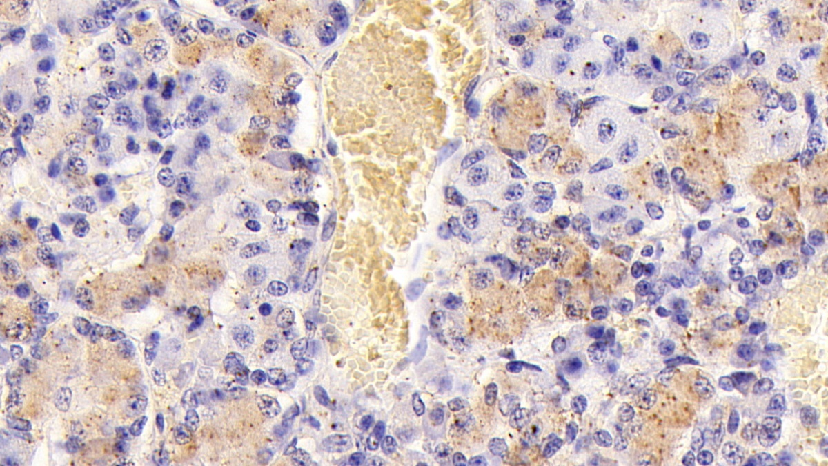
Monoclonal Antibody to Follicle Stimulating Hormone Beta (FSHb)
FSH-B; Follitropin Subunit Beta
- Product No.MAD017Mi24
- Organism SpeciesSus scrofa; Porcine (Pig) Same name, Different species.
- SourceMonoclonal antibody preparation
- HostMouse
- Potency (Clone Number)C5
- Ig Isotype IgG2b Kappa
- PurificationProtein A + Protein G affinity chromatography
- LabelNone
- Immunogen CPD017Mi21-OVA Conjugated Follicle Stimulating Hormone Beta (FSHb)
- Buffer FormulationPBS, pH7.4, containing 0.02% NaN3, 50% glycerol.
- TraitsLiquid
- Concentration1mg/mL
- Organism Species MoreSus scrofa; Porcine (Pig)
- ApplicationsIHC
If the antibody is used in flow cytometry, please check FCM antibodies. - DownloadInstruction Manual
- UOM 20µl100µl 200µl 1ml 10ml
- FOB
US$ 115
US$ 267
US$ 382
US$ 955
US$ 3820
For more details, please contact local distributors!
SPECIFITY
The antibody is a mouse monoclonal antibody raised against FSHb. It has been selected for its ability to recognize FSHb in immunohistochemical staining and western blotting.
USAGE
Immunohistochemistry: 5-30µg/mL;
Optimal working dilutions must be determined by end user.
STORAGE
Store at 4°C for frequent use. Stored at -20°C in a manual defrost freezer for two year without detectable loss of activity. Avoid repeated freeze-thaw cycles.
STABILITY
The thermal stability is described by the loss rate. The loss rate was determined by accelerated thermal degradation test, that is, incubate the protein at 37°C for 48h, and no obvious degradation and precipitation were observed. The loss rate is less than 5% within the expiration date under appropriate storage condition.
GIVEAWAYS
INCREMENT SERVICES
-
Antibody Labeling Customized Service
-
Protein A/G Purification Column
-
Staining Solution for Cells and Tissue
-
Positive Control for Antibody
-
Tissue/Sections Customized Service
-
Phosphorylated Antibody Customized Service
-
Western Blot (WB) Experiment Service
-
Immunohistochemistry (IHC) Experiment Service
-
Immunocytochemistry (ICC) Experiment Service
-
Flow Cytometry (FCM) Experiment Service
-
Immunoprecipitation (IP) Experiment Service
-
Immunofluorescence (IF) Experiment Service
-
Buffer
-
DAB Chromogen Kit
-
SABC Kit
-
Long-arm Biotin Labeling Kit
-
Real Time PCR Experimental Service
| Catalog No. | Related products for research use of Sus scrofa; Porcine (Pig) Organism species | Applications (RESEARCH USE ONLY!) |
| CPD017Mi21 | OVA Conjugated Follicle Stimulating Hormone Beta (FSHb) | Immunogen; SDS-PAGE; WB. |
| MAD017Mi01 | Monoclonal Antibody to Follicle Stimulating Hormone Beta (FSHb) | WB; IHC; ICC; IP. |
| MAD017Mi21 | Monoclonal Antibody to Follicle Stimulating Hormone Beta (FSHb) | WB; IHC |
| MAD017Mi22 | Monoclonal Antibody to Follicle Stimulating Hormone Beta (FSHb) | WB; IHC |
| MAD017Mi23 | Monoclonal Antibody to Follicle Stimulating Hormone Beta (FSHb) | IHC |
| MAD017Mi24 | Monoclonal Antibody to Follicle Stimulating Hormone Beta (FSHb) | IHC |

