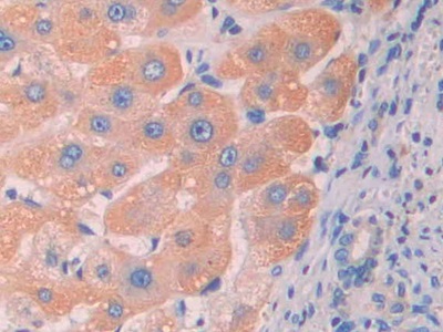
Polyclonal Antibody to Renalase (RNLS)
MAO-C; C10orf59; FAD-Dependent Amine Oxidase; Monoamine oxidase-C; alpha-NAD(P)H oxidase/anomerase
- Product No.PAC845Hu01
- Organism SpeciesHomo sapiens (Human) Same name, Different species.
- SourcePolyclonal antibody preparation
- HostRabbit
- Potencyn/a
- Ig Type IgG
- PurificationAntigen-specific affinity chromatography followed by Protein A affinity chromatography
- LabelNone
- Immunogen RPC845Hu01-Recombinant Renalase (RNLS)
- Buffer Formulation0.01M PBS, pH7.4, containing 0.05% Proclin-300, 50% glycerol.
- TraitsLiquid
- Concentration0.5mg/mL
- Organism Species Moren/a
- ApplicationsIHC
If the antibody is used in flow cytometry, please check FCM antibodies. - DownloadInstruction Manual
- UOM 20µl100µl 200µl 1ml 10ml
- FOB
US$ 105
US$ 245
US$ 350
US$ 875
US$ 3500
For more details, please contact local distributors!
SPECIFITY
The antibody is a rabbit polyclonal antibody raised against RNLS. It has been selected for its ability to recognize RNLS in immunohistochemical staining and western blotting.
USAGE
Immunohistochemistry: 5-20µg/mL;
Optimal working dilutions must be determined by end user.
STORAGE
Store at 4°C for frequent use. Stored at -20°C in a manual defrost freezer for two year without detectable loss of activity. Avoid repeated freeze-thaw cycles.
STABILITY
The thermal stability is described by the loss rate. The loss rate was determined by accelerated thermal degradation test, that is, incubate the protein at 37°C for 48h, and no obvious degradation and precipitation were observed. The loss rate is less than 5% within the expiration date under appropriate storage condition.
GIVEAWAYS
INCREMENT SERVICES
-
Antibody Labeling Customized Service
-
Protein A/G Purification Column
-
Staining Solution for Cells and Tissue
-
Positive Control for Antibody
-
Tissue/Sections Customized Service
-
Phosphorylated Antibody Customized Service
-
Western Blot (WB) Experiment Service
-
Immunohistochemistry (IHC) Experiment Service
-
Immunocytochemistry (ICC) Experiment Service
-
Flow Cytometry (FCM) Experiment Service
-
Immunoprecipitation (IP) Experiment Service
-
Immunofluorescence (IF) Experiment Service
-
Buffer
-
DAB Chromogen Kit
-
SABC Kit
-
Long-arm Biotin Labeling Kit
-
Real Time PCR Experimental Service
| Magazine | Citations |
| Pol Arch Med Wewn. | Renalase, kidney function, and markers of endothelial dysfunction in renal transplant recipients Cartelcolor: source |
| Angiology | Renalase, Stroke, and Hypertension in Hemodialyzed Patients PubMed: 22583169 |
| Peritoneal dialysis international | Renalase in peritoneal dialysis patients is not related to blood pressure, but to dialysis vintage. Pdiconnect: Source |
| Archives of Medical Science | Vascular adhesion protein-1 and renalase in regard to diabetes in hemodialysis patients PubMed: PMC3542495 |
| Renal Failure | Circulating Levels of Renalase, Norepinephrine, and Dopamine in Dialysis Patients Pubmed: 23530612 |
| Borgis - Postepy Nauk Medycznych | VAP-1 in chronic kidney disease and diabetic kidney disease Czytelniamedyczna: Source |
| Journal of Basic and Clinical Physiology and Pharmacology | The relationship between dopamine and renalase in type 2 diabetic patients with and without diabetic nephropathy Pubmed: 15365253 |
| Exp Biol Med (Maywood). | Plasma and urine renalase levels and activity during the recovery of renal function in kidney transplant recipients. Pubmed: 24599883 |
| Kidney Blood Press Res. | Renalase, a novel enzyme involved in blood pressure regulation, is related to kidney function but not to blood pressure in hemodialysis patients. Pubmed: 22539018 |
| Nephrology Dialysis Transplantation | Renalase in hypertension and kidney disease Oxfordjournals: Source |
| Lipids in Health and Disease | Markers of increased cardiovascular risk in patients with chronic kidney disease Biomedcentral:Source |
| Research & Experimental? | Plasma and urine renalase levels and activity during the recovery of renal function in kidney transplant recipients Pubmed:24599883 |
| Pediatr Nephrol | Normal values for urine renalase excretion in children Pubmed:25060760 |
| J Am Soc Hypertens. | Low plasma renalase concentration in hypertensive patients after surgical repair of coarctation of aorta Pubmed:25064768 |
| Cardiology. | Effect of salt intake and potassium supplementation on urinary renalase and serum dopamine levels in Chinese adults Pubmed:25824645 |
| J Am Soc Hypertens | Circulating renalase, catecholamines, and vascular adhesion PubMed: 26403854 |
| Indian Pediatr | Renalase levels in children with solitary functioning kidney PubMed: 26713989 |
| Oxford Journals | SP321 RENALASE, RENAL FUNCTION AND BIOMARKERS OF ENDOTHELIAL DYSFUNCTION IN CHRONIC KIDNEY DISEASE PATIENTS Content: 30 |
| journal of hypertension | PP.27.07: PREHYPERTENSIVE ALTERATIONS OF ARTERIAL AND VENOUS REACTIVITY IN A RAT POLYCYSTIC OVARY SYNDROME MODEL. EFFECTS OF PARALLEL VITAMIN D3 ADMINISTRATION Jhypertension: Abstract |
| journal of hypertension | PP.27.06: RENALASE, RENAL FUNCTION AND BIOMARKERS OF ENDOTHELIAL DYSFUNCTION IN CHRONIC KIDNEY DISEASE PATIENTS. Jhypertension: Abstract |
| journal of hypertension | PP.27.04: ENDOTHELIAL DYSFUNCTION AND ARTERIAL HYPERTENSION IN THE WORKING POPULATION (MERIDIAN STUDY). Jhypertension: Abstract |
| Curr Vasc Pharmacol. | Renalase is Removed by Kidneys and During Dialysis – Excess Related to CKD Complications? PubMed: 25515790 |
| Kidney Blood Press Res | Effects of Renin-Angiotensin System Inhibitors on Renal Expression of Renalase in Sprague-Dawley Rats Fed With High Salt Diet PubMed: 26619289 |
| PLoS One | Serum Renalase Levels Correlate with Disease Activity in Lupus Nephritis PubMed: 26431044 |
| J Hum Hypertens | Plasma renalase concentration before and after radiofrequency renal denervation in patients with resistant hypertension PubMed: 26310184 |
| Nephrology (Carlton) | Urinary renalase concentration in patients with preserved kidney function undergoing coronary angiography. pubmed:27778420 |
| Nephrol Dial Transplant | PLASMA RENALASE CONCENTRATION BEFORE AND AFTER RADIOFREQUENCY RENAL DENERVATION IN PATIENTS WITH RESISTANT HYPERTENSION: PRELIMINARY RESULTS content:31 |
| Renal Failure | Increased serum renalase in hemodialysis patients: is it related to left ventricular hypertrophy? pubmed:27416751 |
| Enhanced biocompatible and hemocompatible nano/micro porous surface as a biological scaffold for functionalizational and biointegrated implants | High-performance Liquid Chromatography Measured Metabolites of EndogenousCatecholamines and Their Relations to Chronic Kidney Disease and High Blood Pressure in Heart Transplant Recipients. pubmed:27496485 |
| PLOS ONE | Online Haemodiafiltration Improves Inflammatory State in Dialysis Patients: A Longitudinal Study. pubmed:27783636 |
| Advances in Experimental Medicine and Biology | Renalase in Children with Glomerular Kidney Diseases chapter:10.1007 |
| Kidney & Blood Pressure Research | Plasma Renalase is Not Associated with Blood Pressure and Brachial-Ankle Pulse Wave Velocity in Chinese Adults With Normal Renal Function 452587 |
| BMC nephrology | Rs10887800 renalase gene polymorphism influences the level of circulating renalase in patients undergoing hemodialysis but not in healthy controls pubmed:28372594 |
| Nefrología (English Edition) | Increased serum renalase in peritoneal dialysis patients: Is it related to cardiovascular disease risk pubmed:28160962 |
| Clinical Interventions in Aging | Age influence on renalase and catecholamines concentration in hypertensive patients, including maintained dialysis pubmed:27822026 |
| International Journal of Clinical and Experimental Medicine | Aumento de renalasa sérica en pacientes de diálisis peritoneal:¿ está relacionado con el riesgo de enfermedad cardiovascular? 10.1016:j.nefro.2016.11.013 |
| PLoS One | Relationship between microRNA-146a expression and plasma renalase levels in hemodialyzed patients pubmed:28614373 |
| Annals of Agricultural and Environmental Medicine | Levels of renalase and advanced oxidation protein products with regard to catecholamines in haemodialysed patients pubmed:28954489 |
| Angiology | Endocan Concentration in Patients With Primary Hypertension pubmed:29084442 |
| Journal of Hypertension | RENALASE PLASMA CONCENTRATION BEFORE AND AFTER RADIOFREQUENCY RENAL DENERVATION IN PATIENTS WITH RESISTANT HYPERTENSION 10.1097/01.hjh.0000523893.07419.ae |
| International journal of molecular sciences | Renalase Protects against Renal Fibrosis by Inhibiting the Activation of the ERK Signaling Pathways pubmed:28448446 |
| Journal of sports medicine and physical fitness | Transient changes in serum renalase concentration during long-distance running: The case of an amateur runner under continuous training 10.7600/jpfsm.6.159 |
| Scientific Reports | Synergistic effect of renalase and chronic kidney disease on endothelin-1 in patients with coronary artery disease‒a cross-sectional study Pubmed:29743680 |
| Life Sciences | Influence of acute exercise on renalase and its regulatory mechanism Pubmed:30056018 |
| Experimental Eye Research | Quantitative analysis of hydroxyapatite-binding plasma proteins in genotyped individuals with late-stage age-related macular degeneration Pubmed:29580721 |
| Rapid Communications in Mass Spectrometry | A new method for quantitative determination of renalase based on mass‐spectrometry determination of a proteotypic peptide labeled with stable isotopes 10.1002:rcm.8167 |
| International Urology and Nephrology | Renalase contributes to protection against renal fibrosis via inhibiting oxidative stress in rats Pubmed:29476431 |
| Pediatric Cardiology | Serum Renalase Levels in Adolescents with Primary Hypertension Pubmed:29748702 |
| Postepy w Kardiologii Interwencyjnej | Atorvastatin facilitates protection against contrast-induced nephropathy in patients undergoing coronary angiography via humoral mediators rather than … Pubmed:30008773 |
| High urinary kidney injury molecule type 1 level is associated with 12-month adverse cardiovascular events in patients with coronary artery disease publication:324522368 | |
| Journal of Clinical Medicine | Serum Renalase Levels Are Predicted by Brain-Derived Neurotrophic Factor and Associated with Cardiovascular Events and Mortality after Percutaneous Coronary … Pubmed: 30424498 |
| Archives of disease in childhood | GP23 Percutaneous closure of patent ductus arteriosus: single center experience |
| Archives of disease in childhood | GP25 Comparison of associations and outcomes of prenatally and postnatally diagnosed right aortic arch: south wales' experience |
| Archives of disease in childhood | GP24 Serum renalase levels in adolescents with primary hypertension |
| Disease Markers | Association of Plasma Renalase and Left Ventricle Mass Index in Heart Failure Patients Stratified to the Category of the Ejection Fraction: A Pilot Study Pubmed: 31737132 |
| EXPERIMENTAL BIOLOGY AND MEDICINE | The role of urinary renalase on early-stage renal damage in Chinese adults with primary hypertension Pubmed: 32102561 |
| FEBS Open Bio | Moderate‐intensity exercise increases renalase levels in the blood and skeletal muscle of rats Pubmed: 32053739 |
| current medical research and opinion | The partnership between renalase and ejection fraction as a risk factor for increased cardiac remodeling biomarkers in chronic heart failure patients Pubmed: 32297799 |
| Dovepress | Association of Serum Renalase Levels and Renalase rs10887800 Polymorphism with Unstable Angina Pectoris Patients Having Metabolic Syndrome Pubmed: 32982355 |
| 学位论文 | Nikotinamidadenindinukleotid-Blutplasmawerte sind unabhängig vom kalendarischen und vaskulären Alter in einer Normalkohorte aus der Region Halle-Saalekreis |
| Life | Circulating Renalase as Predictor of Renal and Cardiovascular Outcomes in Pre-Dialysis CKD Patients: A 5-Year Prospective Cohort Study 33800219 |
| Edited by: Background: Renalase has been implicated in chronic heart failure (CHF); however, nothing is known about renalase discriminatory ability and prognostic … |
| Catalog No. | Related products for research use of Homo sapiens (Human) Organism species | Applications (RESEARCH USE ONLY!) |
| RPC845Hu02 | Recombinant Renalase (RNLS) | Positive Control; Immunogen; SDS-PAGE; WB. |
| RPC845Hu01 | Recombinant Renalase (RNLS) | Positive Control; Immunogen; SDS-PAGE; WB. |
| RPC845Hu03 | Recombinant Renalase (RNLS) | Positive Control; Immunogen; SDS-PAGE; WB. |
| PAC845Hu01 | Polyclonal Antibody to Renalase (RNLS) | IHC |
| PAC845Hu02 | Polyclonal Antibody to Renalase (RNLS) | IHC |
| LAC845Hu71 | Biotin-Linked Polyclonal Antibody to Renalase (RNLS) | WB; IHC; ICC. |
| MAC845Hu25 | Monoclonal Antibody to Renalase (RNLS) | WB |
| MAC845Hu22 | Monoclonal Antibody to Renalase (RNLS) | WB |
| MAC845Hu21 | Monoclonal Antibody to Renalase (RNLS) | WB; IHC |
| MAC845Hu23 | Monoclonal Antibody to Renalase (RNLS) | IHC |
| SEC845Hu | ELISA Kit for Renalase (RNLS) | Enzyme-linked immunosorbent assay for Antigen Detection. |
| LMC845Hu | Multiplex Assay Kit for Renalase (RNLS) ,etc. by FLIA (Flow Luminescence Immunoassay) | FLIA Kit for Antigen Detection. |

