Polyclonal Antibody to Eukaryotic Translation Elongation Factor 1 Beta 2 (EEF1b2)
EEF1B1; EF1B; EEF1B
- Product No.PAF022Hu01
 - Organism SpeciesHomo sapiens (Human) Same name, Different species.
 - SourcePolyclonal antibody preparation
 - HostRabbit
 - Potencyn/a
 - Ig Type IgG
 - PurificationAntigen-specific affinity chromatography followed by Protein A affinity chromatography
 - LabelNone
 - Immunogen n/a
 - Buffer FormulationPBS, pH7.4, containing 0.01% SKL, 1mM DTT, 5% Trehalose and Proclin300.
 - TraitsLiquid
 - Concentration500µg/mL
 - Organism Species Moren/a
 - ApplicationsWB
If the antibody is used in flow cytometry, please check FCM antibodies. - DownloadInstruction Manual
 - UOM 20µl100µl 200µl 1ml 10ml
 - FOB
    
                                    US$ 105 
            
                
                        US$ 245 
                                        US$ 350 
                                        US$ 875 
                                        US$ 3500 
                            
For more details, please contact local distributors! 
SPECIFITY
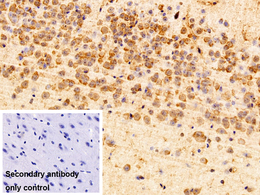
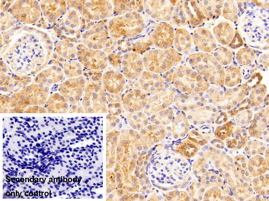
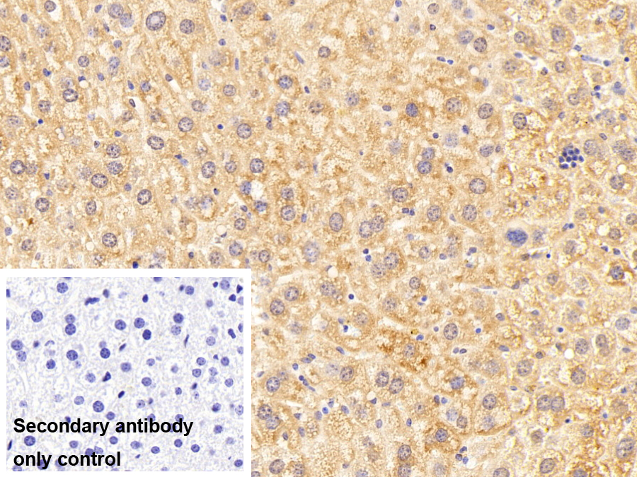
The antibody is a rabbit polyclonal antibody raised against EEF1b2. It has been selected for its ability to recognize EEF1b2 in immunohistochemical staining and western blotting.
USAGE
        
                        Western blotting: 0.2-2µg/mL;1:250-2500
                        
 Immunohistochemistry: 5-20µg/mL;1:25-100
                        
 Immunocytochemistry: 5-20µg/mL;1:25-100
                        
 Optimal working dilutions must be determined by end user.
                        
    
STORAGE
Store at 4°C for frequent use. Stored at -20°C in a manual defrost freezer for two year without detectable loss of activity. Avoid repeated freeze-thaw cycles.
STABILITY
The thermal stability is described by the loss rate. The loss rate was determined by accelerated thermal degradation test, that is, incubate the protein at 37°C for 48h, and no obvious degradation and precipitation were observed. The loss rate is less than 5% within the expiration date under appropriate storage condition.
GIVEAWAYS
INCREMENT SERVICES
- 
                    
                        Antibody Labeling Customized Service
                                     - 
                    
                        Protein A/G Purification Column
                                     - 
                    
                        Staining Solution for Cells and Tissue
                                     - 
                    
                        Positive Control  for Antibody
                                     - 
                    
                        Tissue/Sections Customized Service
                                     - 
                    
                        Phosphorylated Antibody Customized Service
                                     - 
                    
                        Western Blot (WB) Experiment Service
                                     - 
                    
                        Immunohistochemistry (IHC) Experiment Service
                                     - 
                    
                        Immunocytochemistry (ICC) Experiment Service
                                     - 
                    
                        Flow Cytometry (FCM) Experiment Service
                                     - 
                    
                        Immunoprecipitation (IP) Experiment Service
                                     - 
                    
                        Immunofluorescence (IF) Experiment Service
                                     - 
                    
                        Buffer
                                     - 
                    
                        DAB Chromogen Kit
                                     - 
                    
                        SABC Kit
                                     - 
                    
                        Long-arm Biotin Labeling Kit
                                     - 
                    
                        Real Time PCR Experimental Service
                                     
| Catalog No. | Related products for research use of Homo sapiens (Human) Organism species | Applications (RESEARCH USE ONLY!) | 
| RPF022Hu01 | Recombinant Eukaryotic Translation Elongation Factor 1 Beta 2 (EEF1b2) | Positive Control; Immunogen; SDS-PAGE; WB. | 
| PAF022Hu01 | Polyclonal Antibody to Eukaryotic Translation Elongation Factor 1 Beta 2 (EEF1b2) | WB | 
        
                            
                            
                            
