Polyclonal Antibody to Troponin T Type 2, Cardiac (TNNT2)
CMH2; cTnT; TnTc; Cardiomyopathy,Hypertrophic 2; Cardiac muscle troponin T
- Product No.PAD232Hu02
 - Organism SpeciesHomo sapiens (Human) Same name, Different species.
 - SourcePolyclonal antibody preparation
 - HostRabbit
 - Potencyn/a
 - Ig Type IgG
 - PurificationAntigen-specific affinity chromatography followed by Protein A affinity chromatography
 - LabelNone
 - Immunogen RPD232Hu03-Recombinant Troponin T Type 2, Cardiac (TNNT2)
 - Buffer Formulation0.01M PBS, pH7.4, containing 0.05% Proclin-300, 50% glycerol.
 - TraitsLiquid
 - Concentration0.5mg/ml
 - Organism Species MoreMus musculus (Mouse), Rattus norvegicus (Rat)
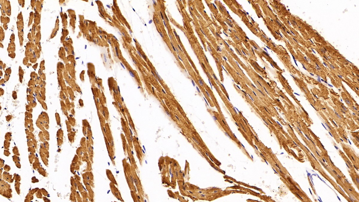
 - ApplicationsWB; IHC
If the antibody is used in flow cytometry, please check FCM antibodies. - DownloadInstruction Manual
 - UOM 20µl100µl 200µl 1ml 10ml
 - FOB
    
                                    US$ 105 
            
                
                        US$ 245 
                                        US$ 350 
                                        US$ 875 
                                        US$ 3500 
                            
For more details, please contact local distributors! 
SPECIFITY
The antibody is a rabbit polyclonal antibody raised against TNNT2. It has been selected for its ability to recognize TNNT2 in immunohistochemical staining and western blotting.
USAGE
        Western blotting: 0.5-2µg/mL;
Immunohistochemistry: 5-20µg/mL;
Immunocytochemistry: 5-20µg/mL;
Optimal working dilutions must be determined by end user.    
STORAGE
Store at 4°C for frequent use. Stored at -20°C in a manual defrost freezer for two year without detectable loss of activity. Avoid repeated freeze-thaw cycles.
STABILITY
The thermal stability is described by the loss rate. The loss rate was determined by accelerated thermal degradation test, that is, incubate the protein at 37°C for 48h, and no obvious degradation and precipitation were observed. The loss rate is less than 5% within the expiration date under appropriate storage condition.
GIVEAWAYS
INCREMENT SERVICES
- 
                    
                        Antibody Labeling Customized Service
                                     - 
                    
                        Protein A/G Purification Column
                                     - 
                    
                        Staining Solution for Cells and Tissue
                                     - 
                    
                        Positive Control  for Antibody
                                     - 
                    
                        Tissue/Sections Customized Service
                                     - 
                    
                        Phosphorylated Antibody Customized Service
                                     - 
                    
                        Western Blot (WB) Experiment Service
                                     - 
                    
                        Immunohistochemistry (IHC) Experiment Service
                                     - 
                    
                        Immunocytochemistry (ICC) Experiment Service
                                     - 
                    
                        Flow Cytometry (FCM) Experiment Service
                                     - 
                    
                        Immunoprecipitation (IP) Experiment Service
                                     - 
                    
                        Immunofluorescence (IF) Experiment Service
                                     - 
                    
                        Buffer
                                     - 
                    
                        DAB Chromogen Kit
                                     - 
                    
                        SABC Kit
                                     - 
                    
                        Long-arm Biotin Labeling Kit
                                     - 
                    
                        Real Time PCR Experimental Service
                                     
| Magazine | Citations | 
| Basic & Clinical Pharmacology & Toxicology | Cardioprotective Effect of Sulphonated Formononetin on Acute Myocardial Infarction in Rats PubMed: 21232020 | 
| Basic & Clinical Pharmacology & Toxicology | Cardioprotective Effect of SMND-309, A Novel Derivate of Salvianolic Acid B on Acute Myocardial Infarction in Rats Wiley: source | 
| European Journal of Pharmacology | Protective roles of Asperosaponin VI, a triterpene saponin isolated from Dipsacus asper Wall on acute myocardial infarction in rats ScienceDirect: S0014299909009984 | 
| Journal of translational medicine | The altered expression profile of microRNAs in cardiopulmonary bypass canine models and the effects of mir-499 on myocardial ischemic reperfusion injury PubMed: PMC3694448 | 
| Oral Diseases | Salivary high‐sensitivity cardiac troponin T levels in patients with acute myocardial infarction Pubmed: 22834943 | 
| An International Journal of Pharmaceutical Sciences | In vivo and in vitro cardioprotective effects of Panax quinquefolium 20 (S)-protopanaxadiol saponins (PQDS), isolated from Panax quinquefolium Pubmed: 23700796 | 
| Journal of Animal and Feed Sciences, | The effects of caloric restriction and age on thyroid hormone signalling in the heart of rats Pl:Source | 
| Liver Int. | Cardiomyopathy reverses with recovery of liver injury, cholestasis and cholanemia in mouse model of biliary fibrosis Pubmed:24330504 | 
| Cardiovasc Toxicol. | Cardioprotective Effect of Rhizomes of Acorus gramineus Against Isoproterenol-Induced Cardiac Damage in Pigs Pubmed:24420420 | 
| British Journal of Pharmacology | Glutathione administration reduces mitochondrial damage and shifts cell death from necrosis to apoptosis in ageing diabetic mice hearts during exercise Pubmed:25039894 | 
| Chemico-Biological Interactions | Crocin protects against doxorubicin-induced myocardial toxicity in rats through down-reCavia (Guinea pig )lation of inflammatory and apoptic pathways Pubmed:26807765 | 
| The Journal of Pharmacology and Experimental Therapeuties | The Cardenolide Glycoside Acovenoside A Affords Protective Activity in Doxorubicin-Induced Cardiotoxicity in Mice Pubmed:27247000 | 
| The Journal of Maternal-Fetal & Neonatal Medicine | Troponins, heat shock proteins and glycogen phosphorylase BB in umbilical cord blood of complicated pregnancies. pubmed:27937003 | 
| PLoS One. | Outer Balloon Ligation Increases Success Rate of Ischemia-Reperfusion Injury Model in Mice. pubmed:27907155 | 
| Biomedicine & Pharmacotherapy | Rosuvastatin improves myocardial and neurological outcomes after asphyxial cardiac arrest and cardiopulmonary resuscitation in rats pubmed:28076830 | 
| PLoS One | Imatinib attenuates cardiac fibrosis by inhibiting platelet-derived growth factor receptors activation in isoproterenol induced model pubmed:28570599 | 
| EXPERIMENTAL AND THERAPEUTIC MEDICINE | Cardioprotective effect of Notch signaling on the development of myocardial infarction complicated by diabetes mellitus pubmed:29042932 | 
| PLoS One | Increases in plasma corin levels following experimental myocardial infarction reflect the severity of ischemic injury Pubmed: 30192780 | 
| PLoS One | Tissue suction-mediated gene transfer to the beating heart in mice Pubmed: 32027678 | 
| Journal of Human Kinetics | Hormonal Response to Incremental and Continuous Exercise in Cyclists with Left Ventricle Hypertrophy Pubmed: 32148580 | 
| BIOMEDICINE & PHARMACOTHERAPY | Chlorogenic acid prevents acute myocardial infarction in rats by reducing inflammatory damage and oxidative stress Pubmed: 33022535 | 
| Toxics | Norepinephrine Leads to More Cardiopulmonary Toxicities than Epinephrine by Catecholamine Overdose in Rats Pubmed: 32947820 | 
| Elife | Iron derived from autophagy-mediated ferritin degradation induces cardiomyocyte death and heart failure in mice 33526170 | 
| Cell Metabolism | Pharmacological inhibition of arachidonate 12-lipoxygenase ameliorates myocardial ischemia-reperfusion injury in multiple species 34536344 | 
| Anal Bioanal Chem | Development of a novel ssDNA aptamer targeting cardiac troponin I and its clinical applications 34673993 | 
| Experimental and Therapeutic Medicine | Hydrogen therapy after resuscitation improves myocardial injury involving inhibition of autophagy in an asphyxial rat model of cardiac arrest Pubmed:35495584 | 
        
                            
                            
                            
                            
                            
                            
