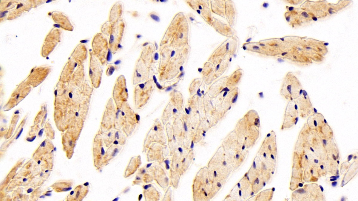
Polyclonal Antibody to Glucose Transporter 4 (GLUT4)
SLC2A4; Solute carrier family 2, facilitated glucose transporter member 4; Glucose transporter type 4, insulin-responsive
- Product No.PAC023Hu01
- Organism SpeciesHomo sapiens (Human) Same name, Different species.
- SourcePolyclonal antibody preparation
- HostRabbit
- Potencyn/a
- Ig Type IgG
- PurificationAntigen-specific affinity chromatography followed by Protein A affinity chromatography
- LabelNone
- Immunogen RPC023Hu01-Recombinant Glucose Transporter 4 (GLUT4)
- Buffer Formulation0.01M PBS, pH7.4, containing 0.05% Proclin-300, 50% glycerol.
- TraitsLiquid
- Concentration0.5mg/mL
- Organism Species MoreMus musculus (Mouse)
- ApplicationsWB; IHC
If the antibody is used in flow cytometry, please check FCM antibodies. - DownloadInstruction Manual
- UOM 20µl100µl 200µl 1ml 10ml
- FOB
US$ 105
US$ 245
US$ 350
US$ 875
US$ 3500
For more details, please contact local distributors!
SPECIFITY
The antibody is a rabbit polyclonal antibody raised against GLUT4. It has been selected for its ability to recognize GLUT4 in immunohistochemical staining and western blotting.
USAGE
Western blotting: 0.01-2µg/mL;
Immunohistochemistry: 5-20µg/mL;
Immunocytochemistry: 5-20µg/mL;
Optimal working dilutions must be determined by end user.
STORAGE
Store at 4°C for frequent use. Stored at -20°C in a manual defrost freezer for two year without detectable loss of activity. Avoid repeated freeze-thaw cycles.
STABILITY
The thermal stability is described by the loss rate. The loss rate was determined by accelerated thermal degradation test, that is, incubate the protein at 37°C for 48h, and no obvious degradation and precipitation were observed. The loss rate is less than 5% within the expiration date under appropriate storage condition.
GIVEAWAYS
INCREMENT SERVICES
-
Antibody Labeling Customized Service
-
Protein A/G Purification Column
-
Staining Solution for Cells and Tissue
-
Positive Control for Antibody
-
Tissue/Sections Customized Service
-
Phosphorylated Antibody Customized Service
-
Western Blot (WB) Experiment Service
-
Immunohistochemistry (IHC) Experiment Service
-
Immunocytochemistry (ICC) Experiment Service
-
Flow Cytometry (FCM) Experiment Service
-
Immunoprecipitation (IP) Experiment Service
-
Immunofluorescence (IF) Experiment Service
-
Buffer
-
DAB Chromogen Kit
-
SABC Kit
-
Long-arm Biotin Labeling Kit
-
Real Time PCR Experimental Service
| Magazine | Citations |
| Polar Record | Glucose transporter-4 in white blood cells of young and old sled dogs: a model for human biomarker development Cambridge: Source |
| The International Journal of Biochemistry & Cell Biology | Conditioning causes an increase in glucose transporter-4 levels in mononuclear cells in sled dogs Pubmed:25236492 |
| Psychoneuroendocrinology | Maternal stress predicts altered biogenesis and the profile of mitochondrial proteins in the frontal cortex and hippocampus of adult offspring rats PubMed: 26143539 |
| PLOS ONE | Antidiabetic Effect of Galantamine: Novel Effect for a Known Centrally Acting Drug PubMed: 26262991 |
| American Journal of Animal and Veterinary Sciences | Metabolic Features of Heart Failure with Different Etiology ofsp11075 |
| Journal of Pharmaceutical Negative Results | Hibiscus sabdariffa linn fruits methanolic extract and fractions mediated glucose uptake stimulation and glucose transporter 4 regulation Doi: 10.4103/jpnr.JPNR_14_18 |
| eureka herba indonesia | Effect of Noni Fruit Extract (Morinda citrifolia) on Glucose Intake to Diabetes Mellitus White Rat Muscle Tissue |
| eureka herba indonesia | The Effects of Sambiloto Leaf Extract (Andrographis peniculata) on Blood Sugar Regulation: an In Vivo Study |
| eureka herba indonesia | Effect of Bay Leaf Extract (Syzygium polyanthum) on Blood Sugar Regulation via GLUT4 Protein Regulation in White Rat Muscle Tissue Induced Aloxan |
| Eureka Herba Indonesia | Potential Combination of Tinospora crispa, Andrographis paniculata, Cinamomum burmanii, Syzygium polyanthum and Momordica charantia Extracts Against?¡ |
| Catalog No. | Related products for research use of Homo sapiens (Human) Organism species | Applications (RESEARCH USE ONLY!) |
| RPC023Hu01 | Recombinant Glucose Transporter 4 (GLUT4) | Positive Control; Immunogen; SDS-PAGE; WB. |
| PAC023Hu01 | Polyclonal Antibody to Glucose Transporter 4 (GLUT4) | WB; IHC |
| MAC023Hu22 | Monoclonal Antibody to Glucose Transporter 4 (GLUT4) | WB; IHC; ICC; IP. |
| SEC023Hu | ELISA Kit for Glucose Transporter 4 (GLUT4) | Enzyme-linked immunosorbent assay for Antigen Detection. |
| LMC023Hu | Multiplex Assay Kit for Glucose Transporter 4 (GLUT4) ,etc. by FLIA (Flow Luminescence Immunoassay) | FLIA Kit for Antigen Detection. |
| KSC023Hu01 | ELISA Kit DIY Materials for Glucose Transporter 4 (GLUT4) | Main materials for "Do It(ELISA Kit) Yourself" |

