from newborn piglets restrict porcine epidemic diarrhea virus infection |
| journal of human genetics | Identification of susceptibility locus shared by IgA nephropathy and inflammatory bowel disease in a Chinese Han population Pubmed: 31857673 |
| Nephrol Dial Transplant | Association between thrombotic microangiopathy and activated alternative complement pathway in malignant nephrosclerosis 33367879 |
| JOURNAL OF GENERAL VIROLOGY | Changes in complement alternative pathway components, factor B and factor H during dengue virus infection in the AG129 mouse 33410734 |
| J Proteome Res | Early Diagnostic Ability of Human Complement Factor B in Pancreatic Cancer Is Partly Linked to Its Potential Tumor-Promoting Role 34766501 |
| J Clin Med | A Three-Protein Panel to Support the Diagnosis of Sepsis in Children Pubmed:35329889 |
| Catalog No. | Related products for research use of Rhesus monkey (Simian) Organism species | Applications (RESEARCH USE ONLY!) |
| RPC011Si01 | Recombinant Complement Factor B (CFB) | Positive Control; Immunogen; SDS-PAGE; WB. |
| RPC011Si02 | Recombinant Complement Factor B (CFB) | Positive Control; Immunogen; SDS-PAGE; WB. |
| APC011Si02 | Active Complement Factor B (CFB) | Cell culture; Activity Assays. |
| PAC011Si01 | Polyclonal Antibody to Complement Factor B (CFB) | WB,IHC |
| SEC011Si | ELISA Kit for Complement Factor B (CFB) | Enzyme-linked immunosorbent assay for Antigen Detection. |
| LMC011Si | Multiplex Assay Kit for Complement Factor B (CFB) ,etc. by FLIA (Flow Luminescence Immunoassay) | FLIA Kit for Antigen Detection. |
