Polyclonal Antibody to Autophagy Related Protein 7 (ATG7)
APG7L; GSA7; Ubiquitin-like modifier-activating enzyme ATG7; ATG12-activating enzyme E1 ATG7; Ubiquitin-activating enzyme E1-like protein
- Product No.PAL222Hu01
- Organism SpeciesHomo sapiens (Human) Same name, Different species.
- SourcePolyclonal antibody preparation
- HostRabbit
- Potencyn/a
- Ig Type IgG
- PurificationAntigen-specific affinity chromatography followed by Protein A affinity chromatography
- LabelNone
- Immunogen RPL222Hu01-Recombinant Autophagy Related Protein 7 (ATG7)
- Buffer Formulation0.01M PBS, pH7.4, containing 0.05% Proclin-300, 50% glycerol.
- TraitsLiquid
- Concentration500µg/mL
- Organism Species MoreSus scrofa; Porcine (Pig)
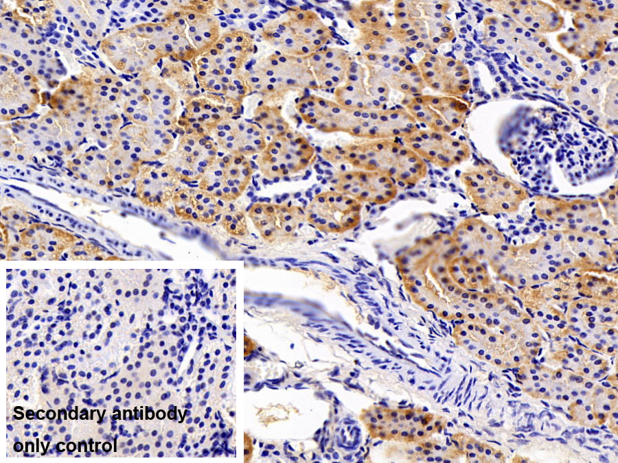
- ApplicationsIHC
 If the antibody is used in flow cytometry, please check FCM antibodies.
- DownloadInstruction Manual
- UOM 20µl100µl 200µl 1ml 10ml
- FOB
    
                                    US$ 116 
            
                
                        US$ 270 
                                        US$ 386 
                                        US$ 965 
                                        US$ 3860 
                            
 For more details, please contact local distributors!
SPECIFITY
The antibody is a rabbit polyclonal antibody raised against ATG7. It has been selected for its ability to recognize ATG7 in immunohistochemical staining and western blotting.
USAGE
        Western blotting: 0.5-2µg/mL;
Immunohistochemistry: 5-20µg/mL;
Immunocytochemistry: 5-20µg/mL;
Optimal working dilutions must be determined by end user.    
STORAGE
Store at 4°C for frequent use. Stored at -20°C in a manual defrost freezer for two year without detectable loss of activity. Avoid repeated freeze-thaw cycles.
STABILITY
The thermal stability is described by the loss rate. The loss rate was determined by accelerated thermal degradation test, that is, incubate the protein at 37°C for 48h, and no obvious degradation and precipitation were observed. The loss rate is less than 5% within the expiration date under appropriate storage condition.
GIVEAWAYS
INCREMENT SERVICES
- 
                     Antibody Labeling Customized Service Antibody Labeling Customized Service
- 
                     Protein A/G Purification Column Protein A/G Purification Column
- 
                     Staining Solution for Cells and Tissue Staining Solution for Cells and Tissue
- 
                     Positive Control  for Antibody Positive Control  for Antibody
- 
                     Tissue/Sections Customized Service Tissue/Sections Customized Service
- 
                     Phosphorylated Antibody Customized Service Phosphorylated Antibody Customized Service
- 
                     Western Blot (WB) Experiment Service Western Blot (WB) Experiment Service
- 
                     Immunohistochemistry (IHC) Experiment Service Immunohistochemistry (IHC) Experiment Service
- 
                     Immunocytochemistry (ICC) Experiment Service Immunocytochemistry (ICC) Experiment Service
- 
                     Flow Cytometry (FCM) Experiment Service Flow Cytometry (FCM) Experiment Service
- 
                     Immunoprecipitation (IP) Experiment Service Immunoprecipitation (IP) Experiment Service
- 
                     Immunofluorescence (IF) Experiment Service Immunofluorescence (IF) Experiment Service
- 
                     Buffer Buffer
- 
                     DAB Chromogen Kit DAB Chromogen Kit
- 
                     SABC Kit SABC Kit
- 
                     Long-arm Biotin Labeling Kit Long-arm Biotin Labeling Kit
- 
                     Real Time PCR Experimental Service Real Time PCR Experimental Service
| Catalog No. | Related products for research use of Homo sapiens (Human) Organism species | Applications (RESEARCH USE ONLY!) | 
| RPL222Hu01 | Recombinant Autophagy Related Protein 7 (ATG7) | Positive Control; Immunogen; SDS-PAGE; WB. | 
| PAL222Hu01 | Polyclonal Antibody to Autophagy Related Protein 7 (ATG7) | IHC | 
| MAL222Hu21 | Monoclonal Antibody to Autophagy Related Protein 7 (ATG7) | WB; IHC; ICC; IP. | 
| SEL222Hu | ELISA Kit for Autophagy Related Protein 7 (ATG7) | Enzyme-linked immunosorbent assay for Antigen Detection. | 
| LML222Hu | Multiplex Assay Kit for Autophagy Related Protein 7 (ATG7) ,etc. by FLIA (Flow Luminescence Immunoassay) | FLIA Kit for Antigen Detection. | 
 
         
 
                             
                             
                            

 
    