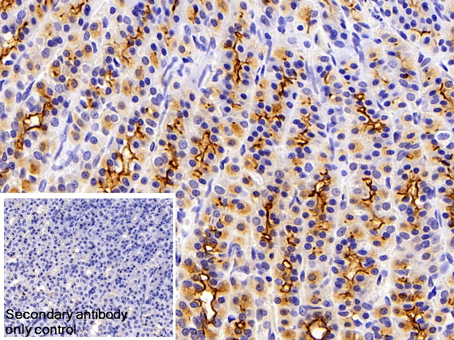
Polyclonal Antibody to Mucin 1 (MUC1)
CD227; EMA; H23AG; KL-6; PEM; PEMT; PUM; CA15-3; CA153; Cancer antigen 15-3; Carcinoma-associated mucin; Episialin; Peanut-reactive urinary mucin; Polymorphic epithelial mucin
- Product No.PAA413Ra01
- Organism SpeciesRattus norvegicus (Rat) Same name, Different species.
- SourcePolyclonal antibody preparation
- HostRabbit
- Potencyn/a
- Ig Type IgG
- PurificationAntigen-specific affinity chromatography followed by Protein A affinity chromatography
- LabelNone
- Immunogen RPA413Ra01-Recombinant Mucin 1 (MUC1)
- Buffer Formulation0.01M PBS, pH7.4, containing 0.05% Proclin-300, 50% glycerol.
- TraitsLiquid
- Concentration0.32mg/mL
- Organism Species Moren/a
- ApplicationsIHC
If the antibody is used in flow cytometry, please check FCM antibodies. - DownloadInstruction Manual
- UOM 20µl100µl 200µl 1ml 10ml
- FOB
US$ 103
US$ 239
US$ 342
US$ 855
US$ 3420
For more details, please contact local distributors!
SPECIFITY
The antibody is a rabbit polyclonal antibody raised against MUC1. It has been selected for its ability to recognize MUC1 in immunohistochemical staining and western blotting.
USAGE
Western blotting: 0.01-2µg/mL;
Immunohistochemistry: 5-20µg/mL;
Immunocytochemistry: 5-20µg/mL;
Optimal working dilutions must be determined by end user.
STORAGE
Store at 4°C for frequent use. Stored at -20°C in a manual defrost freezer for two year without detectable loss of activity. Avoid repeated freeze-thaw cycles.
STABILITY
The thermal stability is described by the loss rate. The loss rate was determined by accelerated thermal degradation test, that is, incubate the protein at 37°C for 48h, and no obvious degradation and precipitation were observed. The loss rate is less than 5% within the expiration date under appropriate storage condition.
GIVEAWAYS
INCREMENT SERVICES
-
Antibody Labeling Customized Service
-
Protein A/G Purification Column
-
Staining Solution for Cells and Tissue
-
Positive Control for Antibody
-
Tissue/Sections Customized Service
-
Phosphorylated Antibody Customized Service
-
Western Blot (WB) Experiment Service
-
Immunohistochemistry (IHC) Experiment Service
-
Immunocytochemistry (ICC) Experiment Service
-
Flow Cytometry (FCM) Experiment Service
-
Immunoprecipitation (IP) Experiment Service
-
Immunofluorescence (IF) Experiment Service
-
Buffer
-
DAB Chromogen Kit
-
SABC Kit
-
Long-arm Biotin Labeling Kit
-
Real Time PCR Experimental Service
| Magazine | Citations |
| Annals of surgical oncology | Pancreatic cyst fluid and serum mucin levels predict dysplasia in intraductal papillary mucinous neoplasms of the pancreas. PubMed: 20717734 |
| J Hum Lact | Host Defense Proteins in Breast Milk and Neonatal Yeast Colonization PubMed: 26116637 |
| Breast | Activated Leukocyte Cell Adhesion Molecule (ALCAM) in Saudi Breast Cancer Patients as Prognostic and Predictive Indicator PubMed: 26446295 |
| PLoS One. | The Presence and Anti-HIV-1 Function of Tenascin C in Breast Milk and Genital Fluids Pubmed:27182834 |
| Int J Clin Exp Med | The influence of long-term corneal contact lens wearing on the stability and quality of tear film in Qinghai files:ijcem0020163.pdf |
| Talanta | Ultrasensitive detection of mucin 1 biomarker by immuno-loop-mediated isothermal amplification. pubmed:28107977 |
| Cellular Microbiology | An adherent mucus layer attenuates the genotoxic effect of colibactin. pubmed:29156489 |
| Bio-protocol | Enhancement of Mucus Production in Eukaryotic Cells and Quantification of Adherent Mucus by ELISA 10.21769:BioProtoc.2879 |
| Biosensors and Bioelectronics | Aptasensors as a new sensing technology developed for the detection of MUC1 mucin: A review |
| Journal of Electroanalytical Chemistry | A highly sensitive label-free electrochemical immunosensor based on AuNPs-PtNPs-MOFs for nuclear matrix protein 22 analysis in urine sample |
| Catalog No. | Related products for research use of Rattus norvegicus (Rat) Organism species | Applications (RESEARCH USE ONLY!) |
| RPA413Ra01 | Recombinant Mucin 1 (MUC1) | Positive Control; Immunogen; SDS-PAGE; WB. |
| RPA413Ra02 | Recombinant Mucin 1 (MUC1) | Positive Control; Immunogen; SDS-PAGE; WB. |
| PAA413Ra01 | Polyclonal Antibody to Mucin 1 (MUC1) | IHC |
| PAA413Ra02 | Polyclonal Antibody to Mucin 1 (MUC1) | WB; IHC; ICC; IP. |
| MAA413Ra21 | Monoclonal Antibody to Mucin 1 (MUC1) | WB; IHC; ICC; IP. |
| SEA413Ra | ELISA Kit for Mucin 1 (MUC1) | Enzyme-linked immunosorbent assay for Antigen Detection. |
| LMA413Ra | Multiplex Assay Kit for Mucin 1 (MUC1) ,etc. by FLIA (Flow Luminescence Immunoassay) | FLIA Kit for Antigen Detection. |
| KSA413Ra01 | ELISA Kit DIY Materials for Mucin 1 (MUC1) | Main materials for "Do It(ELISA Kit) Yourself" |

