Polyclonal Antibody to Annexin A4 (ANXA4)
ANX-A4; ANX4; PIG28; 35-beta calcimedin; Carbohydrate-binding protein p33/p41; Chromobindin-4; Endonexin I; Lipocortin IV; Placental anticoagulant protein II
- Product No.PAE784Ra01
- Organism SpeciesRattus norvegicus (Rat) Same name, Different species.
- SourcePolyclonal antibody preparation
- HostRabbit
- Potencyn/a
- Ig Type IgG
- PurificationAntigen-specific affinity chromatography followed by Protein A affinity chromatography
- LabelNone
- Immunogen RPE784Ra01-Recombinant Annexin A4 (ANXA4)
- Buffer FormulationPBS, pH7.4, containing 0.01% SKL, 1mM DTT, 5% Trehalose and Proclin300.
- TraitsLiquid
- Concentration500µg/mL
- Organism Species MoreHomo sapiens (Human)
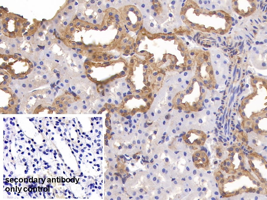
- ApplicationsWB; IHC
If the antibody is used in flow cytometry, please check FCM antibodies. - DownloadInstruction Manual
- UOM 20µl100µl 200µl 1ml 10ml
- FOB
US$ 114
US$ 266
US$ 380
US$ 950
US$ 3800
For more details, please contact local distributors!
SPECIFITY
The antibody is a rabbit polyclonal antibody raised against ANXA4. It has been selected for its ability to recognize ANXA4 in immunohistochemical staining and western blotting.
USAGE
Western blotting: 0.2-2µg/mL;1:250-2500
Immunohistochemistry: 5-20µg/mL;1:25-100
Immunocytochemistry: 5-20µg/mL;1:25-100
Optimal working dilutions must be determined by end user.
STORAGE
Store at 4°C for frequent use. Stored at -20°C in a manual defrost freezer for two year without detectable loss of activity. Avoid repeated freeze-thaw cycles.
STABILITY
The thermal stability is described by the loss rate. The loss rate was determined by accelerated thermal degradation test, that is, incubate the protein at 37°C for 48h, and no obvious degradation and precipitation were observed. The loss rate is less than 5% within the expiration date under appropriate storage condition.
GIVEAWAYS
INCREMENT SERVICES
-
Antibody Labeling Customized Service
-
Protein A/G Purification Column
-
Staining Solution for Cells and Tissue
-
Positive Control for Antibody
-
Tissue/Sections Customized Service
-
Phosphorylated Antibody Customized Service
-
Western Blot (WB) Experiment Service
-
Immunohistochemistry (IHC) Experiment Service
-
Immunocytochemistry (ICC) Experiment Service
-
Flow Cytometry (FCM) Experiment Service
-
Immunoprecipitation (IP) Experiment Service
-
Immunofluorescence (IF) Experiment Service
-
Buffer
-
DAB Chromogen Kit
-
SABC Kit
-
Long-arm Biotin Labeling Kit
-
Real Time PCR Experimental Service
| Catalog No. | Related products for research use of Rattus norvegicus (Rat) Organism species | Applications (RESEARCH USE ONLY!) |
| RPE784Ra01 | Recombinant Annexin A4 (ANXA4) | Positive Control; Immunogen; SDS-PAGE; WB. |
| RPE784Ra02 | Recombinant Annexin A4 (ANXA4) | Positive Control; Immunogen; SDS-PAGE; WB. |
| PAE784Ra02 | Polyclonal Antibody to Annexin A4 (ANXA4) | WB; IHC |
| PAE784Ra01 | Polyclonal Antibody to Annexin A4 (ANXA4) | WB; IHC |
| FAE784Ra01 | Anti-Annexin A4 (ANXA4) Polyclonal Antibody | FCM |
| FAE784Ra03 | Anti-Annexin A4 (ANXA4) Polyclonal Antibody | FCM |
| LAE784Ra71 | Biotin-Linked Polyclonal Antibody to Annexin A4 (ANXA4) | WB |
| MAE784Ra21 | Monoclonal Antibody to Annexin A4 (ANXA4) | WB; IHC; ICC; IP. |

