Polyclonal Antibody to Galectin 2 (GAL2)
LGALS2; HL14; Lectin,Galactoside-Binding Soluble 2; Beta-galactoside-binding lectin L-14-II; Lactose-binding lectin 2; S-Lac lectin 2
- Product No.PAA302Hu01
 - Organism SpeciesHomo sapiens (Human) Same name, Different species.
 - SourcePolyclonal antibody preparation
 - HostRabbit
 - Potencyn/a
 - Ig Type IgG
 - PurificationAntigen-specific affinity chromatography followed by Protein A affinity chromatography
 - LabelNone
 - Immunogen RPA302Hu01-Recombinant Galectin 2 (GAL2)
 - Buffer FormulationPBS, pH7.4, containing 0.02% NaN3, 50% glycerol.
 - TraitsLiquid
 - Concentration0.5mg/mL
 - Organism Species MoreMus musculus (Mouse), Rattus norvegicus (Rat), Sus scrofa; Porcine (Pig)
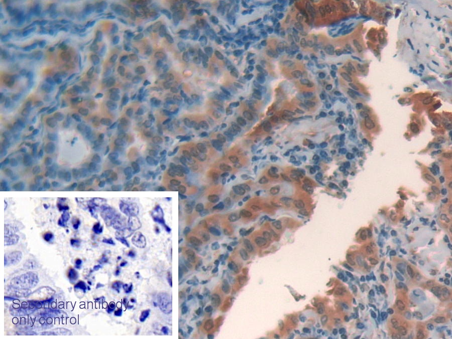
 - ApplicationsWB; IHC
If the antibody is used in flow cytometry, please check FCM antibodies. - DownloadInstruction Manual
 - UOM 20µl100µl 200µl 1ml 10ml
 - FOB
    
                                    US$ 95 
            
                
                        US$ 221 
                                        US$ 316 
                                        US$ 790 
                                        US$ 3160 
                            
For more details, please contact local distributors! 
SPECIFITY
The antibody is a rabbit polyclonal antibody raised against GAL2. It has been selected for its ability to recognize GAL2 in immunohistochemical staining and western blotting.
USAGE
        Western blotting: 0.01-2µg/mL;
Immunohistochemistry: 5-20µg/mL;
Optimal working dilutions must be determined by end user.    
STORAGE
Store at 4°C for frequent use. Stored at -20°C in a manual defrost freezer for two year without detectable loss of activity. Avoid repeated freeze-thaw cycles.
STABILITY
The thermal stability is described by the loss rate. The loss rate was determined by accelerated thermal degradation test, that is, incubate the protein at 37°C for 48h, and no obvious degradation and precipitation were observed. The loss rate is less than 5% within the expiration date under appropriate storage condition.
GIVEAWAYS
INCREMENT SERVICES
- 
                    
                        Antibody Labeling Customized Service
                                     - 
                    
                        Protein A/G Purification Column
                                     - 
                    
                        Staining Solution for Cells and Tissue
                                     - 
                    
                        Positive Control  for Antibody
                                     - 
                    
                        Tissue/Sections Customized Service
                                     - 
                    
                        Phosphorylated Antibody Customized Service
                                     - 
                    
                        Western Blot (WB) Experiment Service
                                     - 
                    
                        Immunohistochemistry (IHC) Experiment Service
                                     - 
                    
                        Immunocytochemistry (ICC) Experiment Service
                                     - 
                    
                        Flow Cytometry (FCM) Experiment Service
                                     - 
                    
                        Immunoprecipitation (IP) Experiment Service
                                     - 
                    
                        Immunofluorescence (IF) Experiment Service
                                     - 
                    
                        Buffer
                                     - 
                    
                        DAB Chromogen Kit
                                     - 
                    
                        SABC Kit
                                     - 
                    
                        Long-arm Biotin Labeling Kit
                                     - 
                    
                        Real Time PCR Experimental Service
                                     
| Magazine | Citations | 
| Biol Pharm Bull | Potential Interaction between Galectin-2 and MUC5AC in Mouse Gastric Mucus Pubmed: 32009121 | 
| International Journal of Molecular Sciences | Galectin-2 Has Bactericidal Effects against Helicobacter pylori in a β-galactoside-Dependent Manner Pubmed: 32295066 | 
| Catalog No. | Related products for research use of Homo sapiens (Human) Organism species | Applications (RESEARCH USE ONLY!) | 
| RPA302Hu01 | Recombinant Galectin 2 (GAL2) | Positive Control; Immunogen; SDS-PAGE; WB. | 
| PAA302Hu01 | Polyclonal Antibody to Galectin 2 (GAL2) | WB; IHC | 
| LAA302Hu71 | Biotin-Linked Polyclonal Antibody to Galectin 2 (GAL2) | WB | 
| LAA302Hu81 | FITC-Linked Polyclonal Antibody to Galectin 2 (GAL2) | WB; IHC; ICC; IF. | 
| MAA302Hu21 | Monoclonal Antibody to Galectin 2 (GAL2) | WB; IHC | 
| MAA302Hu22 | Monoclonal Antibody to Galectin 2 (GAL2) | WB | 
| LAA302Hu72 | Biotin-Linked Monoclonal Antibody to Galectin 2 (GAL2) | WB; IHC; ICC. | 
| SEA302Hu | ELISA Kit for Galectin 2 (GAL2) | Enzyme-linked immunosorbent assay for Antigen Detection. | 
| LMA302Hu | Multiplex Assay Kit for Galectin 2 (GAL2) ,etc. by FLIA (Flow Luminescence Immunoassay) | FLIA Kit for Antigen Detection. | 
| PSA302Hu01 | Antibody Pair for Galectin 2 (GAL2) | ELISA; CLIA; ELISPOT; Luminex; Immunochromatography and other Immunoassays. | 
| KSA302Hu01 | ELISA Kit DIY Materials for Galectin 2 (GAL2) | Main materials for "Do It(ELISA Kit) Yourself" | 
        
                            
                            
                            
                            
                            
                            
