Polyclonal Antibody to Leptin (LEP)
OB; OBS; Obesity Homolog; Obesity Factor; Obese Protein
- Product No.PAA084Hu06
- Organism SpeciesHomo sapiens (Human) Same name, Different species.
- SourcePolyclonal antibody preparation
- HostRabbit
- Potencyn/a
- Ig Type IgG
- PurificationAntigen-specific affinity chromatography followed by Protein A affinity chromatography
- LabelNone
- Immunogen n/a
- Buffer FormulationPBS, pH7.4, containing 0.02% NaN3, 50% glycerol.
- TraitsLiquid
- Concentration500µg/mL
- Organism Species MoreSus scrofa; Porcine (Pig)
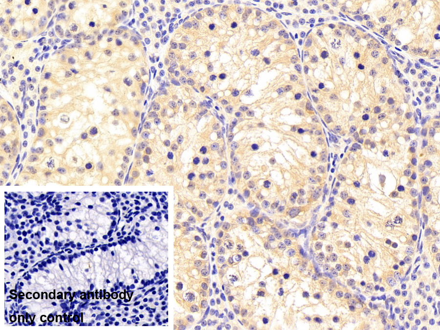
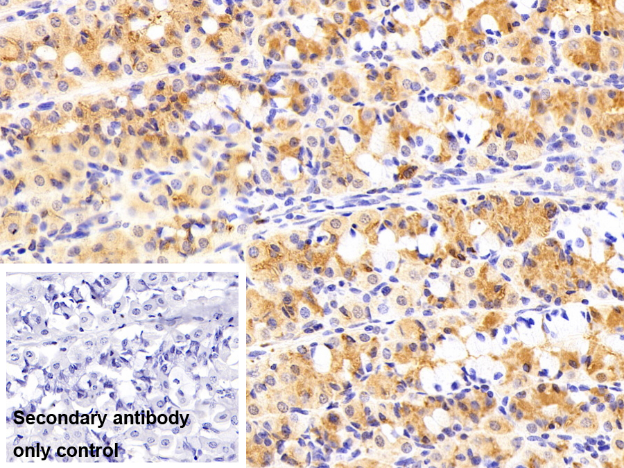
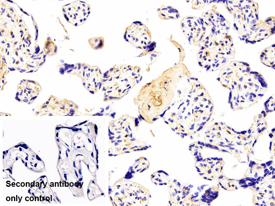
- ApplicationsIHC
If the antibody is used in flow cytometry, please check FCM antibodies. - Downloadn/a
- UOM 20µl100µl 200µl 1ml 10ml
- FOB
US$
US$
US$
US$
US$
For more details, please contact local distributors!
SPECIFITY
The antibody is a rabbit polyclonal antibody raised against LEP. It has been selected for its ability to recognize LEP in immunohistochemical staining and western blotting.
USAGE
Western blotting: 0.1-2µg/mL;
Immunohistochemistry: 5-20µg/mL;
Immunocytochemistry: 5-20µg/mL;
Optimal working dilutions must be determined by end user.
STORAGE
Store at 4°C for frequent use. Stored at -20°C in a manual defrost freezer for two year without detectable loss of activity. Avoid repeated freeze-thaw cycles.
STABILITY
The thermal stability is described by the loss rate. The loss rate was determined by accelerated thermal degradation test, that is, incubate the protein at 37°C for 48h, and no obvious degradation and precipitation were observed. The loss rate is less than 5% within the expiration date under appropriate storage condition.
GIVEAWAYS
INCREMENT SERVICES
-
Antibody Labeling Customized Service
-
Protein A/G Purification Column
-
Staining Solution for Cells and Tissue
-
Positive Control for Antibody
-
Tissue/Sections Customized Service
-
Phosphorylated Antibody Customized Service
-
Western Blot (WB) Experiment Service
-
Immunohistochemistry (IHC) Experiment Service
-
Immunocytochemistry (ICC) Experiment Service
-
Flow Cytometry (FCM) Experiment Service
-
Immunoprecipitation (IP) Experiment Service
-
Immunofluorescence (IF) Experiment Service
-
Buffer
-
DAB Chromogen Kit
-
SABC Kit
-
Long-arm Biotin Labeling Kit
-
Real Time PCR Experimental Service
| Magazine | Citations |
| European Journal of Pharmacology | Puerarin improves insulin resistance and modulates adipokine expression in rats fed a high-fat diet PubMed: 20869961 |
| Indian Journal of Pharmacology | Effect of Argyreia speciosa root extract on cafeteria diet-induced obesity in rats Ijp: source |
| Journal of endocrinology | Testosterone protects from metabolic syndrome-associated prostate inflammation: an experimental study in rabbit PubMed: 22010203 |
| PLoS One. | Multi-Functional Roles of Chitosan as a Potential Protective Agent against Obesity PubMed: 23342013 |
| Molecular and Cellular Endocrinology | Soy isoflavones modulate adipokines and myokines to regulate lipid metabolism in adipose tissue, skeletal muscle and liver of male Huanjiang mini-pigs ScienceDirect: S0303720712004194 |
| Journal of Animal and Feed Sciences | Ovarian, metabolic and endocrine indexes in dairy cows with different body condition scores Ifzz: Source |
| British Journal of Nutrition | n-6: n-3 PUFA ratio is involved in regulating lipid metabolism and inflammation in pigs Pubmed: 23947577 |
| Int J Mol Sci. | Maternal high folic acid supplement promotes glucose intolerance and insulin resistance in male mouse offspring fed a high-fat diet. Pubmed: 24736781 |
| Endocr J. | CTRP3 modulates the expression and secretion of adipokines in 3T3-L1 adipocytes Pubmed:25168658 |
| Animal Physiology | EFFECT OF LEPTIN GENE ON SERUM LEPTIN CONCENTRATION AND BEEF QUALITY IN CZECH FLECKVIEH BULLS Mendelu:Source |
| Evid Based Complement Alternat Med. | Tinospora crispa Ameliorates Insulin Resistance Induced by High Fat Diet in Wistar Rats Pubmed:Pmc4363645 |
| general endocrinology | Oxytocin reverse ovariectomy-induced Osteoper and body fat gain Pubmed:24506069 |
| Respiratory Physiology & Neurobiology | Maternal high-fat diet feeding during pregnancy and lactation augments lung inflammation and remodeling in the offspring Pubmed:25500158 |
| Sci Rep | Hepatic steatosis depresses alpha-1-antitrypsin levels in human and rat acute pancreatitis PubMed: 26634430 |
| Evid Based Complement Alternat Med | Tinospora crispa PubMed: 25821506 |
| Ankara | Effects of breeder age and early energy restriction on fattening performance, some meat quality traits and plasma leptin concentration of broilers Dergiler: 11 |
| MEDICINA VETERIN | Comparative measurements of the morphometric pattern and energy profile of Crioula mares in the final third of gestation, with different body condition scores Scielo: S0102-09352015000300707 |
| Pancreatic Disorders & Therapy | Pancreatic Exocrine Insufficiency Affects Not Only Digestibility of Nutrients and Growth, but Also Body Composition and Endocrinological Parameters – Study on Piglets Used As a Model for Children Journals: 2165-7092-%20S5-00 |
| Veterinary Word | Effect of extended photoperiod during winter on growth and onset of puberty in Murrah buffalo heifers Pubmed:27051212 |
| Animal | Anterior pituitary influence on adipokine expression and secretion by porcine adipocytes. Pubmed:27074715 |
| ANNALS OF ANIMAL SCIENCE | Comparison of the effect of a standard inclusion level of inorganic zinc to organic form at lowered level on bone development in growing male Ross broiler chickens journalprintahead:87 |
| Annals of Animal Science | Comparison of the Effect of a Standard Inclusion Level of Inorganic Zinc to Organic Form at Lowered Level on Bone Development in Growing Male Ross Broiler Chickens view:87 |
| Obes Surg. | Changes on Adipose Tissue Distribution After Laparoscopic Roux-en-Y Gastric Bypass in Obese Göttingen Minipig. Effects on Glucose Metabolism. Pubmed:27185175 |
| Acta Histochemica | Favorable outcomes of hydroxychloroquine in insulin resistance may be accomplished by adjustment of the endothelial dysfunction as well as the skewed balance of adipokines science:S0065128116301234 |
| J Biomed Mater Res A | Nanosized titanium dioxide resulted in the activation of TGF-β/Smads/p38MAPK pathway in renal inflammation and fibration of mice Pubmed:26850371 |
| Clin Epigenetics. | The bromodomain inhibitor N-methyl pyrrolidone reduced fat accumulation in an ovariectomized rat model Pubmed:27110299 |
| International Journal of Molecular Sciences | Oral Supplementation with a Special Additive of Retinyl Palmitate and Alpha Tocopherol Reduces Growth Retardation in Young Pancreatic Duct Ligated Pigs Used as a Model for Children Suffering from Exocrine Pancreatic Insufficiency pubmed:27690005 |
| Journal of Animal Science | Changes in small intestinal morphometry and electrogenic nutrient transport in young pigs with pancreatic exocrine insufficiency publications:jas |
| International Journal of Endocrinology | The Changes of Serum Leptin and Kisspeptin Levels in Chinese Children and Adolescents in Different Pubertal Stages pubmed:27990162 |
| journal of animal science | The effect of GnRH vaccination on performance, carcass, and meat quality and hormonal regulation in boars, barrows, and gilts. pubmed:27482668 |
| journal of animal science | Diet-induced modifications to milk composition have long-term effects on offspring growth in rabbits. pubmed:28380600 |
| Evidence-Based Complementary and Alternative Medicine | Four-Week Consumption of Malaysian Honey Reduces Excess Weight Gainand Improves Obesity-Related Parameters in High Fat Diet Induced ObeseRats. pubmed:28246535 |
| Asian-Australasian Journal of Animal Sciences | Dietary Niacin Supplementation Suppressed Hepatic Lipid Accumulation in Rabbits pubmed:27004817 |
| Stem Cell Research & Therapy | Serial changes in the proliferation and differentiation of adipose-derived stem cells after ionizingradiation. pubmed:27530249 |
| Obesity Surgery | Changes on Adipose Tissue Distribution After Laparoscopic Roux-en-Y Gastric Bypass in ObeseGöttingen Minipig. Effects on Glucose Metabolism. pubmed:27185175 |
| Meat Sci | Estimation of the intramuscular fat content of m. longissimus thoracis in crossbred beef cattle based on live animal measurements. pubmed:27940421 |
| THE INDIAN JOURNAL OF VETERINARY SCIENCES AND BIOTECHNOLOGY | Correlation of Leptin, Insulin and Glucose During Late Gestation and Early Lactation in Murrah Buffaloes 7086 |
| Journal of Animal and Plant Sciences | Effects Of Maca (Lepıdıum Meyenıı Walp) Powder On Serum Indıces And Metabolıc Responses In Racehorses 57cf073008ae83b37462323a.pdf |
| Biological Trace Element Research | Effect of Dietary Phytase Supplementation on Bone and Hyaline Cartilage Development of Broilers Fed with Organically Complexed Copper in a Cu-Deficient Diet article:10.1007 |
| Revista Brasileira de Ciência Avícola | Effect of Zinc Level and Source (Zinc Oxide Vs. Zinc Glycine) on Bone Mechanical and Geometric Parameters, and Histomorphology in Male Ross 308 Broiler Chicken 10.159:1806-9061-2016-0285 |
| Applied Animal Behaviour Science | Evaluating measures of exploratory behaviour in sows around farrowing and during lactation− A pilot study 10.1016/j.jacl.2017.03.007 |
| Proceedings of the National Academy of Sciences of the United States of America (PNAS) | cAMP-inducible coactivator CRTC3 attenuates brown adipose tissue thermogenesis Pubmed:29784793 |
| Oxidative Medicine and Cellular Longevity | Changes of Plasma FABP4, CRP, Leptin, and Chemerin Levels in relation to Different Dietary Patterns and Duodenal-Jejunal Omega Switch Surgery in Sprague … Pubmed:29849871 |
| Frontiers in Endocrinology | Circulating and Adipose Tissue mRNA Levels of Zinc-α2-Glycoprotein, Leptin, High-Molecular-Weight Adiponectin, and Tumor Necrosis Factor-Alpha in … Pubmed:29755407 |
| Journal of Agricultural and Food Chemistry | Metabolomics for the effect of biotin and nicotinamide on transition dairy cows Pubmed:29758980 |
| Frontiers in Physiology | Ileal Transposition Surgery Decreases Fat Mass and Improves Glucose Metabolism in Diabetic GK Rats: Possible Involvement of FGF21 Pubmed:29593555 |
| Bioscience Reports | Effect of maternal hypothyroidism during pregnancy on insulin resistance, lipid accumulation and mitochondrial dysfunction in skeletal muscle of fetal rats Pubmed:29784871 |
| Neurochemical Research | The leptin, dopamine and serotonin receptors in hypothalamic POMC-neurons of normal and obese rodents Pubmed:29397535 |
| PLoS One | Subsequent somatic axis and bone tissue metabolism responses to a low-zinc diet with or without phytase inclusion in broiler chickens Pubmed:29373588 |
| Biochemical and Biophysical Research Communications | Chronic cold exposure results in subcutaneous adipose tissue browning and altered global metabolism in Qinghai-Tibetan plateau pika (Ochotona curzoniae) Pubmed:29626477 |
| Alcohol and Alcoholism | Leptin Expression and Gene Methylation Patterns in Alcohol-Dependent Patients with Ethyltoxic Cirrhosis—Normalization After Liver Transplantation and Implications … Pubmed:29912265 |
| Iranian Red Crescent Medical Journal | The Effect of Aerobic Training on Tumor Growth, Adiponectin, Leptin and Ghrelin in Mice with Breast Cancer ircmj-20-03-13305.pdf |
| Pakistan Journal of Zoology | Effects of Intrauterine Growth Retardation on Growth, Meat Quality and Muscle Fiber Composition of Pigs. : |
| Oncotarget | Epigallocatechin-3-gallate suppresses differentiation of adipocytes via regulating the phosphorylation of FOXO1 mediated by PI3K-AKT signaling in 3T3-L1 … Pubmed:29484120 |
| УСПЕХИ ГЕРОНТОЛОГИИ | ВЛИЯНИЕ МЕТФОРМИНА НА МЕТАБОЛИЧЕСКИЕ ПОКАЗАТЕЛИ И ГИПОТАЛАМИЧЕСКИЕ СИГНАЛЬНЫЕ СИСТЕМЫ У КРЫС С ОЖИРЕНИЕМ … AG_2018-31-01.pdf |
| Food Science and Technology Research | Combinational Effect of Pine Needle Polysaccharide and Kudzu Flavonoids on Cell Differentiation and Fat Metabolism in 3T3-L1 Cells Doi: 10.3136/fstr.24.903 |
| Nutrients | Effects of Metformin Combined with Lactoferrin on Lipid Accumulation and Metabolism in Mice Fed with High-Fat Diet Pubmed: 30400147 |
| Psychopharmacology | Betahistine effects on weight-related measures in patients treated with antipsychotic medications: a double-blind placebo-controlled study Pubmed: 30382354 |
| Progress in Nutrition | Effect of fermented food consumption on biochemical parameters and adipokines levels Doi: 0.23751/pn.v20i4.7374 |
| THE INDIAN JOURNAL OF VETERINARY SCIENCES & BIOTECHNOLOGY | THE INDIAN JOURNAL OF VETERINARY SCIENCES & BIOTECHNOLOGY |
| Biomedicine & Pharmacotherapy | Raspberry ketone and Garcinia Cambogia rebalanced disrupted insulin resistance and leptin signaling in rats fed high fat fructose diet Pubmed: 30530230 |
| Nutrition in the Prevention and Treatment of Abdominal Obesity | Effects of Diet-Induced Early-Stage Obesity on a Low-Testosterone Gottingen Minipig |
| Scientific Reports | Obesity Aggravates Acute Pancreatitis via Damaging Intestinal Mucosal Barrier and Changing Microbiota Composition in Rats Pubmed: 30635594 |
| Atherosclerotic diseases | Cardiotrophin-1 and leptin as cardiovascular risk markers in male patients with obstructive sleep apnea syndrome Pubmed: 30775602 |
| PLoS One | Impact of exposure to diesel exhaust during pregnancy on mammary gland development and milk composition in the rabbit Pubmed: 30763367 |
| Scientific Journal of Kurdistan University of Medical Sciences | Effect of High Intensity Interval Training (HIIT) on visceral and subcutaneous levels of leptin and plasma insulin and glucose in male Wistar rats |
| PLOS ONE | The evidence of metabolic-improving effect of metformin in Ay/a mice with genetically-induced melanocortin obesity and the contribution of hypothalamic … Pubmed: 30870482 |
| International Journal of Pharmaceutical Research & Allied Sciences | Osteoprotegerin Levels among Saudi Cardiovascular Patients. |
| Journal of Ethnopharmacology | Anti-obesity effect of argel (Solenostemma argel) on obese rats fed a high fat diet |
| Gene | Expression of adipokines and their receptors in adipose tissue of women with class 3 obesity with or without hypertension Pubmed: 30940525 |
| 中国药理学通报 | 冷暴露对高脂饮食小鼠脂肪棕色化的影响 |
| Arch Physiol Biochem | Associations of apelin, leptin, irisin, ghrelin, insulin, glucose levels, and lipid parameters with physical activity during eight weeks of regular exercise training Pubmed: 31290696 |
| Food & Function | A dietary polysaccharide from Eucheuma cottonii downregulates proinflammatory cytokines and ameliorates osteoarthritis-associated cartilage degradation in obese … |
| Nutrients | High-dose Glycerol Monolaurate Up-Regulated Beneficial Indigenous Microbiota without Inducing Metabolic Dysfunction and Systemic Inflammation: New Insights … |
| Developmental Dynamics | Puberty is a critical window for the impact of diet on mammary gland development in the rabbit Pubmed: 31348557 |
| Adv Gerontol | The Effect of Different Types of Bariatric Surgery on Metabolic and Hormonal Parameters in Rats with a Decompensated Form of Type II Diabetes Mellitus Pubmed: 31228372 |
| Proceedings of the Royal Society B: Biological Sciences | Paternal chronic folate supplementation induced the transgenerational inheritance of acquired developmental and metabolic changes in chickens Pubmed: 31506054 |
| Food & Function | Collaborative Effects of Chlorogenic Acid and Caffeine on Lipid Metabolism via AMPKα-LXRα/SREBP-1c Pathway in High-Fat Diet-Induced Obese Mice Pubmed: 31670366 |
| journal of ethnopharmacology | Dietary supplementation of Morus nigra L. leaves decrease fat mass partially through elevating leptin-stimulated lipolysis in pig model Pubmed: 31756448 |
| Annals of Nutrition and Metabolism | Serum Asprosin Concentrations Are Increased and Associated with Insulin Resistance in Children with Obesity Pubmed: 31775140 |
| Journal of Ethnopharmacology | Upregulation of MC4R and PPAR-α expression mediates the anti-obesity activity of Moringa oleifera Lam. in high-fat diet-induced obesity in rats Pubmed: 31911179 |
| Journal of Natural Products | Prenylated Phenolic Compounds from the Aerial Parts of Glycyrrhiza uralensis as PTP1B and α-Glucosidase Inhibitors Pubmed: 32196343 |
| gynecological endocrinology | Salivary Leptin and Chemerin; a novel way of gestational diabetes screening Pubmed: 32274942 |
| Frontiers in Endocrinology | RFRP-3, the Mammalian Ortholog of GnIH, Is a Novel Modulator Involved in Food Intake and Glucose Homeostasis Pubmed: 32328034 |
| Ann Nutr Metab | Copeptin and Nesfatin-1 Are Interrelated Biomarkers with Roles in the Pathogenesis of Insulin Resistance in Chinese Children with Obesity Pubmed: 33027789 |
| ANDROLOGIA | The effect of metformin treatment on the basal and gonadotropin‐stimulated steroidogenesis in male rats with type 2 diabetes mellitus Pubmed: 32951228 |
| GENERAL AND COMPARATIVE ENDOCRINOLOGY | Adipokines expression profiles in both plasma and peri renal adipose tissue in Large White and Meishan sows: a possible involvement in the fattening and … Pubmed: 32827511 |
| Nutrition & Diabetes | C-Peptide and leptin system in dichorionic, small and appropriate for gestational age twins—possible link to metabolic programming? Pubmed: 32778645 |
| BIOLOGICAL TRACE ELEMENT RESEARCH | Ameliorative Effect of Ananas comosus on Cobalt Chloride-Induced Hypoxia in Caco2 cells via HIF-1α, GLUT 1, VEGF, ANG and FGF Pubmed: 32654099 |
| plos one | Serum leptin level is associated with phase angle in CKD5 patients not undergoing dialysis Pubmed: 30089154 |
| Journal of reproduction and fertility | Blastomere removal affects homeostatic control leading to obesity in male mice Pubmed: 33112292 |
| Journal of Evolutionary Biochemistry and Physiology | The Effect of Diet-Induced and Melanocortin Obesity on Expression of Tryptophan Hydroxylase 2 in the Dorsal Raphe Nucleus and Ventral Tegmental Area in Mice |
| Indian Journal of Animal Sciences | Peripheral concentrations of metabolic and inflammatory indicators during transition period and their relationship with postpartum clinical endometritis in dairy … |
| СОСТОЯНИЕ МЕЛАТОНИН-АССОЦИИРОВАННОЙ ГОРМОНАЛЬНОЙ СИСТЕМЫ У ДЕТЕЙ С ИЗБЫТОЧНОЙ МАССОЙ ТЕЛА | |
| biorxiv | Altered hematopoietic system and self-tolerance in Bardet-Biedl Syndrome |
| The Egyptian Journal of Neurology, Psychiatry and Neurosurgery volume | Serum leptin and body mass index in a sample of Egyptian multiple sclerosis patients |
| Biosci Rep | A 12-week aerobic exercise improves metabolic function with lower adipose tissue and ectopic fat in high fat diet fed rats 33432988 |
| Cell Metab | TMBIM1 is an inhibitor of adipogenesis and its depletion promotes adipocyte hyperplasia and improves obesity-related metabolic disease 34107313 |
| International Journal of Endocrinology | Effect of Ileal Transposition (IT) on Angiopoietin-Like Protein-8 (ANGPTL8) and Pentraxin (PTX3) Plasma Level in Sprague-Dawley Rats Fed High-Fat Diet?¡ 34035808 |
| EUROPEAN JOURNAL OF LIPID SCIENCE AND TECHNOLOGY | Different Ratios of Corn and Coconut Oil Blends in High©\Fat Diets Influence Fat Deposition without Altering Metabolic Biomarkers in Male Rats |
| The pharma innovation Journal | Comparative study on genital status, energy balance and mineral content of swamp buffalo (Luit) heifers and cows under organized system of rearing in Assam?¡ |
| Indian Journal of Forensic Medicine & Toxicology | Altered Serum Marker of Adipokines Profile in Breast Cancer Women |
| PPAR Research | Activation of the Peroxisome Proliferator-Activated Receptors (PPAR-α/γ) and the Fatty Acid Metabolizing Enzyme Protein CPT1A by Camel Milk Treatment … 34306045 |
| Br J Nutr | The Association of Pre-Pregnancy BMI On Leptin, Ghrelin, Adiponectin, and IGF-1 In Breast Milk, A Case Control Study 34348809 |
| Ann Med Surg (Lond) | Maternal and fetal serum leptin levels and their association with maternal and fetal variables and labor: A cross-sectional study 34815864 |
| Biofactors | Vitamin D3 enhances the effects of omega‐3 oils against metabolic dysfunction‐associated fatty liver disease in rat 34767670 |
| Nat Commun | GP73 is a TBC-domain Rab GTPase-activating protein contributing to the pathogenesis of non-alcoholic fatty liver disease without obesity 34853313 |
| Int J Mol Sci | The Effects of Separate and Combined Treatment of Male Rats with Type 2 Diabetes with Metformin and Orthosteric and Allosteric Agonists of Luteinizing Hormone … Pubmed:35008624 |
| Bull Exp Biol Med | Comparative Study of the Restoring Effect of Metformin, Gonadotropin, and Allosteric Agonist of Luteinizing Hormone Receptor on Spermatogenesis in Male Rats with … Pubmed:35175480 |
| Naunyn Schmiedebergs Arch Pharmacol | Intragastric safflower yellow and its main component HSYA improve leptin sensitivity before body weight change in diet-induced obese mice Pubmed:35201390 |
| npj Biofilms and Microbiomes | The microbiota-gut-kidney axis mediates host osmoregulation in a small desert mammal Pubmed:35379849 |
| Ecotoxicol Environ Saf | Monochromatic blue light not green light exposure is associated with continuous light-induced hepatic steatosis in high fat diet fed-mice via oxidative stress Pubmed:35588616 |
| Biomed Res Int | Seahorse Protein Hydrolysate Ameliorates Proinflammatory Mediators and Cartilage Degradation on Posttraumatic Osteoarthritis with an Obesity Rat Model Pubmed:35509713 |
| Endocr J | A novel anti-obesity mechanism for liraglutide by improving adipose tissue leptin resistance in high-fat diet-fed obese mice Pubmed:35705299 |
| Impact of pre-breeding feeding practices on rabbit mammary gland development at mid-pregnancy. | |
| High Circulating Fibroblast Growth Factor-21 Levels as a Prognostic Marker in Fatty Pancreas Patients | |
| Dairy Cattle Physiology Division ICAR-National Dairy Research Institute, Karnal-132001, Haryana, India Corresponding Authors Email ID: menalsh08vets … | |
| Scientific Reports | SARS-CoV2 Induced Biochemical Mechanisms in Liver Damage and Intestinal Lesions. |
| Catalog No. | Related products for research use of Homo sapiens (Human) Organism species | Applications (RESEARCH USE ONLY!) |
| APA084Hu01 | Active Leptin (LEP) | Cell culture; Activity Assays. |
| RPA084Hu01 | Recombinant Leptin (LEP) | Positive Control; Immunogen; SDS-PAGE; WB. |
| EPA084Hu61 | Eukaryotic Leptin (LEP) | Positive Control; Immunogen; SDS-PAGE; WB. |
| PAA084Hu01 | Polyclonal Antibody to Leptin (LEP) | WB; IHC |
| PAA084Hu06 | Polyclonal Antibody to Leptin (LEP) | IHC |
| LAA084Hu71 | Biotin-Linked Polyclonal Antibody to Leptin (LEP) | WB; IHC; ICC. |
| LAA084Hu81 | FITC-Linked Polyclonal Antibody to Leptin (LEP) | WB; IHC; ICC; IF. |
| MAA084Hu22 | Monoclonal Antibody to Leptin (LEP) | WB; IHC |
| MAA084Hu21 | Monoclonal Antibody to Leptin (LEP) | WB |
| MAA084Hu23 | Monoclonal Antibody to Leptin (LEP) | WB |
| MAA084Hu24 | Monoclonal Antibody to Leptin (LEP) | IHC |
| MAA084Hu25 | Monoclonal Antibody to Leptin (LEP) | IHC |
| FAA084Hu02 | Anti-Leptin (LEP) Monoclonal Antibody | FCM |
| FAA084Hu04 | Anti-Leptin (LEP) Monoclonal Antibody | FCM |
| HEA084Hu | High Sensitive ELISA Kit for Leptin (LEP) | Enzyme-linked immunosorbent assay for Antigen Detection. |
| SEA084Hu | ELISA Kit for Leptin (LEP) | Enzyme-linked immunosorbent assay for Antigen Detection. |
| MEA084Hu | Mini Samples ELISA Kit for Leptin (LEP) | Enzyme-linked immunosorbent assay for Antigen Detection. |
| SCA084Hu | CLIA Kit for Leptin (LEP) | Chemiluminescent immunoassay for Antigen Detection. |
| LMA084Hu | Multiplex Assay Kit for Leptin (LEP) ,etc. by FLIA (Flow Luminescence Immunoassay) | FLIA Kit for Antigen Detection. |
| KSA084Hu01 | ELISA Kit DIY Materials for Leptin (LEP) | Main materials for "Do It (ELISA Kit) Yourself". |
