Polyclonal Antibody to Alpha-2-Heremans Schmid Glycoprotein (AHSG)
aHSG; HSGa; A2HS; AHS; FETUA; HSG-A2; Fetuin-A; Alpha 2-HS Glycoprotein; Fetuin A; Alpha-2-Z-Globulin; Ba-alpha-2-Glycoprotein
- Product No.PAA178Bo01
- Organism SpeciesBos taurus; Bovine (Cattle) Same name, Different species.
- SourcePolyclonal antibody preparation
- HostRabbit
- Potencyn/a
- Ig Type IgG
- PurificationAntigen-specific affinity chromatography followed by Protein A affinity chromatography
- LabelNone
- Immunogen RPA178Bo01-Recombinant Alpha-2-Heremans Schmid Glycoprotein (AHSG)
- Buffer FormulationPBS, pH7.4, containing 0.02% NaN3, 50% glycerol.
- TraitsLiquid
- Concentration0.86mg/ml
- Organism Species MoreHomo sapiens (Human)
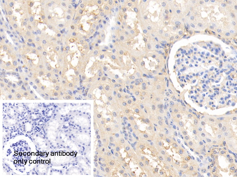
- ApplicationsWB; IHC
If the antibody is used in flow cytometry, please check FCM antibodies. - DownloadInstruction Manual
- UOM 20µl100µl 200µl 1ml 10ml
- FOB
US$ 113
US$ 265
US$ 378
US$ 945
US$ 3780
For more details, please contact local distributors!
SPECIFITY
The antibody is a rabbit polyclonal antibody raised against AHSG. It has been selected for its ability to recognize AHSG in immunohistochemical staining and western blotting.
USAGE
Western blotting: 0.5-2µg/mL;
Immunohistochemistry: 5-20µg/mL;
Immunocytochemistry: 5-20µg/mL;
Optimal working dilutions must be determined by end user.
STORAGE
Store at 4°C for frequent use. Stored at -20°C in a manual defrost freezer for two year without detectable loss of activity. Avoid repeated freeze-thaw cycles.
STABILITY
The thermal stability is described by the loss rate. The loss rate was determined by accelerated thermal degradation test, that is, incubate the protein at 37°C for 48h, and no obvious degradation and precipitation were observed. The loss rate is less than 5% within the expiration date under appropriate storage condition.
GIVEAWAYS
INCREMENT SERVICES
-
Antibody Labeling Customized Service
-
Protein A/G Purification Column
-
Staining Solution for Cells and Tissue
-
Positive Control for Antibody
-
Tissue/Sections Customized Service
-
Phosphorylated Antibody Customized Service
-
Western Blot (WB) Experiment Service
-
Immunohistochemistry (IHC) Experiment Service
-
Immunocytochemistry (ICC) Experiment Service
-
Flow Cytometry (FCM) Experiment Service
-
Immunoprecipitation (IP) Experiment Service
-
Immunofluorescence (IF) Experiment Service
-
Buffer
-
DAB Chromogen Kit
-
SABC Kit
-
Long-arm Biotin Labeling Kit
-
Real Time PCR Experimental Service
| Magazine | Citations |
| Journal of Proteomics | Proteomic analysis reveals oxidative stress response as the main adaptative physiological mechanism in cows under different production systems ScienceDirect: S1874391912002084 |
| Journal of Physiology and Biochemistry | Curcumin prevents liver fat accumulation and serum fetuin-A increase in rats fed a high-fat diet PubMed: 23430567 |
| BioMed Research International | Serum Fetuin-A Levels Related with Microalbuminuria in Diet-Induced Obese Rats PubMed: PMC3591142 |
| Osteoporosis International | Estrogen increases the transcription of human α2-Heremans-Schmid-glycoprotein by an interplay of estrogen receptor α and activator protein-1. Pubmed: 24504099 |
| BMC Pharmacology and Toxicology | A novel 11β-hydroxysteroid dehydrogenase type1 inhibitor CNX-010-49 improves hyperglycemia, lipid profile and reduces body weight in diet induced obese C57B6/J mice with a potential to provide cardio protective benefits Pubmed:25098735 |
| Acta Dermatovenerologica Croatica | Relationship Between Serum Fetuin-A Levels and Carotid Intima-media Thickness in Turkish Patients with Mild to Moderate Psoriasis. A Case-control Study PubMed: 26476900 |
| Mol Cell Endocrinol | Fetuin A promotes lipotoxicity in β cells through the TLR4 signaling pathway and the role of pioglitazone in anti-lipotoxicity. PubMed: 25986658 |
| Ann Dermatol | Evaluation of Arterial Stiffness in Patients with Beh PubMed: 26719639 |
| Endocrine | Visceral and subcutaneous adipose tissue express and secrete functional alpha2hsglycoprotein (fetuin a) especially in obesity pubmed:27738888 |
| Diabetes Care | Targeted Microbiome Intervention by Microencapsulated Delayed-Release Niacin Beneficially Affects Insulin Sensitivity in Humans pubmed:29212824 |
| JOURNAL OF ALZHEIMERS DISEASE | Acute Anti-Inflammatory Markers ITIH4 and AHSG in Mice Brain of a Novel Alzheimer's Disease Model Pubmed: 30958362 |
| Journal of Alzheimer's Disease | A New Serum Biomarker Set to Detect Mild Cognitive Impairment and Alzheimer's Disease by Peptidome Technology Pubmed: 31771070 |
| Sci Rep | Ileal transposition helps to regulate plasma hepatokine levels in obese Zucker (Crl: ZUC (ORL)-Lepr fa) rats 33833309 |
| J Obstet Gynaecol Res | Predıctıve value of pregnancy of follıcular fluıd fetuın‐A and‐B levels ın infertıle women after intra‐cytoplasmic sperm injection 34708901 |
| Catalog No. | Related products for research use of Bos taurus; Bovine (Cattle) Organism species | Applications (RESEARCH USE ONLY!) |
| RPA178Bo01 | Recombinant Alpha-2-Heremans Schmid Glycoprotein (AHSG) | Positive Control; Immunogen; SDS-PAGE; WB. |
| PAA178Bo01 | Polyclonal Antibody to Alpha-2-Heremans Schmid Glycoprotein (AHSG) | WB; IHC |
| MAA178Bo21 | Monoclonal Antibody to Alpha-2-Heremans Schmid Glycoprotein (AHSG) | WB; IHC; ICC; IP. |
| SEA178Bo | ELISA Kit for Alpha-2-Heremans Schmid Glycoprotein (AHSG) | Enzyme-linked immunosorbent assay for Antigen Detection. |
| LMA178Bo | Multiplex Assay Kit for Alpha-2-Heremans Schmid Glycoprotein (AHSG) ,etc. by FLIA (Flow Luminescence Immunoassay) | FLIA Kit for Antigen Detection. |
| KSA178Bo01 | ELISA Kit DIY Materials for Alpha-2-Heremans Schmid Glycoprotein (AHSG) | Main materials for "Do It(ELISA Kit) Yourself" |
| PGA178Bo01 | Primer Pair for Alpha-2-Heremans Schmid Glycoprotein (AHSG) | PCR |
| CGA178Bo01 | cDNA of Alpha-2-Heremans Schmid Glycoprotein (AHSG) | PCR; Protein Expression; etc. |

