Polyclonal Antibody to Aromatase (ARO)
CYP19A1; CYPXIX; ARO; ARO1; CPV1; CYAR; CYP19; P450AROM; P450-AROM; Estrogen synthase; Cytochrome P450,Family 19,Subfamily A,Polypeptide 1
- Product No.PAC319Hu01
- Organism SpeciesHomo sapiens (Human) Same name, Different species.
- SourcePolyclonal antibody preparation
- HostRabbit
- Potencyn/a
- Ig Type IgG
- PurificationAntigen-specific affinity chromatography followed by Protein A affinity chromatography
- LabelNone
- Immunogen RPC319Hu01-Recombinant Aromatase (ARO)
- Buffer Formulation0.01M PBS, pH7.4, containing 0.05% Proclin-300, 50% glycerol.
- TraitsLiquid
- Concentration0.26mg/mL
- Organism Species MoreMus musculus (Mouse), Sus scrofa; Porcine (Pig)
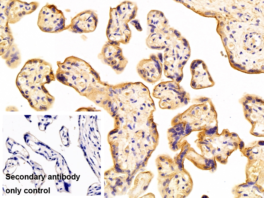
- ApplicationsWB; IHC
If the antibody is used in flow cytometry, please check FCM antibodies. - DownloadInstruction Manual
- UOM 20µl100µl 200µl 1ml 10ml
- FOB
US$ 105
US$ 245
US$ 350
US$ 875
US$ 3500
For more details, please contact local distributors!
SPECIFITY
The antibody is a rabbit polyclonal antibody raised against ARO. It has been selected for its ability to recognize ARO in immunohistochemical staining and western blotting.
USAGE
Western blotting: 0.01-2µg/mL;
Immunohistochemistry: 5-20µg/mL;
Immunocytochemistry: 5-20µg/mL;
Optimal working dilutions must be determined by end user.
STORAGE
Store at 4°C for frequent use. Stored at -20°C in a manual defrost freezer for two year without detectable loss of activity. Avoid repeated freeze-thaw cycles.
STABILITY
The thermal stability is described by the loss rate. The loss rate was determined by accelerated thermal degradation test, that is, incubate the protein at 37°C for 48h, and no obvious degradation and precipitation were observed. The loss rate is less than 5% within the expiration date under appropriate storage condition.
GIVEAWAYS
INCREMENT SERVICES
-
Antibody Labeling Customized Service
-
Protein A/G Purification Column
-
Staining Solution for Cells and Tissue
-
Positive Control for Antibody
-
Tissue/Sections Customized Service
-
Phosphorylated Antibody Customized Service
-
Western Blot (WB) Experiment Service
-
Immunohistochemistry (IHC) Experiment Service
-
Immunocytochemistry (ICC) Experiment Service
-
Flow Cytometry (FCM) Experiment Service
-
Immunoprecipitation (IP) Experiment Service
-
Immunofluorescence (IF) Experiment Service
-
Buffer
-
DAB Chromogen Kit
-
SABC Kit
-
Long-arm Biotin Labeling Kit
-
Real Time PCR Experimental Service
| Magazine | Citations |
| Neuroendocrinology | Neonatal Testosterone Exposure Protects Adult Male Rats from Stroke Karger: 343804 |
| Iosr Journal Of Pharmacy | Effects of Pomegranate Seed Oil and Tamoxifen on Mastectomy Breast Cancer Women Iosrphr: Source |
| PLoS One. | Estrogen receptor 1 gene expression and its combination with estrogen receptor 2 or aromatase expression predicts survival in non-small cell lung cancer. Pubmed:25310221 |
| Gastroenterology Research | Increased Expression of Pyloric ERβ Is Associated With Diabetic Gastroparesis in Streptozotocin-Induced Male Diabetic Rats Gastrores:701 |
| The Journal of Steroid Biochemistry and Molecular Biology | Modifications of Western-type diet regarding protein, fat and sucrose levels as modulators of steroid metabolism and activity in liver pubmed:27471150 |
| bioorganic chemistry | 2-Anilinopyrimidine derivatives: Design, synthesis, in vitro anti-proliferative activity, EGFR and ARO inhibitory activity, cell cycle analysis and molecular docking study Pubmed: 32247112 |
| Curr Oncol | Plasma Aromatase Activity Index, Gonadotropins and Estrone Are Associated with Frailty Syndrome in Post-Menopausal Women with Breast Cancer Pubmed:35323344 |
| Catalog No. | Related products for research use of Homo sapiens (Human) Organism species | Applications (RESEARCH USE ONLY!) |
| RPC319Hu01 | Recombinant Aromatase (ARO) | Positive Control; Immunogen; SDS-PAGE; WB. |
| PAC319Hu01 | Polyclonal Antibody to Aromatase (ARO) | WB; IHC |
| MAC319Hu22 | Monoclonal Antibody to Aromatase (ARO) | WB; IHC; ICC; IP. |
| SEC319Hu | ELISA Kit for Aromatase (ARO) | Enzyme-linked immunosorbent assay for Antigen Detection. |
| AEC319Hu | ELISA Kit for Anti-Aromatase Antibody (Anti-ARO) | Enzyme-linked immunosorbent assay for Antibody Detection. |
| LMC319Hu | Multiplex Assay Kit for Aromatase (ARO) ,etc. by FLIA (Flow Luminescence Immunoassay) | FLIA Kit for Antigen Detection. |

