Polyclonal Antibody to Receptor Activator Of Nuclear Factor Kappa B (RANk)
CD265; TNFRSF11A; TNFRSF11-A; ODFR; OFE; TRANCER; Osteoclast differentiation factor receptor; Tumor Necrosis Factor Receptor Superfamily,Member 11a,NFKB Activator
- Product No.PAC057Mu01
 - Organism SpeciesMus musculus (Mouse) Same name, Different species.
 - SourcePolyclonal antibody preparation
 - HostRabbit
 - Potencyn/a
 - Ig Type IgG
 - PurificationAntigen-specific affinity chromatography followed by Protein A affinity chromatography
 - LabelNone
 - Immunogen RPC057Mu01-Recombinant Receptor Activator Of Nuclear Factor Kappa B (RANk)
 - Buffer Formulation0.01M PBS, pH7.4, containing 0.05% Proclin-300, 50% glycerol.
 - TraitsLiquid
 - Concentration500µg/mL
 - Organism Species MoreHomo sapiens (Human)
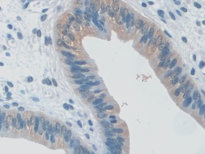
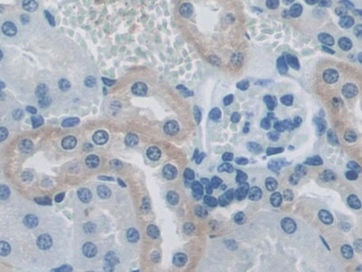
 - ApplicationsWB; IHC
If the antibody is used in flow cytometry, please check FCM antibodies. - DownloadInstruction Manual
 - UOM 20µl100µl 200µl 1ml 10ml
 - FOB
    
                                    US$ 108 
            
                
                        US$ 252 
                                        US$ 360 
                                        US$ 900 
                                        US$ 3600 
                            
For more details, please contact local distributors! 
SPECIFITY
The antibody is a rabbit polyclonal antibody raised against RANk. It has been selected for its ability to recognize RANk in immunohistochemical staining and western blotting.
USAGE
        Western blotting: 0.5-2µg/mL;
Immunohistochemistry: 5-20µg/mL;
Immunocytochemistry: 5-20µg/mL;
Optimal working dilutions must be determined by end user.    
STORAGE
Store at 4°C for frequent use. Stored at -20°C in a manual defrost freezer for two year without detectable loss of activity. Avoid repeated freeze-thaw cycles.
STABILITY
The thermal stability is described by the loss rate. The loss rate was determined by accelerated thermal degradation test, that is, incubate the protein at 37°C for 48h, and no obvious degradation and precipitation were observed. The loss rate is less than 5% within the expiration date under appropriate storage condition.
GIVEAWAYS
INCREMENT SERVICES
- 
                    
                        Antibody Labeling Customized Service
                                     - 
                    
                        Protein A/G Purification Column
                                     - 
                    
                        Staining Solution for Cells and Tissue
                                     - 
                    
                        Positive Control  for Antibody
                                     - 
                    
                        Tissue/Sections Customized Service
                                     - 
                    
                        Phosphorylated Antibody Customized Service
                                     - 
                    
                        Western Blot (WB) Experiment Service
                                     - 
                    
                        Immunohistochemistry (IHC) Experiment Service
                                     - 
                    
                        Immunocytochemistry (ICC) Experiment Service
                                     - 
                    
                        Flow Cytometry (FCM) Experiment Service
                                     - 
                    
                        Immunoprecipitation (IP) Experiment Service
                                     - 
                    
                        Immunofluorescence (IF) Experiment Service
                                     - 
                    
                        Buffer
                                     - 
                    
                        DAB Chromogen Kit
                                     - 
                    
                        SABC Kit
                                     - 
                    
                        Long-arm Biotin Labeling Kit
                                     - 
                    
                        Real Time PCR Experimental Service
                                     
| Magazine | Citations | 
| European Journal of Immunology | Human polymorphonuclear neutrophils express the receptor activator of NFκB (RANK) and are activated by its ligand RANKL Wiley: source | 
| International Journal of Cardiology | Valvular osteoclasts in calcification and aortic valve stenosis severity PubMed: 23452891 | 
| Bulletin of Experimental Biology and Medicine | Receptor Activator of Nuclear Transcription Factor NF-κB(RANK), Its Ligand RANKL, and Natural Inhibitor of RANKL Osteoprotegerin (OPG) in the Blood Serum of Patients with Primary Bone Tumors DOI:110.1007/s10517-017-3832-9 | 
| BIOSCIENCE REPORTS | IL-38 restrains inflammatory response of collagen-induced arthritis in rats via SIRT1/HIF-1α signaling pathway Pubmed: 32347300 | 
| Catalog No. | Related products for research use of Mus musculus (Mouse) Organism species | Applications (RESEARCH USE ONLY!) | 
| RPC057Mu01 | Recombinant Receptor Activator Of Nuclear Factor Kappa B (RANk) | Positive Control; Immunogen; SDS-PAGE; WB. | 
| PAC057Mu01 | Polyclonal Antibody to Receptor Activator Of Nuclear Factor Kappa B (RANk) | WB; IHC | 
        
                            
                            
                            
                            
                            
                            
                            
                            
