Polyclonal Antibody to Troponin I Type 2, Fast Skeletal (TNNI2)
AMCD2B; DA2B; FSSV; Troponin I Fast Twitch 2; Troponin I, fast-twitch isoform
- Product No.PAD230Mu01
- Organism SpeciesMus musculus (Mouse) Same name, Different species.
- SourcePolyclonal antibody preparation
- HostRabbit
- Potencyn/a
- Ig Type IgG
- PurificationAntigen-specific affinity chromatography followed by Protein A affinity chromatography
- LabelNone
- Immunogen RPD230Mu01-Recombinant Troponin I Type 2, Fast Skeletal (TNNI2)
- Buffer FormulationPBS, pH7.4, containing 0.02% NaN3, 50% glycerol.
- TraitsLiquid
- Concentration500µg/mL
- Organism Species MoreRattus norvegicus (Rat), Sus scrofa; Porcine (Pig)
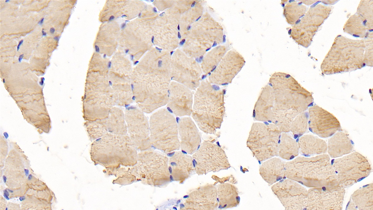
- ApplicationsWB; IHC
If the antibody is used in flow cytometry, please check FCM antibodies. - DownloadInstruction Manual
- UOM 20µl100µl 200µl 1ml 10ml
- FOB
US$ 108
US$ 252
US$ 360
US$ 900
US$ 3600
For more details, please contact local distributors!
SPECIFITY
The antibody is a rabbit polyclonal antibody raised against TNNI2. It has been selected for its ability to recognize TNNI2 in immunohistochemical staining and western blotting.
USAGE
Western blotting: 0.5-2µg/mL;
Immunohistochemistry: 5-20µg/mL;
Immunocytochemistry: 5-20µg/mL;
Optimal working dilutions must be determined by end user.
STORAGE
Store at 4°C for frequent use. Stored at -20°C in a manual defrost freezer for two year without detectable loss of activity. Avoid repeated freeze-thaw cycles.
STABILITY
The thermal stability is described by the loss rate. The loss rate was determined by accelerated thermal degradation test, that is, incubate the protein at 37°C for 48h, and no obvious degradation and precipitation were observed. The loss rate is less than 5% within the expiration date under appropriate storage condition.
GIVEAWAYS
INCREMENT SERVICES
-
Antibody Labeling Customized Service
-
Protein A/G Purification Column
-
Staining Solution for Cells and Tissue
-
Positive Control for Antibody
-
Tissue/Sections Customized Service
-
Phosphorylated Antibody Customized Service
-
Western Blot (WB) Experiment Service
-
Immunohistochemistry (IHC) Experiment Service
-
Immunocytochemistry (ICC) Experiment Service
-
Flow Cytometry (FCM) Experiment Service
-
Immunoprecipitation (IP) Experiment Service
-
Immunofluorescence (IF) Experiment Service
-
Buffer
-
DAB Chromogen Kit
-
SABC Kit
-
Long-arm Biotin Labeling Kit
-
Real Time PCR Experimental Service
| Catalog No. | Related products for research use of Mus musculus (Mouse) Organism species | Applications (RESEARCH USE ONLY!) |
| RPD230Mu01 | Recombinant Troponin I Type 2, Fast Skeletal (TNNI2) | Positive Control; Immunogen; SDS-PAGE; WB. |
| RPD230Mu02 | Recombinant Troponin I Type 2, Fast Skeletal (TNNI2) | Positive Control; Immunogen; SDS-PAGE; WB. |
| PAD230Mu01 | Polyclonal Antibody to Troponin I Type 2, Fast Skeletal (TNNI2) | WB; IHC |
| PAD230Mu02 | Polyclonal Antibody to Troponin I Type 2, Fast Skeletal (TNNI2) | WB; IHC; ICC; IP. |
| LAD230Mu71 | Biotin-Linked Polyclonal Antibody to Troponin I Type 2, Fast Skeletal (TNNI2) | WB |
| SED230Mu | ELISA Kit for Troponin I Type 2, Fast Skeletal (TNNI2) | Enzyme-linked immunosorbent assay for Antigen Detection. |
| LMD230Mu | Multiplex Assay Kit for Troponin I Type 2, Fast Skeletal (TNNI2) ,etc. by FLIA (Flow Luminescence Immunoassay) | FLIA Kit for Antigen Detection. |

