Polyclonal Antibody to Mitochondrial Uncoupling Protein 2 (UCP2)
SLC25A8; UCPH; Solute carrier family 25 member 8 ;Uncoupling Protein 2, Mitochondrial
- Product No.PAC586Hu01
 - Organism SpeciesHomo sapiens (Human) Same name, Different species.
 - SourcePolyclonal antibody preparation
 - HostRabbit
 - Potencyn/a
 - Ig Type IgG
 - PurificationAntigen-specific affinity chromatography followed by Protein A affinity chromatography
 - LabelNone
 - Immunogen RPC586Hu01-Recombinant Mitochondrial Uncoupling Protein 2 (UCP2)
 - Buffer FormulationPBS, pH7.4, containing 0.02% NaN3, 50% glycerol.
 - TraitsLiquid
 - Concentration0.5mg/mL
 - Organism Species Moren/a
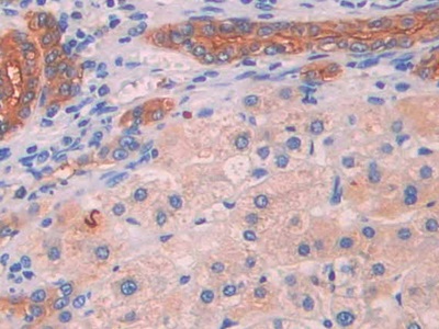
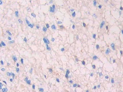
 - ApplicationsIHC
If the antibody is used in flow cytometry, please check FCM antibodies. - DownloadInstruction Manual
 - UOM 20µl100µl 200µl 1ml 10ml
 - FOB
    
                                    US$ 105 
            
                
                        US$ 245 
                                        US$ 350 
                                        US$ 875 
                                        US$ 3500 
                            
For more details, please contact local distributors! 
SPECIFITY
The antibody is a rabbit polyclonal antibody raised against UCP2. It has been selected for its ability to recognize UCP2 in immunohistochemical staining and western blotting.
USAGE
        Immunohistochemistry: 5-30µg/mL;
Optimal working dilutions must be determined by end user.    
STORAGE
Store at 4°C for frequent use. Stored at -20°C in a manual defrost freezer for two year without detectable loss of activity. Avoid repeated freeze-thaw cycles.
STABILITY
The thermal stability is described by the loss rate. The loss rate was determined by accelerated thermal degradation test, that is, incubate the protein at 37°C for 48h, and no obvious degradation and precipitation were observed. The loss rate is less than 5% within the expiration date under appropriate storage condition.
GIVEAWAYS
INCREMENT SERVICES
- 
                    
                        Antibody Labeling Customized Service
                                     - 
                    
                        Protein A/G Purification Column
                                     - 
                    
                        Staining Solution for Cells and Tissue
                                     - 
                    
                        Positive Control  for Antibody
                                     - 
                    
                        Tissue/Sections Customized Service
                                     - 
                    
                        Phosphorylated Antibody Customized Service
                                     - 
                    
                        Western Blot (WB) Experiment Service
                                     - 
                    
                        Immunohistochemistry (IHC) Experiment Service
                                     - 
                    
                        Immunocytochemistry (ICC) Experiment Service
                                     - 
                    
                        Flow Cytometry (FCM) Experiment Service
                                     - 
                    
                        Immunoprecipitation (IP) Experiment Service
                                     - 
                    
                        Immunofluorescence (IF) Experiment Service
                                     - 
                    
                        Buffer
                                     - 
                    
                        DAB Chromogen Kit
                                     - 
                    
                        SABC Kit
                                     - 
                    
                        Long-arm Biotin Labeling Kit
                                     - 
                    
                        Real Time PCR Experimental Service
                                     
| Magazine | Citations | 
| Stem Cells | FM19G11 Favors Spinal Cord Injury Regeneration and Stem Cell Self-Renewal by Mitochondrial Uncoupling and Glucose Metabolism Induction PubMed: 22865656 | 
| Food Research International | A 4-week consumption of medium roast and dark roast coffees affects parameters of energy status in healthy subjects Sciencedirect:S0963996914002403 | 
| The Journal of Maternal-Fetal & Neonatal Medicine | The effect of delivery type on uncoupling protein-2 levels PubMed: 26479203 | 
| Life Sciences | Vitamin C and E chronic supplementation differentially affect hepatic insulin signaling in rats Pubmed:29291420 | 
| REPRODUCTIVE TOXICOLOGY | Dose-dependent reproductive toxicity of sodium benzoate in male rats: Inflammation, oxidative stress and apoptosis Pubmed: 32911041 | 
| Tissue Cell | Vitamin B12 ameliorate Tramadol-induced oxidative stress, endocrine imbalance, apoptosis and NO/iNOS/NF-κB expression in Sprague Dawley through regulatory … 34923198 | 
| Catalog No. | Related products for research use of Homo sapiens (Human) Organism species | Applications (RESEARCH USE ONLY!) | 
| RPC586Hu01 | Recombinant Mitochondrial Uncoupling Protein 2 (UCP2) | Positive Control; Immunogen; SDS-PAGE; WB. | 
| PAC586Hu01 | Polyclonal Antibody to Mitochondrial Uncoupling Protein 2 (UCP2) | IHC | 
| LAC586Hu71 | Biotin-Linked Polyclonal Antibody to Mitochondrial Uncoupling Protein 2 (UCP2) | IHC | 
| MAC586Hu22 | Monoclonal Antibody to Mitochondrial Uncoupling Protein 2 (UCP2) | WB; IHC | 
| MAC586Hu21 | Monoclonal Antibody to Mitochondrial Uncoupling Protein 2 (UCP2) | IHC | 
| SEC586Hu | ELISA Kit for Mitochondrial Uncoupling Protein 2 (UCP2) | Enzyme-linked immunosorbent assay for Antigen Detection. | 
| LMC586Hu | Multiplex Assay Kit for Mitochondrial Uncoupling Protein 2 (UCP2) ,etc. by FLIA (Flow Luminescence Immunoassay) | FLIA Kit for Antigen Detection. | 
        
                            
                            
                            
                            
                            
                            
                            
