- KO-Validated
Polyclonal Antibody to X-linked Inhibitor Of Apoptosis Protein (XIAP)
BIRC4; API3; ILP1; MIHA; XLP2; Baculoviral IAP Repeat-Containing 4; E3 ubiquitin-protein ligase XIAP; IAP-like; Inhibitor of apoptosis protein 3; Inhibitor Of Apoptosis Protein, X-Linked
- Product No.PAC606Hu01
- Organism SpeciesHomo sapiens (Human) Same name, Different species.
- SourcePolyclonal antibody preparation
- HostRabbit
- Potencyn/a
- Ig Type IgG
- PurificationAntigen-specific affinity chromatography followed by Protein A affinity chromatography
- LabelNone
- Immunogen RPC606Hu01-Recombinant X-linked Inhibitor Of Apoptosis Protein (XIAP)
- Buffer Formulation0.01M PBS, pH7.4, containing 0.05% Proclin-300, 50% glycerol.
- TraitsLiquid
- Concentration0.5mg/mL
- Organism Species MoreSus scrofa; Porcine (Pig)
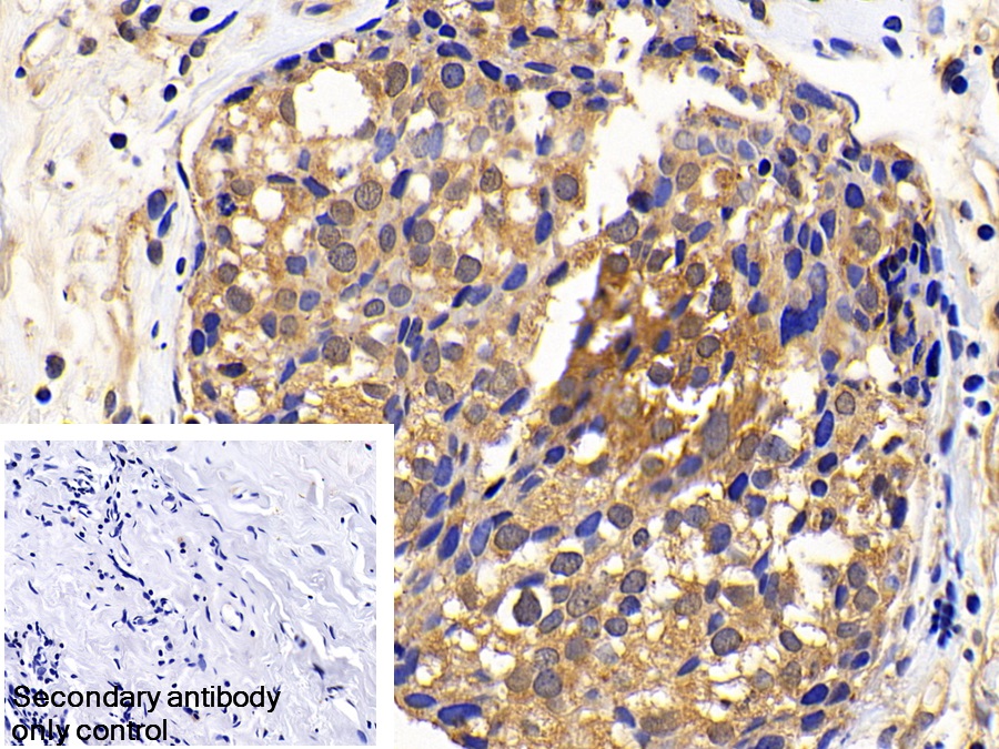
- ApplicationsWB; IHC; ICC/IF
If the antibody is used in flow cytometry, please check FCM antibodies. - DownloadInstruction Manual
- UOM 20µl100µl 200µl 1ml 10ml
- FOB
US$ 105
US$ 245
US$ 350
US$ 875
US$ 3500
For more details, please contact local distributors!
SPECIFITY
The antibody is a rabbit polyclonal antibody raised against XIAP. It has been selected for its ability to recognize XIAP in immunohistochemical staining and western blotting.
USAGE
Western blotting: 0.01-3µg/mL;
Immunohistochemistry: 2-30µg/mL;
Immunocytochemistry: 2-30µg/mL;
Optimal working dilutions must be determined by end user.
STORAGE
Store at 4°C for frequent use. Stored at -20°C in a manual defrost freezer for two year without detectable loss of activity. Avoid repeated freeze-thaw cycles.
STABILITY
The thermal stability is described by the loss rate. The loss rate was determined by accelerated thermal degradation test, that is, incubate the protein at 37°C for 48h, and no obvious degradation and precipitation were observed. The loss rate is less than 5% within the expiration date under appropriate storage condition.
GIVEAWAYS
INCREMENT SERVICES
-
Antibody Labeling Customized Service
-
Protein A/G Purification Column
-
Staining Solution for Cells and Tissue
-
Positive Control for Antibody
-
Tissue/Sections Customized Service
-
Phosphorylated Antibody Customized Service
-
Western Blot (WB) Experiment Service
-
Immunohistochemistry (IHC) Experiment Service
-
Immunocytochemistry (ICC) Experiment Service
-
Flow Cytometry (FCM) Experiment Service
-
Immunoprecipitation (IP) Experiment Service
-
Immunofluorescence (IF) Experiment Service
-
Buffer
-
DAB Chromogen Kit
-
SABC Kit
-
Long-arm Biotin Labeling Kit
-
Real Time PCR Experimental Service
| Magazine | Citations |
| Thromb Haemost | Distinctive expression signatures of serum microRNAs in ischaemic stroke and transient ischaemic attack patients pubmed:28251236 |
| Catalog No. | Related products for research use of Homo sapiens (Human) Organism species | Applications (RESEARCH USE ONLY!) |
| RPC606Hu01 | Recombinant X-linked Inhibitor Of Apoptosis Protein (XIAP) | Positive Control; Immunogen; SDS-PAGE; WB. |
| PAC606Hu01 | Polyclonal Antibody to X-linked Inhibitor Of Apoptosis Protein (XIAP) | WB; IHC; ICC/IF |
| MAC606Hu22 | Monoclonal Antibody to X-linked Inhibitor Of Apoptosis Protein (XIAP) | WB; IHC; ICC; IP. |
| SEC606Hu | ELISA Kit for X-linked Inhibitor Of Apoptosis Protein (XIAP) | Enzyme-linked immunosorbent assay for Antigen Detection. |
| SCC606Hu | CLIA Kit for X-linked Inhibitor Of Apoptosis Protein (XIAP) | Chemiluminescent immunoassay for Antigen Detection. |
| LMC606Hu | Multiplex Assay Kit for X-linked Inhibitor Of Apoptosis Protein (XIAP) ,etc. by FLIA (Flow Luminescence Immunoassay) | FLIA Kit for Antigen Detection. |

