Polyclonal Antibody to Lactate Dehydrogenase A (LDHA)
LDH-A; LDH-M; LDH1; PIG19; Cell proliferation-inducing gene 19 protein; LDH muscle subunit; Renal carcinoma antigen NY-REN-59
- Product No.PAB370Hu01
- Organism SpeciesHomo sapiens (Human) Same name, Different species.
- SourcePolyclonal antibody preparation
- HostRabbit
- Potencyn/a
- Ig Type IgG
- PurificationAntigen-specific affinity chromatography followed by Protein A affinity chromatography
- LabelNone
- Immunogen RPB370Hu01-Recombinant Lactate Dehydrogenase A (LDHA)
- Buffer Formulation0.01M PBS, pH7.4, containing 0.05% Proclin-300, 50% glycerol.
- TraitsLiquid
- Concentration0.5mg/mL
- Organism Species MoreMus musculus (Mouse), Rattus norvegicus (Rat), Sus scrofa; Porcine (Pig)
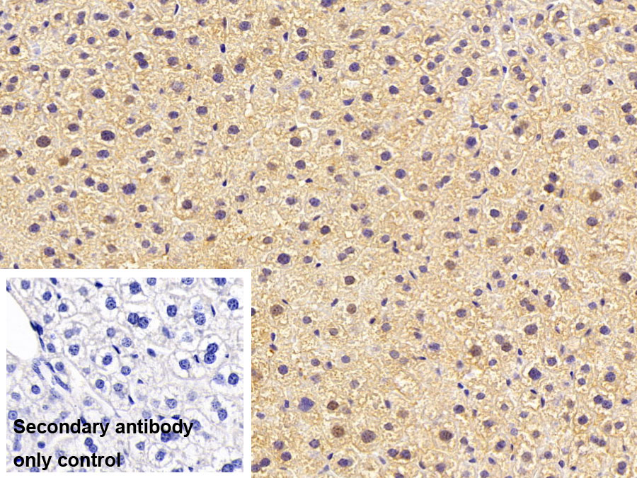
- ApplicationsWB; IHC; ICC/IF
If the antibody is used in flow cytometry, please check FCM antibodies. - DownloadInstruction Manual
- UOM 20µl100µl 200µl 1ml 10ml
- FOB
US$ 100
US$ 232
US$ 332
US$ 830
US$ 3320
For more details, please contact local distributors!
SPECIFITY
The antibody is a rabbit polyclonal antibody raised against LDHA. It has been selected for its ability to recognize LDHA in immunohistochemical staining and western blotting.
USAGE
Western blotting: 0.01-2µg/mL;
Immunohistochemistry: 5-20µg/mL;
Immunofluorescence: 5-20µg/mL;
Optimal working dilutions must be determined by end user.
STORAGE
Store at 4°C for frequent use. Stored at -20°C in a manual defrost freezer for two year without detectable loss of activity. Avoid repeated freeze-thaw cycles.
STABILITY
The thermal stability is described by the loss rate. The loss rate was determined by accelerated thermal degradation test, that is, incubate the protein at 37°C for 48h, and no obvious degradation and precipitation were observed. The loss rate is less than 5% within the expiration date under appropriate storage condition.
GIVEAWAYS
INCREMENT SERVICES
-
Antibody Labeling Customized Service
-
Protein A/G Purification Column
-
Staining Solution for Cells and Tissue
-
Positive Control for Antibody
-
Tissue/Sections Customized Service
-
Phosphorylated Antibody Customized Service
-
Western Blot (WB) Experiment Service
-
Immunohistochemistry (IHC) Experiment Service
-
Immunocytochemistry (ICC) Experiment Service
-
Flow Cytometry (FCM) Experiment Service
-
Immunoprecipitation (IP) Experiment Service
-
Immunofluorescence (IF) Experiment Service
-
Buffer
-
DAB Chromogen Kit
-
SABC Kit
-
Long-arm Biotin Labeling Kit
-
Real Time PCR Experimental Service
| Magazine | Citations |
| 33 | Extracellular Lactate Dehydrogenase A Release From Damaged Neurons Drives Central Nervous System Angiogenesis pubmed:29248508 |
| International Journal of Clinical and Experimental Medicine | Effects of fecal microbiota transplantation and joint application of probiotics on rats with alcoholic liver disease |
| Docosahexaenoic acid (DHA), a nutritional supplement, modulates steroid insensitivity in asthma | |
| Chrysin serves as a novel inhibitor of DGKα/FAK interaction to suppress the malignancy of esophageal squamous cell carcinoma (ESCC) | |
| ACS Omega | SOD1 is a Possible Predictor of COVID-19 Progression as Revealed by Plasma Proteomics 34250342 |
| Nutrients | Mokko Lactone Alleviates Doxorubicin-Induced Cardiotoxicity in Rats via Antioxidant, Anti-Inflammatory, and Antiapoptotic Activities. Nutrients 2022, 14, 733 Pubmed:35215383 |
| Pharmaceutics | Co-Delivery of Docosahexaenoic Acid and Brain-Derived Neurotropic Factor from Electrospun Aligned Core–Shell Fibrous Membranes in Treatment of Spinal Cord … Pubmed:35214053 |
| Catalog No. | Related products for research use of Homo sapiens (Human) Organism species | Applications (RESEARCH USE ONLY!) |
| RPB370Hu01 | Recombinant Lactate Dehydrogenase A (LDHA) | Positive Control; Immunogen; SDS-PAGE; WB. |
| PAB370Hu01 | Polyclonal Antibody to Lactate Dehydrogenase A (LDHA) | WB; IHC; ICC/IF |
| LAB370Hu81 | FITC-Linked Polyclonal Antibody to Lactate Dehydrogenase A (LDHA) | WB; IHC; ICC; IF. |
| LAB370Hu71 | Biotin-Linked Polyclonal Antibody to Lactate Dehydrogenase A (LDHA) | WB; IHC; ICC. |
| MAB370Hu22 | Monoclonal Antibody to Lactate Dehydrogenase A (LDHA) | WB; IHC; ICC; IP. |
| SEB370Hu | ELISA Kit for Lactate Dehydrogenase A (LDHA) | Enzyme-linked immunosorbent assay for Antigen Detection. |
| LMB370Hu | Multiplex Assay Kit for Lactate Dehydrogenase A (LDHA) ,etc. by FLIA (Flow Luminescence Immunoassay) | FLIA Kit for Antigen Detection. |

