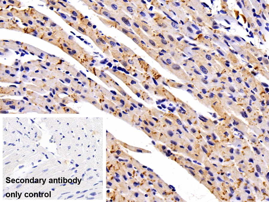
Polyclonal Antibody to N-cadherin (NCAD)
CDw325; CD325; CDHN; CDH2; Cadherin 2 Type 1; N-Cadherin
- Product No.PAB481Ra02
- Organism SpeciesRattus norvegicus (Rat) Same name, Different species.
- SourcePolyclonal antibody preparation
- HostRabbit
- Potencyn/a
- Ig Type IgG
- PurificationAntigen-specific affinity chromatography followed by Protein A affinity chromatography
- LabelNone
- Immunogen n/a
- Buffer FormulationPBS, pH7.4, containing 0.01% SKL, 1mM DTT, 5% Trehalose and Proclin300.
- TraitsLiquid
- Concentration500µg/mL
- Organism Species MoreMus musculus (Mouse), Sus scrofa; Porcine (Pig)
- ApplicationsWB; IHC
 If the antibody is used in flow cytometry, please check FCM antibodies.
- DownloadInstruction Manual
- UOM 20µl100µl 200µl 1ml 10ml
- FOB
    
                                    US$ 109 
            
                
                        US$ 253 
                                        US$ 362 
                                        US$ 905 
                                        US$ 3620 
                            
 For more details, please contact local distributors!
SPECIFITY
The antibody is a rabbit polyclonal antibody raised against NCAD. It has been selected for its ability to recognize NCAD in immunohistochemical staining and western blotting.
USAGE
        
                        Western blotting: 0.2-2µg/mL;1:250-2500
                        
 Immunohistochemistry: 5-20µg/mL;1:25-100
                        
 Immunocytochemistry: 5-20µg/mL;1:25-100
                        
 Optimal working dilutions must be determined by end user.
                        
    
STORAGE
Store at 4°C for frequent use. Stored at -20°C in a manual defrost freezer for two year without detectable loss of activity. Avoid repeated freeze-thaw cycles.
STABILITY
The thermal stability is described by the loss rate. The loss rate was determined by accelerated thermal degradation test, that is, incubate the protein at 37°C for 48h, and no obvious degradation and precipitation were observed. The loss rate is less than 5% within the expiration date under appropriate storage condition.
GIVEAWAYS
INCREMENT SERVICES
- 
                     Antibody Labeling Customized Service Antibody Labeling Customized Service
- 
                     Protein A/G Purification Column Protein A/G Purification Column
- 
                     Staining Solution for Cells and Tissue Staining Solution for Cells and Tissue
- 
                     Positive Control  for Antibody Positive Control  for Antibody
- 
                     Tissue/Sections Customized Service Tissue/Sections Customized Service
- 
                     Phosphorylated Antibody Customized Service Phosphorylated Antibody Customized Service
- 
                     Western Blot (WB) Experiment Service Western Blot (WB) Experiment Service
- 
                     Immunohistochemistry (IHC) Experiment Service Immunohistochemistry (IHC) Experiment Service
- 
                     Immunocytochemistry (ICC) Experiment Service Immunocytochemistry (ICC) Experiment Service
- 
                     Flow Cytometry (FCM) Experiment Service Flow Cytometry (FCM) Experiment Service
- 
                     Immunoprecipitation (IP) Experiment Service Immunoprecipitation (IP) Experiment Service
- 
                     Immunofluorescence (IF) Experiment Service Immunofluorescence (IF) Experiment Service
- 
                     Buffer Buffer
- 
                     DAB Chromogen Kit DAB Chromogen Kit
- 
                     SABC Kit SABC Kit
- 
                     Long-arm Biotin Labeling Kit Long-arm Biotin Labeling Kit
- 
                     Real Time PCR Experimental Service Real Time PCR Experimental Service
| Magazine | Citations | 
| Toxicology Letters | Biomarkers for methotrexate-induced liver injury: urinary protein profiling of psoriasis patients. Pubmed: 23830989 | 
| British journal of haematology | Circulating N-cadherin levels are a negative prognostic indicator in patients with multiple myeloma. Pubmed: 23438504 | 
| JOURNAL OF NEUROPATHOLOGY AND EXPERIMENTAL NEUROLOGY | Elevated Cerebrospinal Fluid and Plasma N-Cadherin in Alzheimer Disease Pubmed: 32296844 | 
| Cell Biol Toxicol | ZNF471 modulates EMT and functions as methylation regulated tumor suppressor with diagnostic and prognostic significance in cervical cancer 33566221 | 
| CELL BIOLOGY AND TOXICOLOGY | Metastatic suppression by DOC2B is mediated by inhibition of epithelial-mesenchymal transition and induction of senescence 33758996 | 
| Pharmacol Res | DOC2B is a Negative Regulator of Wnt/β-catenin Signaling Pathway in Cervical Cancer Pubmed:35500882 | 
| Catalog No. | Related products for research use of Rattus norvegicus (Rat) Organism species | Applications (RESEARCH USE ONLY!) | 
| RPB481Ra02 | Recombinant N-cadherin (NCAD) | Positive Control; Immunogen; SDS-PAGE; WB. | 
| RPB481Ra03 | Recombinant N-cadherin (NCAD) | Positive Control; Immunogen; SDS-PAGE; WB. | 
| RPB481Ra01 | Recombinant N-cadherin (NCAD) | Positive Control; Immunogen; SDS-PAGE; WB. | 
| PAB481Ra02 | Polyclonal Antibody to N-cadherin (NCAD) | WB; IHC | 
| PAB481Ra03 | Polyclonal Antibody to N-cadherin (NCAD) | WB | 
| PAB481Ra01 | Polyclonal Antibody to N-cadherin (NCAD) | WB; IHC | 
| LAB481Ra71 | Biotin-Linked Polyclonal Antibody to N-cadherin (NCAD) | WB; IHC; ICC. | 
 
         
 
                             
                             
                             
                            

 
    