Polyclonal Antibody to Cyclin Dependent Kinase Inhibitor 1A (CDKN1A)
WAF1; p21; CIP1; p21WAF1; CAP20; CDKN1; MDA-6; SDI1; p21CIP1; CDK-Interacting Protein 1; Melanoma differentiation-associated protein 6
- Product No.PAE624Hu01
- Organism SpeciesHomo sapiens (Human) Same name, Different species.
- SourcePolyclonal antibody preparation
- HostRabbit
- Potencyn/a
- Ig Type IgG
- PurificationAntigen-specific affinity chromatography followed by Protein A affinity chromatography
- LabelNone
- Immunogen RPE624Hu01-Recombinant Cyclin Dependent Kinase Inhibitor 1A (CDKN1A)
- Buffer FormulationPBS, pH7.4, containing 0.02% NaN3, 50% glycerol.
- TraitsLiquid
- Concentration0.5mg/mL
- Organism Species MoreRattus norvegicus (Rat)
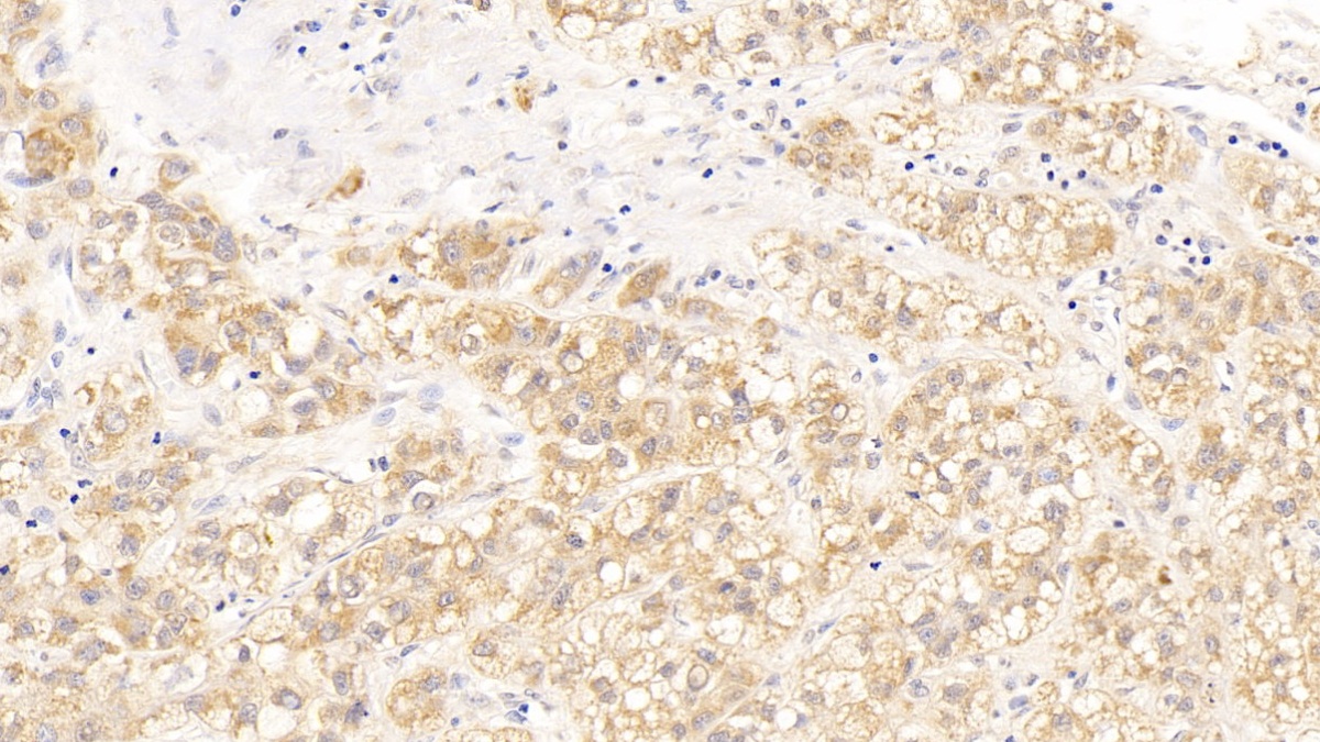
- ApplicationsWB; IHC
If the antibody is used in flow cytometry, please check FCM antibodies. - DownloadInstruction Manual
- UOM 20µl100µl 200µl 1ml 10ml
- FOB
US$ 105
US$ 245
US$ 350
US$ 875
US$ 3500
For more details, please contact local distributors!
SPECIFITY
The antibody is a rabbit polyclonal antibody raised against CDKN1A. It has been selected for its ability to recognize CDKN1A in immunohistochemical staining and western blotting.
USAGE
Western blotting: 0.01-3µg/mL;
Immunohistochemistry: 5-30µg/mL;
Immunocytochemistry: 5-30µg/mL;
Optimal working dilutions must be determined by end user.
STORAGE
Store at 4°C for frequent use. Stored at -20°C in a manual defrost freezer for two year without detectable loss of activity. Avoid repeated freeze-thaw cycles.
STABILITY
The thermal stability is described by the loss rate. The loss rate was determined by accelerated thermal degradation test, that is, incubate the protein at 37°C for 48h, and no obvious degradation and precipitation were observed. The loss rate is less than 5% within the expiration date under appropriate storage condition.
GIVEAWAYS
INCREMENT SERVICES
-
Antibody Labeling Customized Service
-
Protein A/G Purification Column
-
Staining Solution for Cells and Tissue
-
Positive Control for Antibody
-
Tissue/Sections Customized Service
-
Phosphorylated Antibody Customized Service
-
Western Blot (WB) Experiment Service
-
Immunohistochemistry (IHC) Experiment Service
-
Immunocytochemistry (ICC) Experiment Service
-
Flow Cytometry (FCM) Experiment Service
-
Immunoprecipitation (IP) Experiment Service
-
Immunofluorescence (IF) Experiment Service
-
Buffer
-
DAB Chromogen Kit
-
SABC Kit
-
Long-arm Biotin Labeling Kit
-
Real Time PCR Experimental Service
| Catalog No. | Related products for research use of Homo sapiens (Human) Organism species | Applications (RESEARCH USE ONLY!) |
| RPE624Hu01 | Recombinant Cyclin Dependent Kinase Inhibitor 1A (CDKN1A) | Positive Control; Immunogen; SDS-PAGE; WB. |
| PAE624Hu01 | Polyclonal Antibody to Cyclin Dependent Kinase Inhibitor 1A (CDKN1A) | WB; IHC |
| SEE624Hu | ELISA Kit for Cyclin Dependent Kinase Inhibitor 1A (CDKN1A) | Enzyme-linked immunosorbent assay for Antigen Detection. |
| LME624Hu | Multiplex Assay Kit for Cyclin Dependent Kinase Inhibitor 1A (CDKN1A) ,etc. by FLIA (Flow Luminescence Immunoassay) | FLIA Kit for Antigen Detection. |

