Polyclonal Antibody to Urocortin 2 (UCN2)
URP; SRP; UCN-II; UCNII; Stresscopin-Related Peptide; Urocortin-related peptide
- Product No.PAC585Hu01
- Organism SpeciesHomo sapiens (Human) Same name, Different species.
- SourcePolyclonal antibody preparation
- HostRabbit
- Potencyn/a
- Ig Type IgG
- PurificationAntigen-specific affinity chromatography followed by Protein A affinity chromatography
- LabelNone
- Immunogen RPC585Hu01-Recombinant Urocortin 2 (UCN2)
- Buffer Formulation0.01M PBS, pH7.4, containing 0.05% Proclin-300, 50% glycerol.
- TraitsLiquid
- Concentration0.5mg/mL
- Organism Species MoreRattus norvegicus (Rat), Sus scrofa; Porcine (Pig), Bos taurus; Bovine (Cattle)
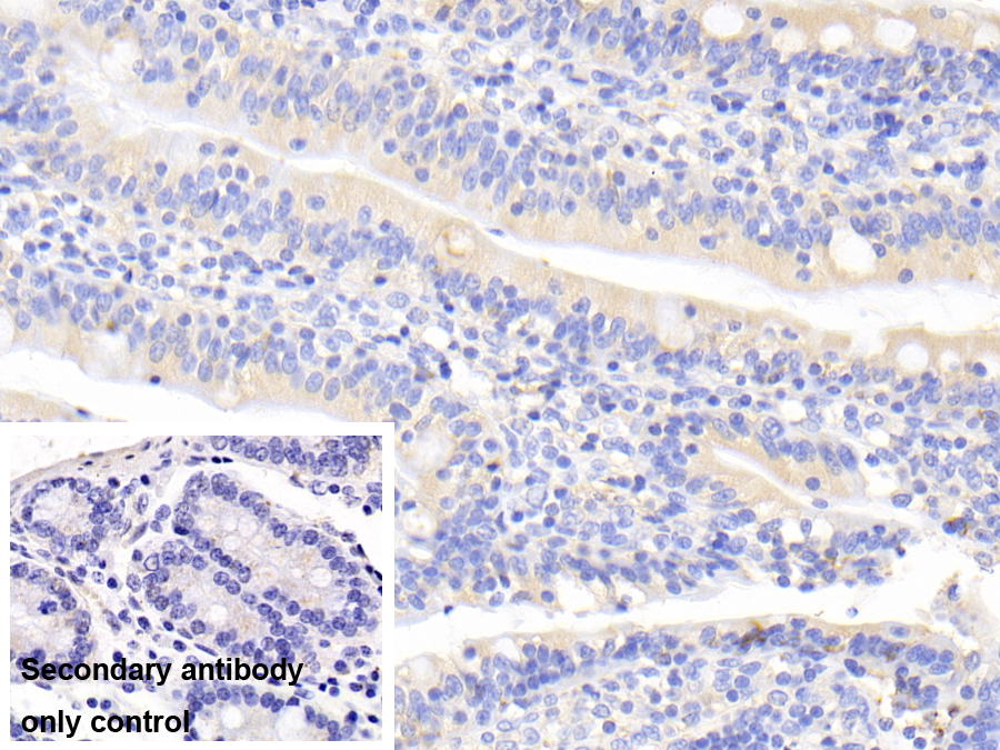
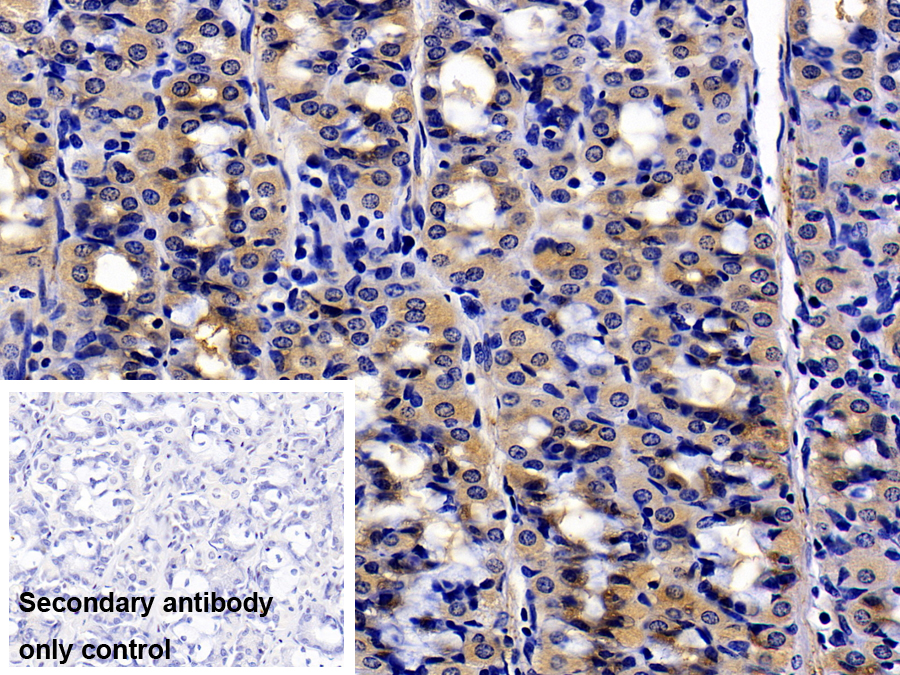
- ApplicationsWB; IHC
If the antibody is used in flow cytometry, please check FCM antibodies. - DownloadInstruction Manual
- UOM 20µl100µl 200µl 1ml 10ml
- FOB
US$ 105
US$ 245
US$ 350
US$ 875
US$ 3500
For more details, please contact local distributors!
SPECIFITY
The antibody is a rabbit polyclonal antibody raised against UCN2. It has been selected for its ability to recognize UCN2 in immunohistochemical staining and western blotting.
USAGE
Western blotting: 0.01-2µg/mL;
Immunohistochemistry: 5-20µg/mL;
Optimal working dilutions must be determined by end user.
STORAGE
Store at 4°C for frequent use. Stored at -20°C in a manual defrost freezer for two year without detectable loss of activity. Avoid repeated freeze-thaw cycles.
STABILITY
The thermal stability is described by the loss rate. The loss rate was determined by accelerated thermal degradation test, that is, incubate the protein at 37°C for 48h, and no obvious degradation and precipitation were observed. The loss rate is less than 5% within the expiration date under appropriate storage condition.
GIVEAWAYS
INCREMENT SERVICES
-
Antibody Labeling Customized Service
-
Protein A/G Purification Column
-
Staining Solution for Cells and Tissue
-
Positive Control for Antibody
-
Tissue/Sections Customized Service
-
Phosphorylated Antibody Customized Service
-
Western Blot (WB) Experiment Service
-
Immunohistochemistry (IHC) Experiment Service
-
Immunocytochemistry (ICC) Experiment Service
-
Flow Cytometry (FCM) Experiment Service
-
Immunoprecipitation (IP) Experiment Service
-
Immunofluorescence (IF) Experiment Service
-
Buffer
-
DAB Chromogen Kit
-
SABC Kit
-
Long-arm Biotin Labeling Kit
-
Real Time PCR Experimental Service
| Magazine | Citations |
| Clin Chem. | High-Sensitivity Sandwich ELISA for Plasma NT-proUcn2: Plasma Concentrations and Relationship to Mortality in Heart Failure. Pubmed:27127183 |
| Clinica Chimica Acta | Urocortins: Actions in health and heart failure pubmed:28887029 |
| Cardiovascular Research | Urocortin-2 improves right ventricular function and attenuates pulmonary arterial hypertension Pubmed:29584808 |
| Journal of Neuroendocrinology | Glucocorticoid withdrawal affects stress‐induced changes in urocortin 2 gene expression in the rat adrenal medulla and brain Pubmed:29604138 |
| High Blood Press Cardiovasc Prev | Evaluation of Serum Urocortin 2 Levels in Patients with Hypertension Pubmed: 31925709 |
| CURRENT PROBLEMS IN CARDIOLOGY | Urocortin-2 in acute heart failure: role as a marker of volume overload and pulmonary hypertension 33994037 |

