Polyclonal Antibody to Glial Fibrillary Acidic Protein (GFAP)
Intermediate Filament Protein
- Product No.PAA068Mu01
- Organism SpeciesMus musculus (Mouse) Same name, Different species.
- SourcePolyclonal antibody preparation
- HostRabbit
- Potencyn/a
- Ig Type IgG
- PurificationAntigen-specific affinity chromatography followed by Protein A affinity chromatography
- LabelNone
- Immunogen RPA068Mu01-Recombinant Glial Fibrillary Acidic Protein (GFAP)
- Buffer Formulation0.01M PBS, pH7.4, containing 0.05% Proclin-300, 50% glycerol.
- TraitsLiquid
- Concentration0.5mg/mL
- Organism Species MoreHomo sapiens (Human), Rattus norvegicus (Rat)
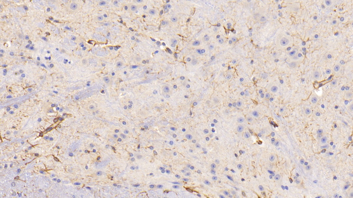
- ApplicationsWB; IHC
If the antibody is used in flow cytometry, please check FCM antibodies. - DownloadInstruction Manual
- UOM 20µl100µl 200µl 1ml 10ml
- FOB
US$ 97
US$ 227
US$ 324
US$ 810
US$ 3240
For more details, please contact local distributors!
SPECIFITY
The antibody is a rabbit polyclonal antibody raised against GFAP. It has been selected for its ability to recognize GFAP in immunohistochemical staining and western blotting.
USAGE
Western blotting: 0.01-2µg/mL;
Immunohistochemistry: 5-20µg/mL;
Optimal working dilutions must be determined by end user.
STORAGE
Store at 4°C for frequent use. Stored at -20°C in a manual defrost freezer for two year without detectable loss of activity. Avoid repeated freeze-thaw cycles.
STABILITY
The thermal stability is described by the loss rate. The loss rate was determined by accelerated thermal degradation test, that is, incubate the protein at 37°C for 48h, and no obvious degradation and precipitation were observed. The loss rate is less than 5% within the expiration date under appropriate storage condition.
GIVEAWAYS
INCREMENT SERVICES
-
Antibody Labeling Customized Service
-
Protein A/G Purification Column
-
Staining Solution for Cells and Tissue
-
Positive Control for Antibody
-
Tissue/Sections Customized Service
-
Phosphorylated Antibody Customized Service
-
Western Blot (WB) Experiment Service
-
Immunohistochemistry (IHC) Experiment Service
-
Immunocytochemistry (ICC) Experiment Service
-
Flow Cytometry (FCM) Experiment Service
-
Immunoprecipitation (IP) Experiment Service
-
Immunofluorescence (IF) Experiment Service
-
Buffer
-
DAB Chromogen Kit
-
SABC Kit
-
Long-arm Biotin Labeling Kit
-
Real Time PCR Experimental Service
| Magazine | Citations |
| Journal of Occupational Health | Effects of Exposure to 1-Bromopropane on Astrocytes and Oligodendrocytes in Rat Brain Pubmed: 23183024 |
| Morfovirtual 2014 | EFECTO PROTECTOR DEL TRATAMIENTO CON NEUROEPO SOBRE LA GLIA DE LA CORTEZA CEREBRAL EN RATONES TRANSGéNICOS CON LA ENFERMEDAD DE ALZHEIMER. Sld:Source |
| Annals of Anatomy | Effect of memantine, a NMDA receptor blocker, on ethambutol-induced retinal injury PubMed: 26704355 |
| Mediators of Inflammation | IL-4 Inhibits IL-1β-Induced Depressive-Like Behavior and Central Neurotransmitter Alterations PubMed: 26417153 |
| Neurochem Res | Protective Effect of Oral Hesperetin Against Unilateral Striatal 6-Hydroxydopamine Damage in the Rat PubMed: 26700436 |
| Cell Mol Neurobiol | Hypericum Perforatum Hydroalcoholic Extract Mitigates Motor Dysfunction and is Neuroprotective in Intrastriatal 6-Hydroxydopamine Rat Model of Parkinson’s Disease PubMed: 26119304 |
| Sleep and Biological Rhythms | Relationship of orexin (hypocretin) system and astrocyte activation in Parkinson's disease with hypersomnolence Doi: 10.1111 |
| Cellular and Molecular Neurobiology | Hypericum Perforatum Hydroalcoholic Extract Mitigates Motor Dysfunction and is Neuroprotective in Intrastriatal 6-Hydroxydopamine Rat Model of Parkinson’s Disease Pubmed:26119304 |
| Ann Anat | Effect of memantine: A NMDA receptor blocker, on ethambutol-induced retinal injury Pubmed:26704355 |
| United States Patent Application | ESTROGENIC COMPONENTS FOR USE IN THE TREATMENT OF NEUROLOGICAL DISORDERS y2016:0101116.html |
| Clinical Research | Human plasma glial fibrillary acidic protein and heat shock protein 27 concentrations in acute moderate-intensity aerobic exercise with different duration a825e1e27b0221df9a627769c0f614432e92.pdf |
| Medical Journal of Indonesia | Comparison of GFAP and HSP27 concentrations in acute moderate-intensity aerobic exercise of different duration 2031884 |
| Peptides. | Carnosine ameliorates cognitive deficits in streptozotocin-induced diabetic rats: Possible involved mechanisms. pubmed:27777064 |
| european journal of pharmacology | Garlic active constituent s-allyl cysteine protects against lipopolysaccharide-induced cognitive deficits in the rat: Possible involved mechanisms. pubmed:27915041 |
| european journal of pharmacology | Troxerutin exerts neuroprotection in 6-hydroxydopamine lesion rat model of Parkinson's disease: Possible involvement of PI3K/ERβ signaling. pubmed:28284752 |
| biomedicine & pharmacotherapy | Acetyl-l-carnitine protects dopaminergic nigrostriatal pathway in 6-hydroxydopamine-induced model of Parkinson's disease in the rat. pubmed:28199883 |
| J Endocrinol. | Estrogen receptors and estetrol-dependent neuroprotective actions: a pilot study. pubmed:27799463 |
| IOS Press Content Library | An Intranasal Formulation of Erythropoietin (Neuro-EPO) Prevents Memory Deficits and Amyloid Toxicity in the APPSwe Transgenic Mouse Model of Alzheimer's … articles:journal-of-alzheimers-disease |
| Tierärztliche Hochschule Hannover | Evaluierung von Biomarkern im Liquor cerebrospinalis bei paraplegischen Hunden mit Rückenmarksverletzung : |
| Nigerian Journal of Clinical Practice | Utilization of Glial Fibrillary Acidic Protein and Galectin-3 in the Diagnosis of Cerebral Infarction Patients with Normal Cranial Tomography pubmed:28406123 |
| Cytokine | Soy isoflavone genistein attenuates lipopolysaccharide-induced cognitive impairments in the rat via exerting anti-oxidative and anti-inflammatory effects pubmed:29102164 |
| Biomedicine & pharmacotherapy | Berberine ameliorates intrahippocampal kainate-induced status epilepticus and consequent epileptogenic process in the rat: Underlying mechanisms pubmed:28061403 |
| Experimental gerontology | The anti-aging protein klotho alleviates injury of nigrostriatal dopaminergic pathway in 6-hydroxydopamine rat model of Parkinson's disease: Involvement of PKA/CaMKII/CREB signaling. pubmed:29107062 |
| Pesticide Biochemistry and Physiology | Acrolein-mediated neurotoxicity in growing Wistar male rats Pubmed:30033014 |
| Journal of Perinatal Medicine | Mechanisms of death in structurally normal stillbirths Pubmed: 30231013 |
| Metabolic Brain Disease | Berberine ameliorates lipopolysaccharide-induced learning and memory deficit in the rat: insights into underlying molecular mechanisms Pubmed: 30456649 |
| Metabolic Brain Disease | Trigonelline protects hippocampus against intracerebral Aβ (1–40) as a model of Alzheimer's disease in the rat: insights into underlying mechanisms Pubmed: 30421246 |
| 博士论文 | INSTITUTO DE CIENCIAS BÁSICAS Y PRECLÍNICAS “VICTORIA DE GIRÓN” DEPARTAMENTO DE HISTOLOGÍA |
| Medicina | The Administration of the New Pyrimidine Derivative—4-{2-[2-(3, 4-Dimethoxyphenyl)-Vinyl]-6-Ethyl-4-Oxo-5-Phenyl-4H-Pyrimidine-1-Il} Benzsulfamide Restores the … |
| Open Access Macedonian Journal of Medical Sciences | Inhibition of Receptor for Advanced Glycation End Products as New Promising Strategy Treatment in Diabetic Retinopathy Pubmed: 32165929 |
| NEUROPSYCHOBIOLOGY | Diosgenin Attenuates Cognitive Impairment in Streptozotocin-Induced Diabetic Rats: Underlying Mechanisms Pubmed: 32526752 |
| JAMA Surgery | Intraoperative dexmedetomidine for prevention of postoperative delirium in elderly patients with mild cognitive impairment Pubmed: 28593326 |
| Acta Histochemica | Quercetin mitigates monosodium glutamate-induced excitotoxicity of the spinal cord motoneurons in aged rats via p38 MAPK inhibition Pubmed: 32622428 |
| stanbul Med J | The Predictive Role of Neurobiochemical Markers in Multiple Sclerosis. |
| Basic and Clinical Neuroscience | Paeonol Protects Against Intrastriatal 6-Hydroxydopamine Rat Model of Parkinson's Disease 33995926 |
| pharmacology online | PHARMACOLOGICAL SCREENING OF A POTENTIALLY EFFECTIVE COMPOUND FOR THE TREATMENT OF CHRONIC TRAUMATIC ENCEPHALOPATHY?¡ |
| Neuropeptides | The bee venom active compound melittin protects against bicuculline-induced seizures and hippocampal astrocyte activation in rats 34808488 |
| Neural Plast | P2Y2 Receptor Mediated Neuronal Regeneration and Angiogenesis to Affect Functional Recovery in Rats with Spinal Cord Injury Pubmed:35154311 |

