Polyclonal Antibody to Transmembrane Protease, Serine 2 (TMPRSS2)
PRSS10; Serine protease 10
- Product No.PAC795Hu01
- Organism SpeciesHomo sapiens (Human) Same name, Different species.
- SourcePolyclonal antibody preparation
- HostRabbit
- Potencyn/a
- Ig Type IgG
- PurificationAntigen-specific affinity chromatography followed by Protein A affinity chromatography
- LabelNone
- Immunogen RPC795Hu01-Recombinant Transmembrane Protease, Serine 2 (TMPRSS2)
- Buffer FormulationPBS, pH7.4, containing 0.02% NaN3, 50% glycerol.
- TraitsLiquid
- Concentration0.5mg/mL
- Organism Species MoreSus scrofa; Porcine (Pig)
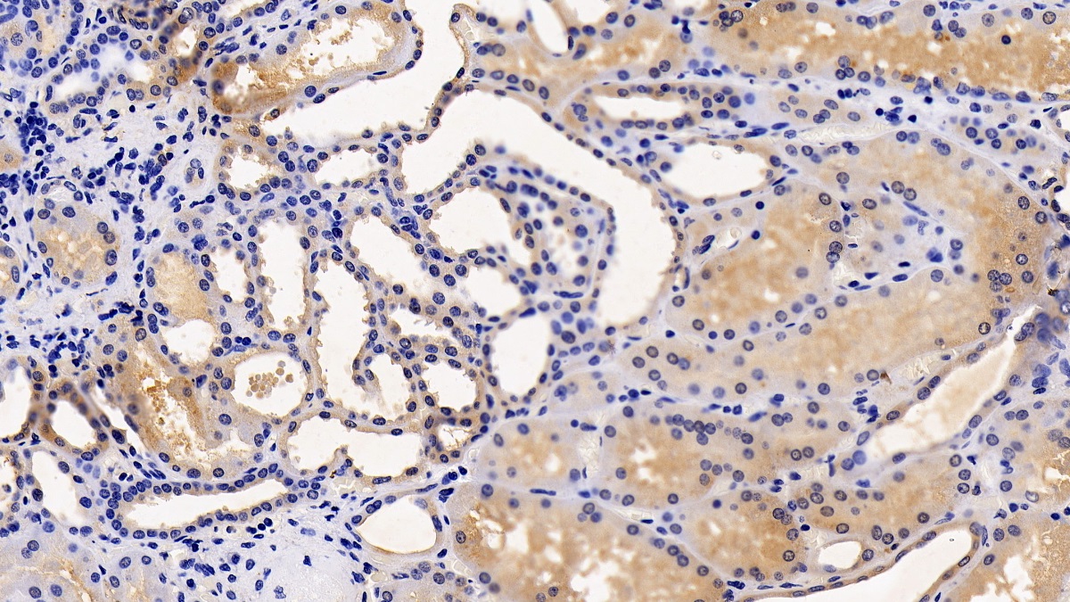
- ApplicationsWB; IHC
If the antibody is used in flow cytometry, please check FCM antibodies. - DownloadInstruction Manual
- UOM 20µl100µl 200µl 1ml 10ml
- FOB
US$ 105
US$ 245
US$ 350
US$ 875
US$ 3500
For more details, please contact local distributors!
SPECIFITY
The antibody is a rabbit polyclonal antibody raised against TMPRSS2. It has been selected for its ability to recognize TMPRSS2 in immunohistochemical staining and western blotting.
USAGE
Western blotting: 0.01-2µg/mL
Immunohistochemistry: 5-20µg/mL
Immunocytochemistry: 5-20µg/mL
Optimal working dilutions must be determined by end user.
STORAGE
Store at 4°C for frequent use. Stored at -20°C in a manual defrost freezer for two year without detectable loss of activity. Avoid repeated freeze-thaw cycles.
STABILITY
The thermal stability is described by the loss rate. The loss rate was determined by accelerated thermal degradation test, that is, incubate the protein at 37°C for 48h, and no obvious degradation and precipitation were observed. The loss rate is less than 5% within the expiration date under appropriate storage condition.
GIVEAWAYS
INCREMENT SERVICES
-
Antibody Labeling Customized Service
-
Protein A/G Purification Column
-
Staining Solution for Cells and Tissue
-
Positive Control for Antibody
-
Tissue/Sections Customized Service
-
Phosphorylated Antibody Customized Service
-
Western Blot (WB) Experiment Service
-
Immunohistochemistry (IHC) Experiment Service
-
Immunocytochemistry (ICC) Experiment Service
-
Flow Cytometry (FCM) Experiment Service
-
Immunoprecipitation (IP) Experiment Service
-
Immunofluorescence (IF) Experiment Service
-
Buffer
-
DAB Chromogen Kit
-
SABC Kit
-
Long-arm Biotin Labeling Kit
-
Real Time PCR Experimental Service
| Magazine | Citations |
| the journal of the international association for the study of pain | TMPRSS2, a novel membrane-anchored mediator in cancer pain PubMed: 25734995 |
| ournal of Anatomy | ACE2 and TMPRSS2 in human saliva can adsorb to the oral mucosal epithelium 34590312 |
| J Korean Med Sci | Soluble ACE2 and TMPRSS2 Levels in the Serum of Asthmatic Patients Pubmed:35226423 |
| Catalog No. | Related products for research use of Homo sapiens (Human) Organism species | Applications (RESEARCH USE ONLY!) |
| RPC795Hu01 | Recombinant Transmembrane Protease, Serine 2 (TMPRSS2) | Positive Control; Immunogen; SDS-PAGE; WB. |
| RPC795Hu02 | Recombinant Transmembrane Protease, Serine 2 (TMPRSS2) | Positive Control; Immunogen; SDS-PAGE; WB. |
| PAC795Hu01 | Polyclonal Antibody to Transmembrane Protease, Serine 2 (TMPRSS2) | WB; IHC |
| PAC795Hu02 | Polyclonal Antibody to Transmembrane Protease, Serine 2 (TMPRSS2) | WB; IHC; ICC; IP. |
| MAC795Hu22 | Monoclonal Antibody to Transmembrane Protease, Serine 2 (TMPRSS2) | WB |
| MAC795Hu21 | Monoclonal Antibody to Transmembrane Protease, Serine 2 (TMPRSS2) | WB |
| SEC795Hu | ELISA Kit for Transmembrane Protease, Serine 2 (TMPRSS2) | Enzyme-linked immunosorbent assay for Antigen Detection. |
| LMC795Hu | Multiplex Assay Kit for Transmembrane Protease, Serine 2 (TMPRSS2) ,etc. by FLIA (Flow Luminescence Immunoassay) | FLIA Kit for Antigen Detection. |

