Polyclonal Antibody to Mammary Serine Protease Inhibitor (Maspin)
SERPINB5; PI5; Protease Inhibitor 5; Serpin Peptidase Inhibitor Clade B Member 5
- Product No.PAD386Hu01
- Organism SpeciesHomo sapiens (Human) Same name, Different species.
- SourcePolyclonal antibody preparation
- HostRabbit
- Potencyn/a
- Ig Type IgG
- PurificationAntigen-specific affinity chromatography followed by Protein A affinity chromatography
- LabelNone
- Immunogen RPD386Hu01-Recombinant Mammary Serine Protease Inhibitor (Maspin)
- Buffer FormulationPBS, pH7.4, containing 0.01% SKL, 1mM DTT, 5% Trehalose and Proclin300.
- TraitsLiquid
- Concentration500µg/mL
- Organism Species Moren/a
- ApplicationsWB; IHC; ICC/IF
If the antibody is used in flow cytometry, please check FCM antibodies. - DownloadInstruction Manual
- UOM 20µl100µl 200µl 1ml 10ml
- FOB
US$ 105
US$ 245
US$ 350
US$ 875
US$ 3500
For more details, please contact local distributors!
SPECIFITY
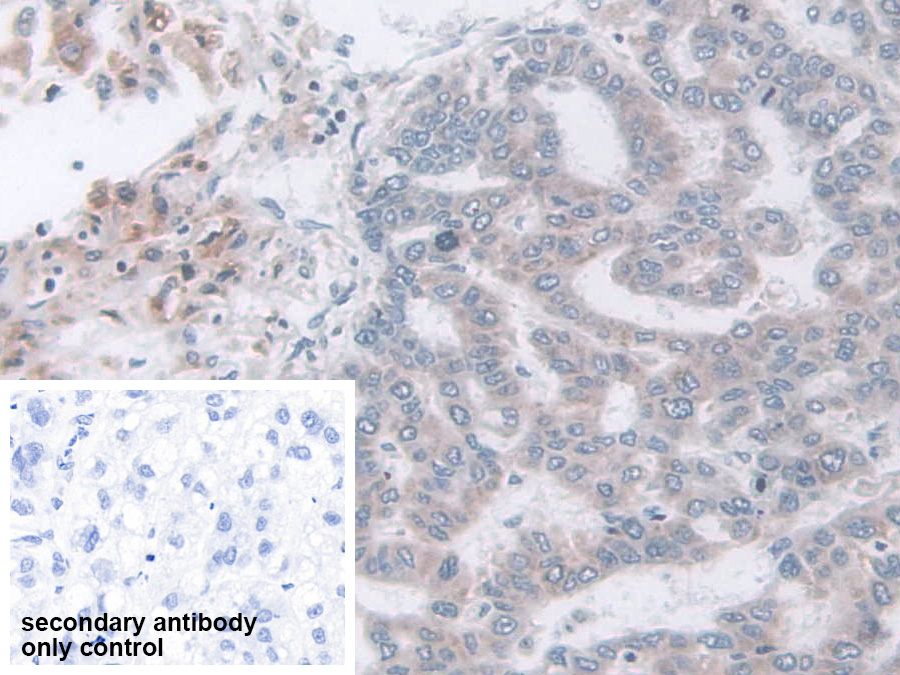
The antibody is a rabbit polyclonal antibody raised against Maspin. It has been selected for its ability to recognize Maspin in immunohistochemical staining and western blotting.
USAGE
Western blotting: 0.2-2µg/mL;1:250-2500
Immunohistochemistry: 5-20µg/mL;1:25-100
Immunocytochemistry: 5-20µg/mL;1:25-100
Optimal working dilutions must be determined by end user.
STORAGE
Store at 4°C for frequent use. Stored at -20°C in a manual defrost freezer for two year without detectable loss of activity. Avoid repeated freeze-thaw cycles.
STABILITY
The thermal stability is described by the loss rate. The loss rate was determined by accelerated thermal degradation test, that is, incubate the protein at 37°C for 48h, and no obvious degradation and precipitation were observed. The loss rate is less than 5% within the expiration date under appropriate storage condition.
GIVEAWAYS
INCREMENT SERVICES
-
Antibody Labeling Customized Service
-
Protein A/G Purification Column
-
Staining Solution for Cells and Tissue
-
Positive Control for Antibody
-
Tissue/Sections Customized Service
-
Phosphorylated Antibody Customized Service
-
Western Blot (WB) Experiment Service
-
Immunohistochemistry (IHC) Experiment Service
-
Immunocytochemistry (ICC) Experiment Service
-
Flow Cytometry (FCM) Experiment Service
-
Immunoprecipitation (IP) Experiment Service
-
Immunofluorescence (IF) Experiment Service
-
Buffer
-
DAB Chromogen Kit
-
SABC Kit
-
Long-arm Biotin Labeling Kit
-
Real Time PCR Experimental Service
| Magazine | Citations |
| International Journal of Cancer | Serpin B5 is a CEA-interacting biomarker for colorectal cancer Onlinelibrary: ijc.28494 |
| Molecular and Cellular Biochemistry | Recombinant human maspin inhibits high glucose-induced oxidative stress and angiogenesis of human retinal microvascular endothelial cells via PI3K/AKT pathway Pubmed:29363056 |
| Catalog No. | Related products for research use of Homo sapiens (Human) Organism species | Applications (RESEARCH USE ONLY!) |
| RPD386Hu01 | Recombinant Mammary Serine Protease Inhibitor (Maspin) | Positive Control; Immunogen; SDS-PAGE; WB. |
| PAD386Hu01 | Polyclonal Antibody to Mammary Serine Protease Inhibitor (Maspin) | WB; IHC; ICC/IF |
| FAD386Hu01 | Anti-Mammary Serine Protease Inhibitor (Maspin) Polyclonal Antibody | FCM |
| MAD386Hu21 | Monoclonal Antibody to Mammary Serine Protease Inhibitor (Maspin) | WB; IHC; ICC; IP. |
| SED386Hu | ELISA Kit for Mammary Serine Protease Inhibitor (Maspin) | Enzyme-linked immunosorbent assay for Antigen Detection. |
| LMD386Hu | Multiplex Assay Kit for Mammary Serine Protease Inhibitor (Maspin) ,etc. by FLIA (Flow Luminescence Immunoassay) | FLIA Kit for Antigen Detection. |

