Polyclonal Antibody to Bcl2 Associated Death Promoter (BAD)
BBC2; BCL2L8; BCL2-Antagonist Of Cell Death; Bcl-2-binding component 6; Bcl-2-like protein 8; Bcl-xL/Bcl-2-associated death promoter; Bcl2 antagonist of cell death
- Product No.PAC337Hu01
- Organism SpeciesHomo sapiens (Human) Same name, Different species.
- SourcePolyclonal antibody preparation
- HostRabbit
- Potencyn/a
- Ig Type IgG
- PurificationAntigen-specific affinity chromatography followed by Protein A affinity chromatography
- LabelNone
- Immunogen RPC337Hu01-Recombinant Bcl2 Associated Death Promoter (BAD)
- Buffer FormulationPBS, pH7.4, containing 0.02% NaN3, 50% glycerol.
- TraitsLiquid
- Concentration0.28mg/ml
- Organism Species Moren/a
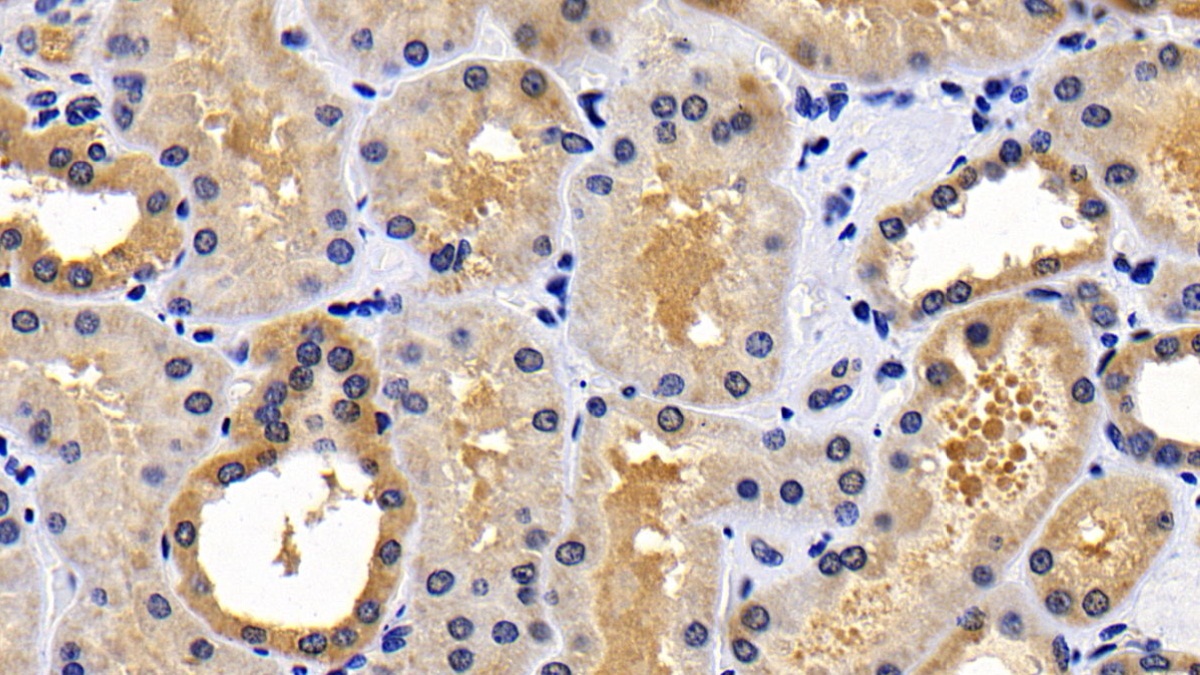
- ApplicationsWB; IHC
If the antibody is used in flow cytometry, please check FCM antibodies. - DownloadInstruction Manual
- UOM 20µl100µl 200µl 1ml 10ml
- FOB
US$ 105
US$ 245
US$ 350
US$ 875
US$ 3500
For more details, please contact local distributors!
SPECIFITY
The antibody is a rabbit polyclonal antibody raised against BAD. It has been selected for its ability to recognize BAD in immunohistochemical staining and western blotting.
USAGE
Western blotting: 0.01-2µg/mL;
Immunohistochemistry: 5-20µg/mL;
Immunocytochemistry: 5-20µg/mL;
Optimal working dilutions must be determined by end user.
STORAGE
Store at 4°C for frequent use. Stored at -20°C in a manual defrost freezer for two year without detectable loss of activity. Avoid repeated freeze-thaw cycles.
STABILITY
The thermal stability is described by the loss rate. The loss rate was determined by accelerated thermal degradation test, that is, incubate the protein at 37°C for 48h, and no obvious degradation and precipitation were observed. The loss rate is less than 5% within the expiration date under appropriate storage condition.
GIVEAWAYS
INCREMENT SERVICES
-
Antibody Labeling Customized Service
-
Protein A/G Purification Column
-
Staining Solution for Cells and Tissue
-
Positive Control for Antibody
-
Tissue/Sections Customized Service
-
Phosphorylated Antibody Customized Service
-
Western Blot (WB) Experiment Service
-
Immunohistochemistry (IHC) Experiment Service
-
Immunocytochemistry (ICC) Experiment Service
-
Flow Cytometry (FCM) Experiment Service
-
Immunoprecipitation (IP) Experiment Service
-
Immunofluorescence (IF) Experiment Service
-
Buffer
-
DAB Chromogen Kit
-
SABC Kit
-
Long-arm Biotin Labeling Kit
-
Real Time PCR Experimental Service
| Catalog No. | Related products for research use of Homo sapiens (Human) Organism species | Applications (RESEARCH USE ONLY!) |
| RPC337Hu04 | Recombinant Bcl2 Associated Death Promoter (BAD) | Positive Control; Immunogen; SDS-PAGE; WB. |
| RPC337Hu01 | Recombinant Bcl2 Associated Death Promoter (BAD) | Positive Control; Immunogen; SDS-PAGE; WB. |
| RPC337Hu02 | Recombinant Bcl2 Associated Death Promoter (BAD) | Positive Control; Immunogen; SDS-PAGE; WB. |
| RPC337Hu03 | Recombinant Bcl2 Associated Death Promoter (BAD) | Positive Control; Immunogen; SDS-PAGE; WB. |
| PAC337Hu01 | Polyclonal Antibody to Bcl2 Associated Death Promoter (BAD) | WB; IHC |
| SEC337Hu | ELISA Kit for Bcl2 Associated Death Promoter (BAD) | Enzyme-linked immunosorbent assay for Antigen Detection. |
| LMC337Hu | Multiplex Assay Kit for Bcl2 Associated Death Promoter (BAD) ,etc. by FLIA (Flow Luminescence Immunoassay) | FLIA Kit for Antigen Detection. |

