Polyclonal Antibody to B-Cell CLL/Lymphoma 2 Like Protein (Bcl2L)
BCL-XL/S; BCL2L1; BCLX; Bcl-X; bcl-xL; bcl-xS; Apoptosis regulator Bcl-X
- Product No.PAE582Mu01
- Organism SpeciesMus musculus (Mouse) Same name, Different species.
- SourcePolyclonal antibody preparation
- HostRabbit
- Potencyn/a
- Ig Type IgG
- PurificationAntigen-specific affinity chromatography followed by Protein A affinity chromatography
- LabelNone
- Immunogen RPE582Mu01-Recombinant B-Cell CLL/Lymphoma 2 Like Protein (Bcl2L)
- Buffer FormulationPBS, pH7.4, containing 0.01% SKL, 1mM DTT, 5% Trehalose and Proclin300.
- TraitsLiquid
- Concentration500µg/mL
- Organism Species MoreHomo sapiens (Human), Rattus norvegicus (Rat), Chicken (Gallus)
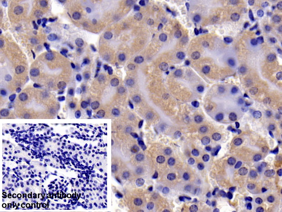
- ApplicationsWB; IHC
If the antibody is used in flow cytometry, please check FCM antibodies. - DownloadInstruction Manual
- UOM 20µl100µl 200µl 1ml 10ml
- FOB
US$ 108
US$ 252
US$ 360
US$ 900
US$ 3600
For more details, please contact local distributors!
SPECIFITY
The antibody is a rabbit polyclonal antibody raised against Bcl2L. It has been selected for its ability to recognize Bcl2L in immunohistochemical staining and western blotting.
USAGE
Western blotting: 0.2-2µg/mL;1:250-2500
Immunohistochemistry: 5-20µg/mL;1:25-100
Immunocytochemistry: 5-20µg/mL;1:25-100
Optimal working dilutions must be determined by end user.
STORAGE
Store at 4°C for frequent use. Stored at -20°C in a manual defrost freezer for two year without detectable loss of activity. Avoid repeated freeze-thaw cycles.
STABILITY
The thermal stability is described by the loss rate. The loss rate was determined by accelerated thermal degradation test, that is, incubate the protein at 37°C for 48h, and no obvious degradation and precipitation were observed. The loss rate is less than 5% within the expiration date under appropriate storage condition.
GIVEAWAYS
INCREMENT SERVICES
-
Antibody Labeling Customized Service
-
Protein A/G Purification Column
-
Staining Solution for Cells and Tissue
-
Positive Control for Antibody
-
Tissue/Sections Customized Service
-
Phosphorylated Antibody Customized Service
-
Western Blot (WB) Experiment Service
-
Immunohistochemistry (IHC) Experiment Service
-
Immunocytochemistry (ICC) Experiment Service
-
Flow Cytometry (FCM) Experiment Service
-
Immunoprecipitation (IP) Experiment Service
-
Immunofluorescence (IF) Experiment Service
-
Buffer
-
DAB Chromogen Kit
-
SABC Kit
-
Long-arm Biotin Labeling Kit
-
Real Time PCR Experimental Service
| Magazine | Citations |
| J Nutr Biochem | Supplementation with Selenium yeast on the prooxidant–antioxidant activities and anti-tumor effects in breast tumor xenograft-bearing mice PubMed: 26344777 |
| Oncology Reports | O‑GlcNAc modification influences endometrial receptivity by promoting endometrial cell proliferation, migration and invasion Pubmed: 31545463 |
| Catalog No. | Related products for research use of Mus musculus (Mouse) Organism species | Applications (RESEARCH USE ONLY!) |
| RPE582Mu02 | Recombinant B-Cell CLL/Lymphoma 2 Like Protein (Bcl2L) | Positive Control; Immunogen; SDS-PAGE; WB. |
| RPE582Mu01 | Recombinant B-Cell CLL/Lymphoma 2 Like Protein (Bcl2L) | Positive Control; Immunogen; SDS-PAGE; WB. |
| PAE582Mu02 | Polyclonal Antibody to B-Cell CLL/Lymphoma 2 Like Protein (Bcl2L) | WB; IHC; ICC; IP. |
| PAE582Mu01 | Polyclonal Antibody to B-Cell CLL/Lymphoma 2 Like Protein (Bcl2L) | WB; IHC |
| LAE582Mu71 | Biotin-Linked Polyclonal Antibody to B-Cell CLL/Lymphoma 2 Like Protein (Bcl2L) | WB |
| SEE582Mu | ELISA Kit for B-Cell CLL/Lymphoma 2 Like Protein (Bcl2L) | Enzyme-linked immunosorbent assay for Antigen Detection. |
| LME582Mu | Multiplex Assay Kit for B-Cell CLL/Lymphoma 2 Like Protein (Bcl2L) ,etc. by FLIA (Flow Luminescence Immunoassay) | FLIA Kit for Antigen Detection. |

