Polyclonal Antibody to Transferrin (TF)
TRF; Siderophilin; Serotransferrin; Beta-1 metal-binding globulin
- Product No.PAC036Ra02
- Organism SpeciesRattus norvegicus (Rat) Same name, Different species.
- SourcePolyclonal antibody preparation
- HostRabbit
- Potencyn/a
- Ig Type IgG
- PurificationAntigen-specific affinity chromatography followed by Protein A affinity chromatography
- LabelNone
- Immunogen RPC036Ra02-Recombinant Transferrin (TF)
- Buffer FormulationPBS, pH7.4, containing 0.01% SKL, 1mM DTT, 5% Trehalose and Proclin300.
- TraitsLiquid
- Concentration500µg/mL
- Organism Species Moren/a
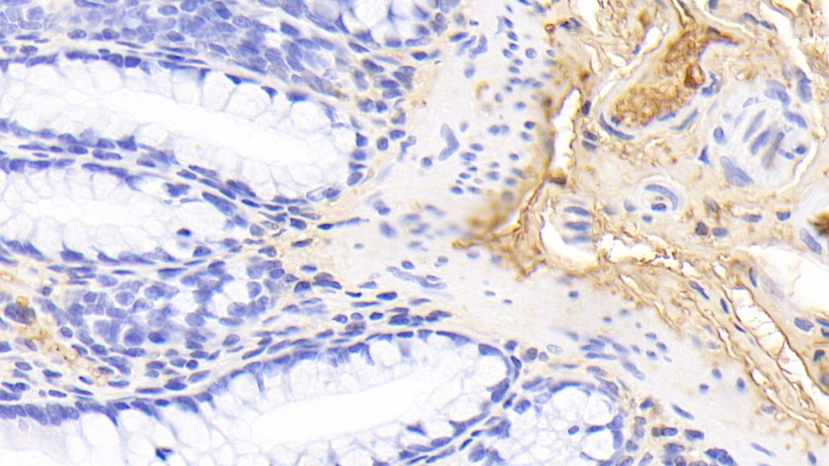
- ApplicationsWB; IHC
If the antibody is used in flow cytometry, please check FCM antibodies. - DownloadInstruction Manual
- UOM 20µl100µl 200µl 1ml 10ml
- FOB
US$ 80
US$ 186
US$ 266
US$ 665
US$ 2660
For more details, please contact local distributors!
SPECIFITY
The antibody is a rabbit polyclonal antibody raised against TF. It has been selected for its ability to recognize TF in immunohistochemical staining and western blotting.
USAGE
Western blotting: 0.2-2µg/mL;1:250-2500
Immunohistochemistry: 5-20µg/mL;1:25-100
Immunocytochemistry: 5-20µg/mL;1:25-100
Optimal working dilutions must be determined by end user.
STORAGE
Store at 4°C for frequent use. Stored at -20°C in a manual defrost freezer for two year without detectable loss of activity. Avoid repeated freeze-thaw cycles.
STABILITY
The thermal stability is described by the loss rate. The loss rate was determined by accelerated thermal degradation test, that is, incubate the protein at 37°C for 48h, and no obvious degradation and precipitation were observed. The loss rate is less than 5% within the expiration date under appropriate storage condition.
GIVEAWAYS
INCREMENT SERVICES
-
Antibody Labeling Customized Service
-
Protein A/G Purification Column
-
Staining Solution for Cells and Tissue
-
Positive Control for Antibody
-
Tissue/Sections Customized Service
-
Phosphorylated Antibody Customized Service
-
Western Blot (WB) Experiment Service
-
Immunohistochemistry (IHC) Experiment Service
-
Immunocytochemistry (ICC) Experiment Service
-
Flow Cytometry (FCM) Experiment Service
-
Immunoprecipitation (IP) Experiment Service
-
Immunofluorescence (IF) Experiment Service
-
Buffer
-
DAB Chromogen Kit
-
SABC Kit
-
Long-arm Biotin Labeling Kit
-
Real Time PCR Experimental Service
| Magazine | Citations |
| PLoS ONE | Identification of Altered Plasma Proteins by Proteomic Study in Valvular Heart Diseases and the Potential Clinical Significance PubMed: PMC3754973 |
| Physiological research | The Labile Iron Pool in Monocytes Reflects the Activity of the Atherosclerotic Process in Men with Chronic Cardiovascular Disease pubmed:27782743 |
| Journal of Proteomics | Putative salivary biomarkers useful to differentiate patients with fibromyalgia Pubmed:29654921 |
| Journal of Clinical Medicine | Urinary Proteomics for the Early Diagnosis of Diabetic Nephropathy in Taiwanese Patients Pubmed: 30486327 |
| The Nigerian postgraduate medical journal the official publication of the National Postgraduate Medical College of Nigeria | Assessment of iron deficiency anaemia and its risk factors among adults with chronic kidney disease in a tertiary hospital in Nigeria |
| Haematologica | New thiazolidinones reduce iron overload in mouse models of hereditary hemochromatosis and β-thalassemia Pubmed: 30792208 |
| Catalog No. | Related products for research use of Rattus norvegicus (Rat) Organism species | Applications (RESEARCH USE ONLY!) |
| RPC036Ra01 | Recombinant Transferrin (TF) | Positive Control; Immunogen; SDS-PAGE; WB. |
| RPC036Ra02 | Recombinant Transferrin (TF) | Positive Control; Immunogen; SDS-PAGE; WB. |
| PAC036Ra01 | Polyclonal Antibody to Transferrin (TF) | WB; IHC |
| PAC036Ra02 | Polyclonal Antibody to Transferrin (TF) | WB; IHC |
| FAC036Ra01 | Anti-Transferrin (TF) Polyclonal Antibody | FCM |
| LAC036Ra81 | FITC-Linked Polyclonal Antibody to Transferrin (TF) | WB; IHC; ICC; IF. |
| LAC036Ra71 | Biotin-Linked Polyclonal Antibody to Transferrin (TF) | WB |
| SEC036Ra | ELISA Kit for Transferrin (TF) | Enzyme-linked immunosorbent assay for Antigen Detection. |
| SCC036Ra | CLIA Kit for Transferrin (TF) | Chemiluminescent immunoassay for Antigen Detection. |
| LMC036Ra | Multiplex Assay Kit for Transferrin (TF) ,etc. by FLIA (Flow Luminescence Immunoassay) | FLIA Kit for Antigen Detection. |
| KSC036Ra01 | ELISA Kit DIY Materials for Transferrin (TF) | Main materials for "Do It (ELISA Kit) Yourself". |

