Monoclonal Antibody to Galectin 2 (GAL2)
LGALS2; HL14; Lectin,Galactoside-Binding Soluble 2; Beta-galactoside-binding lectin L-14-II; Lactose-binding lectin 2; S-Lac lectin 2
- Product No.MAA302Hu21
- Organism SpeciesHomo sapiens (Human) Same name, Different species.
- SourceMonoclonal antibody preparation
- HostMouse
- Potency (Clone Number)C6
- Ig Isotype IgG2b Kappa
- PurificationProtein A + Protein G affinity chromatography
- LabelNone
- Immunogen RPA302Hu01-Recombinant Galectin 2 (GAL2)
- Buffer Formulation0.01M PBS, pH7.4, containing 0.05% Proclin-300, 50% glycerol.
- TraitsLiquid
- Concentration1mg/mL
- Organism Species MoreMus musculus (Mouse), Rattus norvegicus (Rat), Sus scrofa; Porcine (Pig)
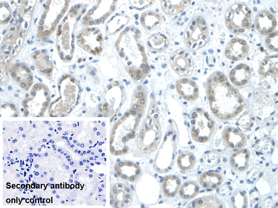
- ApplicationsWB; IHC
If the antibody is used in flow cytometry, please check FCM antibodies. - DownloadInstruction Manual
- UOM 20µl100µl 200µl 1ml 10ml
- FOB
US$ 101
US$ 235
US$ 336
US$ 840
US$ 3360
For more details, please contact local distributors!
SPECIFITY
The antibody is a mouse monoclonal antibody raised against GAL2. It has been selected for its ability to recognize GAL2 in immunohistochemical staining and western blotting.
USAGE
Western blotting: 0.01-3µg/mL;
Immunohistochemistry: 5-30µg/mL;
Optimal working dilutions must be determined by end user.
STORAGE
Store at 4°C for frequent use. Stored at -20°C in a manual defrost freezer for two year without detectable loss of activity. Avoid repeated freeze-thaw cycles.
STABILITY
The thermal stability is described by the loss rate. The loss rate was determined by accelerated thermal degradation test, that is, incubate the protein at 37°C for 48h, and no obvious degradation and precipitation were observed. The loss rate is less than 5% within the expiration date under appropriate storage condition.
GIVEAWAYS
INCREMENT SERVICES
-
Antibody Labeling Customized Service
-
Protein A/G Purification Column
-
Staining Solution for Cells and Tissue
-
Positive Control for Antibody
-
Tissue/Sections Customized Service
-
Phosphorylated Antibody Customized Service
-
Western Blot (WB) Experiment Service
-
Immunohistochemistry (IHC) Experiment Service
-
Immunocytochemistry (ICC) Experiment Service
-
Flow Cytometry (FCM) Experiment Service
-
Immunoprecipitation (IP) Experiment Service
-
Immunofluorescence (IF) Experiment Service
-
Buffer
-
DAB Chromogen Kit
-
SABC Kit
-
Long-arm Biotin Labeling Kit
-
Real Time PCR Experimental Service
| Magazine | Citations |
| Biol Pharm Bull | Potential Interaction between Galectin-2 and MUC5AC in Mouse Gastric Mucus Pubmed: 32009121 |
| International Journal of Molecular Sciences | Galectin-2 Has Bactericidal Effects against Helicobacter pylori in a β-galactoside-Dependent Manner Pubmed: 32295066 |
| Catalog No. | Related products for research use of Homo sapiens (Human) Organism species | Applications (RESEARCH USE ONLY!) |
| RPA302Hu01 | Recombinant Galectin 2 (GAL2) | Positive Control; Immunogen; SDS-PAGE; WB. |
| PAA302Hu01 | Polyclonal Antibody to Galectin 2 (GAL2) | WB; IHC |
| LAA302Hu71 | Biotin-Linked Polyclonal Antibody to Galectin 2 (GAL2) | WB |
| LAA302Hu81 | FITC-Linked Polyclonal Antibody to Galectin 2 (GAL2) | WB; IHC; ICC; IF. |
| MAA302Hu21 | Monoclonal Antibody to Galectin 2 (GAL2) | WB; IHC |
| MAA302Hu22 | Monoclonal Antibody to Galectin 2 (GAL2) | WB |
| LAA302Hu72 | Biotin-Linked Monoclonal Antibody to Galectin 2 (GAL2) | WB; IHC; ICC. |
| SEA302Hu | ELISA Kit for Galectin 2 (GAL2) | Enzyme-linked immunosorbent assay for Antigen Detection. |
| LMA302Hu | Multiplex Assay Kit for Galectin 2 (GAL2) ,etc. by FLIA (Flow Luminescence Immunoassay) | FLIA Kit for Antigen Detection. |
| PSA302Hu01 | Antibody Pair for Galectin 2 (GAL2) | ELISA; CLIA; ELISPOT; Luminex; Immunochromatography and other Immunoassays. |
| KSA302Hu01 | ELISA Kit DIY Materials for Galectin 2 (GAL2) | Main materials for "Do It(ELISA Kit) Yourself" |

