Polyclonal Antibody to Heat Shock 70kDa Protein 5 (HSPA5)
MIF2; BIP; GRP78; Immunoglobulin heavy chain-binding protein; Glucose Regulated Protein 78; Binding Immunoglobulin Protein; Endoplasmic reticulum lumenal Ca binding grp78
- Product No.PAC343Mu01
- Organism SpeciesMus musculus (Mouse) Same name, Different species.
- SourcePolyclonal antibody preparation
- HostRabbit
- Potencyn/a
- Ig Type IgG
- PurificationAntigen-specific affinity chromatography followed by Protein A affinity chromatography
- LabelNone
- Immunogen RPC343Mu01-Recombinant Heat Shock 70kDa Protein 5 (HSPA5)
- Buffer Formulation0.01M PBS, pH7.4, containing 0.05% Proclin-300, 50% glycerol.
- TraitsLiquid
- Concentration0.26mg/mL
- Organism Species MoreHomo sapiens (Human)
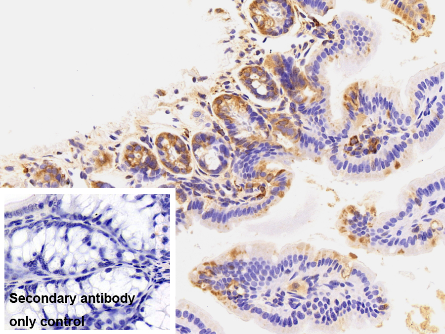
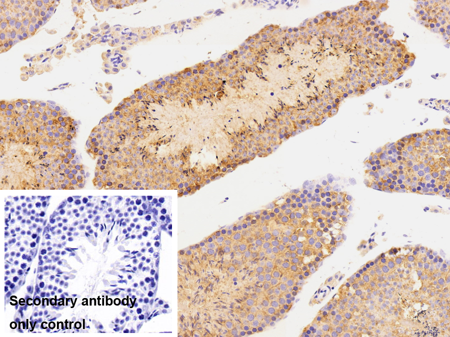
- ApplicationsWB; IHC
If the antibody is used in flow cytometry, please check FCM antibodies. - DownloadInstruction Manual
- UOM 20µl100µl 200µl 1ml 10ml
- FOB
US$ 108
US$ 252
US$ 360
US$ 900
US$ 3600
For more details, please contact local distributors!
SPECIFITY
The antibody is a rabbit polyclonal antibody raised against HSPA5. It has been selected for its ability to recognize HSPA5 in immunohistochemical staining and western blotting.
USAGE
Western blotting: 0.01-3µg/mL;
Immunohistochemistry: 5-30µg/mL;
Optimal working dilutions must be determined by end user.
STORAGE
Store at 4°C for frequent use. Stored at -20°C in a manual defrost freezer for two year without detectable loss of activity. Avoid repeated freeze-thaw cycles.
STABILITY
The thermal stability is described by the loss rate. The loss rate was determined by accelerated thermal degradation test, that is, incubate the protein at 37°C for 48h, and no obvious degradation and precipitation were observed. The loss rate is less than 5% within the expiration date under appropriate storage condition.
GIVEAWAYS
INCREMENT SERVICES
-
Antibody Labeling Customized Service
-
Protein A/G Purification Column
-
Staining Solution for Cells and Tissue
-
Positive Control for Antibody
-
Tissue/Sections Customized Service
-
Phosphorylated Antibody Customized Service
-
Western Blot (WB) Experiment Service
-
Immunohistochemistry (IHC) Experiment Service
-
Immunocytochemistry (ICC) Experiment Service
-
Flow Cytometry (FCM) Experiment Service
-
Immunoprecipitation (IP) Experiment Service
-
Immunofluorescence (IF) Experiment Service
-
Buffer
-
DAB Chromogen Kit
-
SABC Kit
-
Long-arm Biotin Labeling Kit
-
Real Time PCR Experimental Service
| Magazine | Citations |
| 41 | Deficiency of Rac1 Blocks NADPH Oxidase Activation, Inhibits Endoplasmic Reticulum Stress, and Reduces Myocardial Remodeling in a Mouse Model of Type 1 Diabetes. PubMed: 20522592 |
| pharmacological research | Neuroprotection in non-transgenic and transgenic mouse models of Alzheimer's disease by positive modulation of σ1 receptors Pubmed: 31048034 |
| EPILEPSY & BEHAVIOR | Fenfluramine acts as a positive modulator of sigma-1 receptors Pubmed: 32169824 |
| Journal of Oncology | Using Serological Proteome Analysis to Identify and Evaluate Anti-GRP78 Autoantibody as Biomarker in the Detection of Gastric Cancer 33381181 |
| Heliyon | Glucose-regulated protein 78 (GRP78) in renal cell carcinoma: A novel biomarker for predicting tumor behavior |
| Medicine (Baltimore) | Levels of circulating GRP78 and CHOP in endoplasmic reticulum stress pathways in Chinese type 2 diabetic kidney disease patients 34414940 |

